Hanya Dengan Herbal Ia Hidup Lebih Dari Lima Tahun!

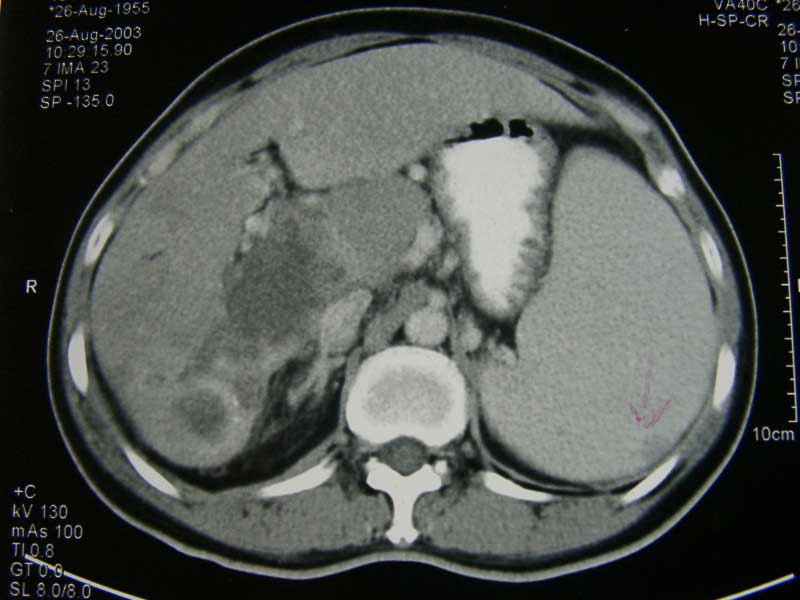
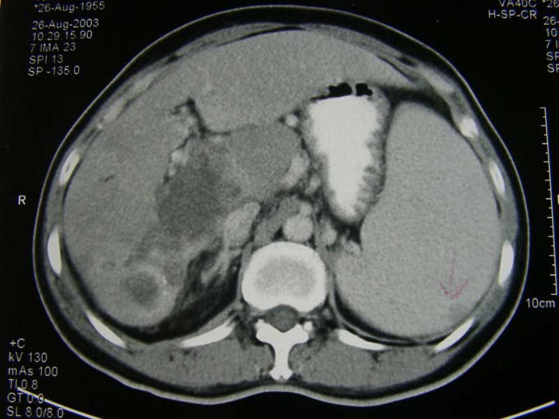
Seam (B984), seoarang wanita berusia 49 tahun, didiagnosa hepatoseluler karsinoma pada Agustus 2003. Hasil CT-abdomen pada 26 Agustus 2003 mengindikasikan:

1.   Massa pada segmen 6 dan 7 liver sebesar 8,7 x 6,6 x 10 cm.

2.   Ruptur pada lobus caudatus.

3.   Nodul-nodul peritoneal.

4.   Trombosis vena porta.

5.   Splenomegali (pembesaran limpa).

6.   Dan kemungkinan metastase ke limpa.

Menjadi seorang miskin (penjahit wanita pada sebuah pabrik), Seam tidak dapat membiayai terapi medis pada rumah sakit swasta. Dokter pada rumah sakit pemerintah memberitahu ia bahwa tidak ada yang dapat dilakukan untuknya. Seam datang pada kami pada awal Januari 2004 dan memulai terapi herbal kami. Setelah mengkonsumsi herbal, ia merasa lebih baik. Ia dapat makan dan tidur dengan baik dan lebih berenergi. Ia tidak merasa pusing lagi. Ia juga bertambah berat badan dan ekspresi wajahnya terlihat baik dan sehat.

Pada saat ini ditulis, Maret 2009, lebih dari 5 tahun sejak ia pertama kali datang kepada kami, Seam sehat-sehat saja – menjalani hidup normal yang bebas dari rasa sakit.

 

Ia Menolak Operasi dan Kemoembolisasi yang Gagal

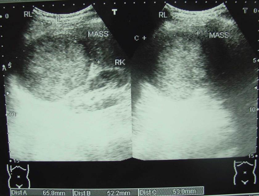
Goh adalah seorang pria berusia 75 tahun dari Indonesia. Ia menjalani pemeriksaan medis pada tahun 2008 dan dokter menemukan SGOT (AST) meninggi, mengindikasikan ada sesuatu yang tidak beres di livernya. Goh melakukan ultrasonografi dan hasilnya adalah terdapat tumor pada lobus kiri liver nya sebesar 6,3 x 8,9 cm.

Goh kemudian ke singapura dan melakukan CT-Scan, dan dipastikan terdapat tumor pada liver nya. Dokter menyarankan Goh melakukan operasi reseksi tumor. Prosedur ini menghabiskan biaya S$20.000. Goh menolak operasi.

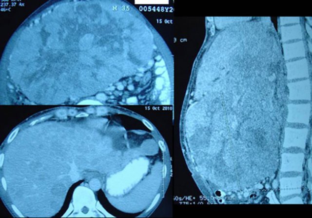
Setelah kembali ke Indonesia, Goh diberitahu tentang sebuah rumah sakit di China. Goh pergi ke China. Sekali lagi dokter menyarankan untuk operasi. Dan sekali lagi dokter menyarankan untuk dioperasi. Goh menolak kembali. Bagaimanapun juga, ia setuju untuk melakukan kemoembolisasi. Ini menghabiskan biaya sekitar 10.000 RM. Setelah terapi kemo, Goh kembali ke indonesia. Sekitar satu bulan kemudian, ia kembali ke China untuk terapi kedua. Tetapi, pada saat pemeriksaan, dokter memberitahu Goh kalau kemoembolisasi yang dilakukan sebelumnya tidak efektif. Terapi lebih lanjut dibatalkan. Goh kembali ke Indonesia dan mulai mengkonsumsi suplemen. Ia juga memonitor AST nya secara reguler selain melakukan USG. Nilai AST dan ukuran tumor terus meningkat. USG yang dilakukan pada 12 Maret 2009 (dibawah) mengindikasikan tumor berukuran 9,7 cm x 8,0 cm.

Pada 22 Maret 2009, Goh dan putranya mencari kami untuk bantuan. Kami mengirimkan Goh Full Blood Test dan meresepkan Capsule A, dan herbal liver milik kami: Liver-P, Liver 2, dan LL Tea.

  5 Dec. 08 13 Jan. 09 23 March 09
ESR n/a n/a 4
Haemoglobin n/a n/a 14.2
Platelet n/a n/a 223
Total biliburin n/a n/a 42
Alkaline phosphatase n/a 68 68
SGOT /AST 262  H 699  H 451  H
SGPT / ALT 11 23 21
GGT n/a n/a 103  H
Alpha-fetoprotein n/a 2.9 4.1
CA 125 n/a n/a 6.6

Komentar:

Jika dilihat biasa saja, Goh tidak menunjukan gejala apapun. Ia terlihat sehat. Tentu, tapi ia memiliki tumor pada livernya. Dokter berkata itu berbahaya dan harus disingkirkan. Tetapi, coba dipikirkan. Ada pilihan pada kasus ini. Goh dapat belajar bagaimana untuk hidup dengan tumor, dapat makan, tidur, dan bergerak bebas tanpa masalah. Atau ia melakukan operasi. Tetapi apa efek dari operasi yang dilakukan padanya setelah itu adalah yang menjadi pertanyaan. Kita perlu untuk melihat dan mempelajari kasus di bawah ini:

1.   Doris, berusia 46 tahun dan melakukan operasi untuk memindahkan tumor di livernya di singapura. Ia melakukan kemoembolisasi. Dalam waktu 8 bulan ia meninggal.

2.   Sam, berusia 51 tahun, terdapat tumor berukuran 3,5 x 3,5 cm di livernya dan dioperasi di Penang. Ia melakukan kemoembolisasi dua kali. Terapi ini tidak berhasil. Hampir 5 bulan kemudian, nilai alpha-fetoprotein –nya mencapai 239.595,00. Dokter bedah tidak mau menemuinya lagi.

3.   Suria, berusia 37 tahun dan melakukan operasi di Singapura untuk mengeluarkan tumor pada livernya. Dokternya di Indonesia memberitahu ia untuk melakukan operasi dan ia mungkin dapat hidup 10 tahun lebih lama. Dokter bedah di Singapura berkata ia memiliki 98% kemungkinan. Tiga bulan kemudian, Suria mengalami kekambuhan dan meninggal ketika akan melakukan kemoterapi ke onkologis.

4.   Pang, berusia 61 tahun. Ia memiliki tumor berukuran 5,2 x 5,3 x 6,5 cm pada lobus kanan livernya dan kanker juga bermetastase ke paru-paru nya.

Berdasarkan kisah di atas, Goh adalah yang tertua diantara mereka semua. Ia berusia 75 tahun dan tumor di livernya berukuran 9,7 cm x 8,0 cm, yang terbesar diantara yang lain. Apa yang anda pikirkan, apa yang akan terjadi pada Goh jika ia melakukan saran dari dokter bedah di Singapura danChina untuk melakukan operasi?

Dalam kata pembukaan buku: Cared cured naturally yang ditulis Betty Khoo, Chris menulis ini:Setelah satu dekade menolong pasien kanker, saya sampai pada kesimpulan kecil ini: Semakin terpelajar anda atau semakin banyak uang yang anda miliki, semakin tinggi kemungkinan anda akan mati karena kanker! Kematian ini mungkin akibat dari terapi daripada penyakit itu sendiri. Saya sering melihat bahwa dengan tidak melakukan apapun mungkin akan lebih baik daripada melakukan sesuatu!

Ada juga yang berkata: Seorang manusia yang terpelajar tidak harus bijaksana, seorang bijaksana tidak harus terpelajar.

 

 

Operasi dan PEI Gagal, Pang Diminta untuk Mengkonsumsi Obat Oral yang Mahal

Pang (H5) adalah seorang pria berusia 61 tahun. Beberapa waktu pada bulan Februari 2008, ia mengalami rasa nyeri pada abdomen. Hasil ultrasonography menunjukan ada massa bulat berbatas tegal berukuran 5.2 x 5.3 x 6.5 cm pada lobus kanan heparnya (Segmen 6).

Pang dirujuk ke spesialis bedah di rumah sakit swasta. Hasil CT-scan menunjukan hepatoma lobus kanan dengan ukuran 8 x 7 x 8 cm pada segmen 6 dan 7. Pang menjalani operasi reseksi tumor pada 25 Maret 2008. Operasi ini menghabiskan biaya 20.000 RM.

Laporan Histologi

Berat liver 305 gm, dengan ukuran 135 x 90 x 75 mm. Permukaan luar ireguler dan nodular. Nodul pada liver: hepatocellular carcinoma (karsinoma hepatoseluler) yang berdifernsiasi baik, tipe trabekuler, menginfiltrasi kapsula hepar, stadium III (T3NxMx).

Pang diberitahu bahwa operasi ini akan mengangkat tumornya tetapi tidak akan menyembuhkannya. Ia memerlukan kemoterapi. Sayangnya, dokternya tidak dapat memberinya kemoterapi karena ia tidak dapat menemukan “pembuluh darah”.

Setelah 5 bulan kemudian, pada September 2008, Pang mengalami kekambuhan. Timbul dua nodul baru pada liver yang masih ada. Tidak ada banyak lagi yang dapat dokter bedah lakukan. Ia diminta untuk melakukan percobaan klinis yang dilakukan di luar rumah sakit. Terapi ini dikenal dengan PEI (percutaneous ethanol injection) dan diberikan bebas dari biaya.

Pang menjalani terapi ini dari September 2008 sampai Februari 2009 dan melakukan total 5 sesi. Tapi hasilnya mengecewakan. Hasil CT-Scan menunjukkan metastasis ke paru-paru. Jumlahnya ada 5 nodul pada paru-paru kiri dan kanan. Ukurannya berdiameter sekitar 6 sampai 12 mm masing-masing. Hasil CT-Scan juga menunjukkan 2 partially nekrotik tumor pada Segmen 7/8 dari livernya. Ukurannya berdiameter kira-kira 4,5 x 6 cm dan 3,5 x 3,5 cm masing-masing.

Tidak ada banyak lagi yang dokter bedah dapat lakukan. Pang kemudian pindah mencari onkologis. Onkologi tersebut menawarkan pada Pang obat kemo oral yang akan menghabiskan dananya sebesar 20.000 RM per bulan (pada cerita lain Sam mendapat Nexavar yang juga menghabiskan 20.000 RM per bulan). Dibalik biaya yang tinggi itu, Pang diberitahu oleh onkologisnya bahwa obat ini hanya 20 sampai 30 % efektif (apapn itu maksudnya!). Pang menolak. Inilah yang dikatakannya kepada kami:

Pang: Dokter itu berkata ia tidak dapat berbuat apa-apa lagi untuk paru-paru saya. Saya pergi ke  GH untuk menanyakan pendapat kedua. Satu dokter muda di bagian paru-paru mempelajari kasus saya dan berkata: Maaf sekali paman, anda hanya mempunyai enam bulan sampai satu tahun dari sekarang. Setelah itu ia mengirim saya ke bagian onkologi. Dokter onkologi berkata, Lakukan Kemo.

Chris: tentu saja anda dapat melakukan kemo. Tetapi apakah anda akan hidup atau mati, itu adalah persoalan lain.

P: Ada dua jalan. Satu dengan kemo. Jalan lain dengan obat-obatan. Jika dengan obat-obatan, itu sangat mahal.

C: Berapakah biayanya?

P: Di Lam Wah Ee menghabiskan biaya 20.000 RM bukan dua ribu, itu adalah dua puluh ribu.

C: RM 20.000 per bulan?

P: Ya, dan keefektifannya hanya 20 sampai 30 % dan itu menghabiskan biaya dua puluh ribu. Jika saya menjual rumah saya, paling tidak saya dapat mengkonsumsi obat itu selama satu tahun – tanpa harapan dan tanpa garansi.

 

Kanker Hati: Dia Meninggal Setelah Bedah-Buka-Tutup-RM10.000

Goh (bukan nama sebenarnya, H438) adalah seorang pria 36 tahun. Pada bulan Juni 2010 ia mengalami diare. Tekanan darahnya rendah. Ia dibawa ke rumah sakit swasta di kota kelahirannya.  USG dilakukan dan dia diberitahu bahwa hatinya tidak baik. Setelah tiga hari dia keluar dari rumah sakit. Kesehatan kembali normal. Dua minggu kemudian perutnya menjadi keras. Dia kembali ke rumah sakit lagi. CT scan dilakukan yang menunjukkan hepatoma – atau kanker hati.

Goh datang ke rumah sakit swasta di Penang. Ia diminta untuk menjalani operasi. Setengah dari hatinya perlu di ambil. Operasi dilakukan namun kemudian dibatalkan. Ini operasi buka-tutup biaya dia RM10.000.

Tidak tahu apa lagi yang harus dilakukan, Goh dan keluarganya datang untuk mencari saran kami pada tanggal 24 Oktober 2010. Masalah yang Goh hadapi adalah nyeri di daerah bahu. Sakit ini hanya muncul setelah operasi. Sebelum itu tidak ada rasa sakit. Dia tidak bisa tidur. Matanya merah.Kedua kaki bengkak.Napasnya sulit.

Laporan CT scan tanggal 15 Oktober 2010 menyatakan: “Kedua lobus dari hati yang membesar dan dipenuhi dengan beberapa lesi. Lesi terbesar di segmen 4b ukuran 15 x 20 x 15.6 cm.  Kesimpulan: multicentric hepatoma dengan asites minimal dan melebar kiri saluran intrahepatik.”

Hasil tes darah menunjuk enzim hati yang tinggi. SGOT = 203, SGPT = 56, Alkaline fosfatase = 736 dan Alpha-fetoprotein = 213,73.

Sayangnya, Goh meninggal tidak lama setelah berkonsultasi dengan kita.

Komentar: Tidak perlu bagi saya untuk memberikan komentar atas kasus ini. Fakta berbicara untuk dirinya sendiri. Goh meninggal kurang lebih dua bulan setelah operasi buka-tutup itu. Bagaimana menurut Anda – apakah ia harus mati lebih awal jika tidak di operasi?

Ini adalah salah satu buku yang saya percaya setiap orang harus baca – Confession of a Medical Heretic (Pengakuan dari Seorang Heretic Medis) oleh Robert Mendelsohn. Penulis bukan orang biasa. Di Amerika Syarikat, ia menulis sebuah kolom sindikasi berjudul “Dokter Rakyat”. Dia adalah seorang profesor di University of Illinois Medical School dan direktur Chicago Michael Reese Hospital.Dia juga Ketua Komite Lisensi Medis untuk negeri Illinois. Dalam Bab 3 dari bukunya, Dr Medelsohn mengakatakan:

  • Saya percaya bahwa pada generasi saya ini, dokter akan diingat untuk … jutaan upacara mutilasi yang dilakukan setiap tahun di kamar operasi.
  • Perkiraan konservatif … mengatakan bahwa sekitar 2,4 juta operasi yang dilakukan setiap tahun tidak diperlukan.
  • Perasaan saya adalah bahwa di sekitar sembilan puluh persen dari operasi adalah buang-buang waktu, uang, tenaga, dan kehidupan.
  • Mungkin pada masa hadapan, operasi kanker akan dianggap dengan jenis yang sama horor yang sekarang kita menganggap penggunaan lintah dalam waktu George Washington.
  • Keserakahan memainkan peran dalam menyebabkan operasi yang tidak perlu … tidak ada keraguan bahwa jika Anda menghapus semua operasi yang tidak perlu, banyak ahli bedah tidak kan ada bisnis lagi.
  • Ketidaktahuan memainkan bagian dalam banyak operasi yang tidak perlu. Keserakahan dan kebodohan bukan alasan yang paling penting mengapa ada begitu banyak operasi yang tidak perlu. Pada dasarnya masalah keyakinan: dokter percaya pada bedah. Ada daya tarik kepada “pisau” … bahwa (ahli bedah) dapat mengatasi apa-apa saja karena ia dapat beroperasi Anda … “Anda tidak perlu menjaga diri sendiri, doctor-doktor bisa memperbaiki Anda jika Anda sakit.”
  • Untuk melindungi diri … langkah pertama Anda harus buat adalah untuk mendidik diri sendiri. Dapatkan pendapat kedua. Jika Anda memutuskan operasi bukan satu jawabannya untuk menyelesaikan masalah Anda, maka haruslah Anda melakukan apa yang harus dilakukan untuk melepaskan diri dari situasi itu. Dalam setiap situasi kecuali pada situasi kecemasan, Anda ada banyak waktu untuk memutuskan apakah atau tidak Anda memerlukan pembedahan. Ataupun memilih siapakah yang akan membedah anda.

Sepuluh Tahun Terapi di CA Care

Lian berumur 57 tahun ketika ia datang dan menemui kami. Beberapa kali pada tahn 1996, ia melakukan histerektomi. Ia melakukan terapi sulih hormon (HRT: Homone Replacement Therapy). Tiga tahun kemudian, ia menderita kanker payudara sebelah kiri. Ia melakukan operasi mastektomi pada Juli 1999. Itu adalah karsinoma medullaris tanpa metastase. Ia diminta untuk menjalani kemoterapi namun menolak. Ia menjalani terapi obat Tamoxifen.

Lian datang menemui kami pada November 1999 dan mulai melakukan terapi herbal. Ia lalu memutuskan untuk berhenti menggunakan Tamoxifen. Sekarang sudah 10 tahun sejak ia didiagnosa menderita kanker payudara. Ia baik-baik saja dan tidak ada masalah apapun. Ia sangat sehat!

Laporan Pathologi: 27 July 1999

Left breast lump – 3 x 2 cm. Case of medullary carcinoma.

Hasil Ujian Results

————–Dec. 99   Aug. 03  July 06     Nov. 08

ESR                   12            16             19            25 H

Haemoglobin    13.3        14.5          14.0          13.8

Platelet              302         365           330           302

WBC                   4.8           5.3           5.5            5.9

CEA                    1.0          0.9           1.0            1.5

CA 15.3              n/a         11.1          10.4          14.5

Komentar: Lian adalah seorang wanita yang manis dan menyenangkan. Ia berbicara sangat lembut dan ia benar-benar tidak tahu apa yang sedang ia hadapi, mungkina karena pendidikannya yang kurang. Ia adalah seseorang yang mengikuti dan takut pada perintah. Namun demikian, ia mengikuti perintah dengan baik. Ia menuruti semua resep herbal yang diberikan dan juga menjaga pola makannya.

Lian menolak terapi medis lebih lanjut setelah ia datang menemui kami. Ia tidak mau melakukan kemoterapi atau minum Tamoxifen lagi. Kami masih dapat mengingat wajahnya yang sangat rapuh waktu ia datang menemui kami 10 tahun yang lalu. Kami tidak dapat membayangkan bagaimana ia dapat selamat dari kemoterapi jika ia dipaksa melakukannya. Efek samping dari kemoterapi tidak seperti digigit semut seperti yang orang-orang katakan. Bakan tanpa kemoterapi dan Tamoxifen, Lian tidak mengalami metastase. Lebih dari 10 tahun ia melakukan terapi herbal dan dia tidak pernah merasa kurang enak badan atau sakit sama sekali.

Meskipun Lian bukanlah seorang wanita terpelajar, ia mempunyai keberanian dan komitmen mau mengambil jalan lain untuk kesembuhannya. Ia sangat dihargai untuk petualangannya itu. Lian tidak sendirian melalui petulangan iti. Masih banyak yang lainnya yang seperti Lian. Tapi kami tidak menyarankan anda untk melakukan petualangan serupa jika anda tidak percaya dengan yang kami lakukan atau mempunyai komitmen untuk menolong diri sendiri. Sukses tidak datang dengan mudah, dan tidak ada senjata ampuh untuk kanker.

Pada kasus Lian, kami dapat melihat keburukan dalam HRT (terapi sulih hormon). Ia berakhir dengan hasil kanker payudara. Ini bukan kasus sendiri unruk menghubungkan kanker dengan HRT. Kami hanya kebetulan menemui banyak kasus seperti ini.

Penyembuhan Kanker Payudara Oleh Terapi CA Care

Siew berumur 55 tahun saat ia dideteksi terdapat benjolan kecil di payudara kanannya. Sebelumnya ia sedang dalam terapi sulih hormon selama dua tahun. Siew berkonsultasi pada dua dokter

tentang benjolannya. Salah satu dokter mengatakan: Karena tidak ada nyeri, tidak ada yang perlu dikhawatirkan. Datang dan temui saya bila anda merasa nyeri. Dokter lain, seorang ahli bedah melakukan biopsi yang merusak – mengambil hanya sebagian dari tumor di payudaranya. Merasa kecewa, Siew meninggalkan masalah tumornya sampai suatu ketika tumor di dadanya semakin membesar dan mengeras.

Setelah enam bulan, dokter ahli bedah yang sama memanggilnya dan memperingatkan Siew bahwa kanker yang ia derita dapat membuatnya meninggal. Ini membangunkan Siew betapa serius permasalahannya. Dia pergi mencari bantuan dari dokter ahli bedah payudara lain dan melakukan operasi mastektomi. Setelah operasinya ia diminta untuk melakukan kemoterapi. Siew merasa ragu dan bertanya apakah ia dapat mempunyai pilihan lain selain kemoterapi. Dokter yang merasa kasihan memperbolehkan terapi alternatif. Siew kemudian dirujuk ke kami dan memulai terapi herbal sejak September 2002. Ia menggunakan terapi herbal sejak saat itu. Sudah lebih dari enam tahun sampai sekarang dan Siew masih baik-baik saja.

====================================================

Laporan Medis

29 November 2001: Biopsi payudara kanan : Sel tumor terlihat dekat dengan garis batas potongan. Diagnosa : Infiltrating ductal carcinoma (karsinoma infiltrasi duktus), stadium II.

19 Juli 2002: Payudara kanan : 2 lesi solid dengan dengan batas-batas wilayah arah jam 9 dekat dengan daerah puting susu. Masing-masing berukuran 12 x 13 mm dan 7 x 6 mm.

7 Agustus 2002: Tumor payudara kanan berdiameter 2,5 cm, infiltrating ductal carcinoma, stadium II.  Daerah bedah jelas. 3 dari 17 kelenjar getah bening axilla terkena metastase dari karsinomanya. Reseptor estrogen : Postitif kuat, Reseptor Progesterone : Positif kuat. P53 : Negatif.

Pada 23 December 2007 kami mewawancara Siew.

===================================================

Pada saat ini, apa yang anda rasakan tentang kesehatan anda saat ini? Apakah anda merasa sehat? Ya. Saya dapat melakukan apapun yang saya inginkan. Saya dapat membersihkan satu rumah ini sendirian. Saya tidak ada masalah dengan itu.

Dalam lima tahun terakhir sejak anda didiagnosa, apakah ada pernah merasa sedih jika teringat dengan kanker anda? Pada awalnya, Ya – tapi sekarang sudah tidak lagi.

Apakah pernah terpikir oleh anda kanker itu akan kambuh kembali ? Tidak, tidak pernah terpikirkan sama sekali. Tentu saja saya tahu saya mengidap penyakit serius, tetapi saya tidak terpikir akan meninggal oleh karena hal itu. Tapi setiap kali saya mendengar orang-orang mengalami kekambuhan, saya berpikir ada kemungkinan itu akan terjadi juga pada saya. Tetapi saya tidak larut dalam pikiran itu. Saya hanya berpikir ada kemungkinan kanker saya dapat kambuh kembali.

Melihat kembali apa yang telah anda lakukan … apakah anda akan melakukan terapi sulih hormon ? Tidak. Saya tidak akan mengkonsumsi pil hormon.

Jika seorang wanita memiliki benjolan pada payudaranya seperti anda, apa yang anda sarankan untuk mereka lakukan? Saya akan menyarankan ia pergi ke dokter. Tetapi jika ia tidak senang dengan keputusan dokternya, ia harus mencari pendapat kedua. Jangan lakukan seperti yang saya lakukan – hanya mengikuti apapun yang dokter katakan tanpa mencari info lebih jauh.

Dari sejak anda menemukan benjolan, apakah anda melakukan sesuatu secara berbeda dengan yang biasa anda lakukan? Ya. Saya akan mencari dokter yang lebih baik yang dapat memindahkan benjolan itu seluruhnya (lumpectomy : operasi pengangkatan benjolan). Dengan begitu mungkin saya tidak harus kehilangan payudara saya sama sekali.

Bagaimana jika setelah memindahkan benjolan tersebut, dokter meminta anda untuk melakukan kemoterapi dan radioterapi ? Apakah anda akan mengikuti saran ini ? Kecuali saya tahu seseorang yang dapat mengurus saya, seperti anda dan CA Care dan jika saya tidak memiliki pilihan lain, maka saya akan menuruti apa yang dokter sarankan. Jika saya harus memilih antara terapi herbal dan terapi medis, saya pasti akan memilih terapi herbal. Saya selalu menginiginkan terapi herbal. Saya tidak ingin melakukan kemoterapi. Jika saya tidak tahu tentang CA Care, maka saya tidak tahu apa yang harus dilakukan. Bahkan setelah lima tahun melakukan terapi herbal, saya masih mau meneruskan terapi herbal itu. Untuk soal rasa, saya masih merasakan rasa yang kuat (pahit) meskipun telah menggunakannya sekian lama. Saya belum terbiasa dengan itu (sambil tertawa).

Selain menggunakan terapi herbal, anda harus mengubah gaya hidup dan cara makan anda. Apakah anda merasa kesal dengan kami mengenai hal itu? Tidak, saya menerima apapun yang harus dilakukan untuk kesehatan saya. Tentu saja, pada awalnya saya mengeluh mengenai kesulitan yang saya alami – harus mengubah cara memasak, dan apa yang saya makan. Tetapi saya tidak menyalahkan anda. Itu adalah bagian dari jalan penyembuhan.Juga, saya tidak menyadari bahwa ada garam laut yang dapat digunakan untuk menggantikan garam meja biasa. Jadi, semua makanan saya tanpa garam. Sangat sulit untuk makan karena semua makanan itu terasa tawar. Setelah saya lebih sering mengunjungi CA Care lebih sering, saya belajar tentang garam laut, liquid amino, dan cara memasak yang sehat. Segalanya menjadi lebih mudah dan saya merasa lebih senang. Sekarang, saya tidak mengalami masalah dalam mempersiapkan makanan saya.

Berapa lama waktu yang dibutuhkan untuk terbiasa dengan semua perubahan itu ? Sekitar satu setengah tahun.

Anda harus melakukan terapi herbal, olah raga dan belajar untuk rileks. Mana yang dirasakan paling sulit untuk dilakukan ? Yang paling sulit adalah terapi herbal – Breast M Tea. Setiap kali saya minum Breast M, lidah saya langsung le le le le (sambil mendemonstrasikan dengan lidah bergerak ke atas dan bawah secara cepat dan tertawa terbahak-bahak).

Anda telah menempuh apa yang dibilang cara yang “belum terbukti” untuk penyembuhan, apakah anda merasa terintimidasi atau tertekan oleh seseorang karena hal ini ? Ya. Kerabat saya bertanya : Apakah kamu yakin terapi herbal itu baik ? Apakah itu bisa dipercaya ? Apakah harus berpantang begitu banyak makanan ? Apakah harus melewati begitu banyak kesulitan ? Mereka selalu memaksa saya untuk makan apapun yang mereka masak meskipun saya telah memberitahukan mereka bahwa saya harus pantang makanan-makanan itu. Mereka lalu berkata pada saya : tidak perlu pantang apapun. Kamu makan sayur-sayuran. Sayuran pun beracun (karena pestisida).

Apakah anda percaya mereka ? Mereka dapat mengatakan apapun yang mereka mau, namun saya tidak mendengarkan mereka. Saya tidak percaya dengan apa yang mereka katakan. Kenapa saya haru mendengarkan mereka dan merubah jalan saya? Saya sehat sampai sekarang. Kenapa saya harus berubah dan mengambil resiko. Jadi, Saya memberitahukan mereka karena saya sedang terapi herbal, maka saya harus berpantang dari semua makanan yang tidak boleh dimakan. Ini untuk segera mengakhiri diskusi dan harus menjelaskan begitu banyak hal kepada mereka mengapa makanan yang sehat sangat penting untuk kesembuhan kanker.

Jika saya sekarang mengatakan : Anda dapat makan apapun yang anda mau. Maukah anda ?Tidak. Saya tidak mau. Tidak untuk makanan berminyak dan goreng-gorengan. Saya dapat melihat betapa buruknya makanan tersebut, makanan seperti sate. Anak-anak senang makan itu. Sekarang kita mengetahui betapa tidak sehatnya makanan itu. Sedangkan untuk saya, saya tidak akan makan bahkan sepotong daging pun.

Anda menang karena anda tidak berspekulasi. Anda mendengarkan saran. Dan yang paling penting anda bersedia berubah. Kemauan anda untuk berubah itulah yang penting.

Berbicara mengenai perubahan, kakak ipar saya berkata : Kamu wanita bodoh, tidak bisa makan ini, tidak bisa makan itu, tidak bisa makan semuanya.

Pengobatan Kanker Payudara: Lobular Carcinoma, Stadium 2: Pengalaman Seorang Pasien

Nini, wanita, 38 tahun dari Indonesia. Pada bulan September 2008, dia merasa benjolan dipayudaranya. Dia pergi ke Guangzhou, Cina untuk mastectomy radikal. Setelah operasi, Nini terima 3 siklus kemoterapi intra-arterial. Setelah tiga siklus Nini menderita efek samping dan dia memutuskan untuk menghentikan pengobatan. Dia diminta untuk menjalani radioterapi (25 kali). Dia menolak. Ia diminta untuk mengambil tamoxifen. Dia menolak.

1     Ringkasan kasus dan bagaimana saya temukan CA Care

2     Penemuan benjolan di payudara

3     Pergi ke Cina lebih baik daripada Singapura

4     Prosedur kemoterapi intra arterial


5     Memutuskan pulang dengan segera setelah kimo ketiga

6     Dokter kata bisa sembuh 100 persen tetapi saya merasa tertipu

7     Akibat sampingan kemoterapi  (Lidah menjadi pendek / Otak kemo)

8     Nasehat kami

 

Bagaimana anda merasa setelah kehilangan payudara?

  • Operasi tidak menyembuhkan kanker jika sudah menjalar
  • Apakah dokter menasehatkan anda tentang makanan?

Ikutilah apa kata hati anda

 

Operasi, Kemoterapi, Radioterapi dan Terapi Sulih Hormon Tidak Menyembuhkan Kanker Payudara

Kasus 1

Fay (bukan nama sebenarnya) adalah seorang wanita Malaysia berusia 45 tahun. Ia didiagnosa menderita kanker payudara pada September 2006.

  • Fay melakukan operasi mastektomi dan pembersihan kelenjar getah bening pada daerah ketiak.
  • Setelah melakukan operasi, ia melanjutkan terapi radiasi sebanyak 25 kali dan 6 kali kemoterapi. Obat-obatan yang digunakan antara lain 5-FU, Epirubin dan Cyclophosphamide (FEC). Seluruhnya selesai pada April 2007.
  • Setiap 4 bulan sekali, Fay harus kembali ke dokter ahli kankernya untuk melakukan pemeriksaan rutin dan semuanya baik-baik saja.
  • Pada bulan Agustus 2008, Kanker kembali ditemukan pada tulang – L2, L5, tulang sakral dan tulang pelvis.
  • Fay mengkonumsi Tamoxifen selama hampir 2 tahun (November 2006 – Agustus 2008). Pengobatan dengan Tamoxifen gagal dan dokternya menyarankan untuk mengganti obatnya dengan Arimidex.
  • Fay menerima saran dokter untuk melakukan kemoterapi lagi dan sangat menderita akibat efek samping yang ditimbulkan.

Kasus 2

Rin (bukan nama sebenarnya) seorang wanita Indonesia berumur 40 tahun, tinggal di United States (USA). Ia menulis sebagai berikut :

  • Awalnya saya didiagnosa menderita kanker payudara pada Desember 2004.
  • Saya melakukan operasi pengangkatan benjolan di payudara kiri pada Februari 2005.
  • Setelah operasi tersebut, saya menjalani 8 kali kemoterapi. Dan setelah kemoterapi saya mengalami menopause.
  • Lalu saya menjalani radioterapi sebanyak 35 kali dan selesai pada Oktober 2005.
  • Saya mengkonsumsi obat Tamoxifen, 20 mg sehari.
  • Saya melakukan pemeriksaan rutin dengan dokter ahli kanker saya selama 6 bulan dan saya melakukan mammogram 1 tahun sekali dan selama dua tahun lalu saya juga melakukan tes kepadatan tulang (bone density test).
  • Pada Agustus 2008, saya mulai merasa nyeri pada kaki kiri dan kadang-kadang juga terasa pada lengan kiri saya. Nyeri tersebut tidak kunjung hilang dan bahkan semakin nyeri. Lalu saya tidak dapat berjalan lurus dan menekuk lutut. Ini membuat sangat sulit untuk naik dan turun tangga.
  • Pada November 2008, saya melakukan scan seluruh tubuh dan juga melakukan CT-scan. Kanker tersebut telah menyebar ke tulang lengan atas, kaki kiri dan L5.
  • Saya lalu menjalani lagi radioterapi pada daerah yang sakit sebanyak 10 kali.
  • Pada Desember 2008, Saya membuat sediaan darah tepi pada kaki kiri saya.
  • Dokter saya mengganti obat-obatan dari Tamoxifen menjad Arimidex.

Kasus 3

Gay (bukan nama sebenarnya) adalah seorang wanita berusia 43 tahun asal Australia. Ia didiagnosa menderita kanker payudara pada tahn 1999. Ia menulis :

  • Saya mendapat terapi 6 bulan kemoterapi dan 3 bulan terapi radiasi.
  • Lalu saya mulai mengkonsumsi obat Tamoxifen selama 5 tahun dan diganti dengan Arimidex.
  • Saya tidak mengalami masalah apapun sampai 6 bulan kemarin, saya merasakan sedikit nyeri pada bagian kanan atas perut saya dan Tumor marker (hasil pemeriksaan antibodi tumor) saya meningkat.
  • Setelah beberapa kali diperiksa, ternyata hasilnya telah terjadi metastase ke tulang.

Kasus 4

  • Sri (bukan nama sebenarnya), seorang wanita berusia 57 tahun asal Indonesia, didiagnosa menderita kanker payudara pada payudara kirinya di tahun 2003. Ia menjalani operasi mastektomi lalu diikuti dengan kemoterapi dan radioterapi. Pada saat kami bicara padanya, Sri ternyata menjalani kemoterapi otak dan ia tidak mampu menjelaskan detail perawatan yang dilakukannya. Respon balik atas pertanyaan kami pun juga dirasakan sangat lambat. Sri menjalani semua terapi ini di New Zealand. Sri pergi untuk melakukan pemeriksaan rutin dan diberitahu bahwa semuanya baik-baik saja. Namun pada tahun 2007, ia merasa tidak begitu sehat. Dari pemeriksaan lebih lanjut ditemukan indikasi metastase ke tulang. Lalu ia menjalani lagi 6 siklus kemoterapi dan 10 kali terapi radiasi. Semua perawatan ini selesai pada November 2008. Sri pergi ke Penang pada Februari 2009 dan melakukan CT-Scan. Hasil yang didapat adalah sebagai berikut :

o        Lesi di T1 dan T5 Vertebra.

o        Nodul pada C5 dan Lesi pada L4 korpus vertebra.

o        Beberapa lesi lisis pada tulang iliaka kiri.

o        Kemungkinan terjadi sirosis hepatis.

Apa yang dapat kita pelajari dari keempat kasus tersebut ?

1.      Pasien-pasien ini telah mendapat dan menjalani semua perawatan medis yang diperlukan – operasi, kemoterapi, radioterapi dan obat-obatan oral – Tamoxifen dan Arimidex. Mereka telah mendapat yang terbaik yang ilmu kedokteran tawarkan namun kanker terus berlanjut.

2. Dokter ahli kanker mengatakan semua perawatan ini telah terbukti secara ilmiah, disetujui FDA didukung oleh data-data yang dibahas oleh rekan-rekan dalam jurnal kedokteran. Yang menjadi pertanyaan adalah : apa yang sangat istimewa dari semua ini ? Kenapa pasien-pasien ini masih mengalami metastase ? Apa yang dimaksud dengan “kebenaran dan kejujuran” yang sebenarnya dari semua perawatan ini?

3.      Apakah pernah terlintas pada pikiran seseorang bahwa ketidakmampuan untuk sembuh dankemampuan kanker tersebut untuk menyebar dapat terjadi karena perawatannya itu sendiri?

4.      Coba kita lihat kasus-kasus ini lagi. Fay di Malaysia mengalami metastase 1 tahun 4 bulan sesudah menyelesaikan semua perawatan medisnya. Rin di USA dan Sri di New Zealand mengalami metastase kurang lebih tiga tahun setelah perawatan medisnya, sedangkan Gay dari Australia mengalami metastase sekitar delapan tahun setelah perawatannya. Semua kasus ini menunjukkan masalah yang sama yang dihadapi sebagian besar pasien dimanapun di dunia ini. Bukan masalah dimana anda hidup dan apa atau siapa diri anda, melakukan hal yang sama dan menghasilkan hasil yang sama.

Einstein berkata : Insanity is to the do the same thing over and over again and expecting different results (kegilaan adalah melakukan hal yang sama berulang-ulang dan mengharapkan hasil yang berbeda). Apakah anda dapat belajar sesuatu kebijakan dari seorang ahli ilmu pengetahuan ini ? Pasien di USA, Australia, New Zealand, dan Malaysia menerima perawatan yang sama dan semuanya berakhir dengan hasil yang sama. Bertahun-tahun, saya mengamati cerita yang mirip diulang lagi dan lagi begitu banyak sampai-sampai metastase pada tulang dapat atau pasti terjadi setelah perawatan tersebut. Untuk mengharapkan hasil yang berbeda adalah apa yang Einstein katakan dengan insanity(kegilaan).

Pertanyaan-pertanyaan yang terngiang dalam pikiran kita : mengapa mereka yang mengetahui hal ini TIDAK melakukan sesuatu tentang itu ? Kenapa pasien dibiarkan dalam kegelapan dan tidak diperingatkan tentang kemungkinan-kemungkinan tersebut ? Mungkin kami dapat melakukan LEBIH dari sekedar meresepkan obat ? Tamoxifen seharusnya untuk mencegah terjadinya kekambuhan tetapi dari semua kasus diatas, Tamoxifen telah gagal secara menyedihkan. Kenapa kita tidak melihat ke belakang melihat apa yang telah kita lakukan sampai hari ini ?

 

Setelah Operasi Chau Melakukan Terapi Herbal dan Mengubah Pola Makan.

Kakak perempuannya meninggal dunia setelah melakukan perawatan medis.

Chau (bukan nama sebenarnya) adalah seorang wanita berusia 43 tahun berasal dari Johor. Pada dada kanan nya terdapat suatu benjolan. Dari hasil biopsi mengindikasikan dia menderita kanker dan harus melakukan mastektomi. Chau sedang dalam keadaan dilema saat ia datang kepada kami. Kakak perempuan nya juga menderita kanker payudara. Ia melakukan operasi, kemoterapi dan radioterapi, dan dalam kurun waktu satu tahun ia meninggal dunia. Chau dalam keadaan sangat tertekan karena dokter onkologis (ahli kanker)-nya memaksa ia untuk melakukan kemoterapi dan radioterapi setelah ia melakukan operasi mastektomi. Chau dan kakak laki-lakinya datang kepada kami untuk minta pertolongan kami pada bulan Mei tahun 2004.

Saya ingat pernah mengatakan ini kepada Chau : Jangan khawatir. Saya rasa anda tidak akan meninggal dalam waktu satu tahun seperti saudara perempuanmu. Tentu saja, saya tidak menjamin itu karena saya bukanlah Tuhan. Tetapi dari pengalaman saya dengan kanker payudara menunjukkan saya bahkan TANPA MELAKUKAN APAPUN, anda tidak akan meninggal karena kanker payudara dalam waktu satu tahun.

Chau mulai melakukan terapi herbal dan sudah diberitahu bahwa tidak ada kepastian dan ia harus mempertahankan pola makan yang sehat. Saya juga memintanya untuk pergi melakukan tes darah sebagai dasar untuk memantau perkembangannya. Enam bulan setelah melakukan terapi herbal, Chau datang menemui kami lagi. Saya mengatakan padanya : jika anda hidup enam untuk enam bulan kedepan, maka itu berarti kita melakukan hal yang tepat. Ingat, saudari anda meninggal sekitar setahun setelah kemoterapi dan radioterapi.

Chau menemui kami kembali pada April 2005. Itu hampir setahun setelah kunjungan pertamanya. Ia tampak baik-baik saja tetapi tampak sangat bimbang karena dokternya masih memaksanya untuk melakukan kemoterapi. Saya mengatakan kepadanya : Itu adalah pilihan anda! Kenapa anda membutuhkan kemoterapi dan radioterapi? Saudari anda melakukan kemoterapi dan radioterapi dan ia meninggal dunia. Ingat apa yang Einstein katakan : Insanity is to do things over and over again and expecting different results (kegilaan adalah melakukan hal yang sama berulang-ulang dan mengharapkan hasil yang berbeda). Jika anda melakukan hal yang sama seperti yang saudari anda lakukan, anda mungkin akan berakhir dengan hasil yang sama – kematian.

Laporan Pathologi: 27 April 2004

Infiltrating ductal carcinoma of breast. Size: 1 cm in diameter. Histologically grade 2. Margins of excision are close to tumour. One of 10 axillary lymph node is positive for metastatatic deposits.

Hasil Ujian Darah

—————May 2004     Sept.05   Sept 06

ESR                     23 H            4            12

Haemoglobin        11.6           12.1         13.3

Platelet                240            199          228

WBC                    3.89            6.9          6.1

CEA                     1.0               0.6          0.5

CA15.3                4.4               4.9          5.4

Saat saya menulis artikel ini, saudara Chau menelepon – sungguh suatu kebetulan! Ia mengatakan bahwa Chau dalam kondisi yang sehat. Dan saat ini Januari 2009, berarti Chau baik-baik saja (dikurangi waktu yang digunakan untuk bertahan akibat pengobatannya yang toksik) untuk hampir lima tahun sampai saat ini. Untuk itu banyak alasan untuk percaya dan berharap bahwa ia akan tetap hidup untuk bertahun-tahun yang akan datang.

Komentar: Kami bersyukur kepada Tuhan yang Maha Kuasa karena Chau masih dapat hidup dan sehat. Ini adalah yang harusnya seluruh pasien lakukan – bersyukur. Chau menempuh jalan pengobatan yang berbeda dengan kakak wanita tertuanya. Bagaimanapun juga, tetap itu adalah suatu ketidakberuntungan untuknya hidup dibawah kutukan voodoo – tanpa kemoterapi atau radioterapi ia tidak akan sembuh. Tidak ada kebenaran mutlak untuk asumsi seperti itu.

Nota: Pada saat ini (November 2010 – sudahpun 6 tahun lebih) kesihatan Chau bagus dan tidak ada apa-apa masalah.


Yee Meninggal Setelah Menjalani Segala Perawatan Medis

Hidup di bumi adalah suatu pengalaman hidup.Jadikanlah kematian Yee sebagai suatu pengalaman berharga bagi yang sepertinya.

Yee berumur 40 tahun saat ia didiagnosa menderita kanker payudara pada Oktober 2005. Ia menjalani operasi mastektomi. Itu adalah kanker stadium II tanpa penyebaran pada kelenjar getah bening. Tumornya berukuran 3 x 2 x 2 cm.

Setelah melakukan operasi, Yee menjalani 6 siklus FAC kemoterapi (5-FU, Andiamycin dan Cyclophosphamide).Tidak diindikasikan untuk radioterapi. Kemoterapinya selesai pada Maret 2006 setelah itu ia mengkonsumsi Tamoxifen.

Yee baik-baik saja selama sekitar 9 bulan. Kadang-kadang pada Januari 2007, ia mengalami pembengkakan pada sisi kanan lehernya. Dari hasil CT-Scan thorax (dada) pada tanggal 19 Januari 2007 memperlihatkan hasil: nodul multipel tersebar pada kedua paru-paru berukuran antara 2 sampai 10 mm. Ini berarti kanker telah menyebar ke paru-parunya.

Yee mendapat terapi 8 siklus kemoterapi berbasis Taxane (Taxane –based chemoterapy). Cara ini tidak efektif. CT-Scan pada tanggal 4 Juli 2007 menunjukan nodul-nodul di paru-parunya makin bertambah.

Yee kembali mendapat kemoterapi – 6 siklus Navelbine + Herceptin. Perawatan ini bernilai sekitar 50.000 RM. CT-Scan pada November 2007 menunjukkan hasil yang stabil. Sejak November 2007 sampai Desember 2008 Yee mendapat terapi obat oral, Tykerb (lapatinib) 4 – 5 tablet per hari. Setiap tablet seharga 65,00 RM. Berarti 260,00 RM per hari dan berarti 7.800 RM per bulan. Dan itu berarti total biaya sekitar 14 bulan menggunakan Tykerb berkisar sekitar 93.000,00 RM.

Pada Februari 2008, tampak terlihat kejanggalan kembali. Hasil CT-Scan pada 13 Februari 2008 memperlihatkan hasil : pembesaran nodul di paru berkisar 0,5 cm sampai 2,2 cm.

Enam bulan kemudian, tanggal 19 Agustus 2008, CT-Scan memperlihatkan nodul di  paru meningkat jumlahnya dan ukurannya berkisar dari 0,5 cm sampai 5,0 cm. Nodul di mediastinal juga mulai terlihat.

Pada Oktober 2008, Yee merasa nyeri pada lengan kanan dan pembengkakan keras pada klavikula kanan. CT-Scan pada 13 Oktober 2008 menunjukan perkembangan yang lebih serius:

 

1. Fibrosis (pembentukan jaringan ikat) pada daerah ketiak kanan.

2. Nodul irregular pada daerah infraklavikula kanan, kira-kira sebesar 2,0 cm.

3. Nodul kecil lainnya di daerah supraklavikula kanan, sekitar 0,7 cm juga terlihat.

4. Nodul mediastinum, ukurannya sedikit membesar dari waktu terakhir kali melakukan CT-Scan.

5. Massa dan nodul yang membesar pada paru. Massa yang terbesar pada paru-paru kiri berukuran 5,6 cm. Lesi lainnya berukuran dari 1,0 cm sampai 4,8 cm.

6. Lesi hipodens baru, sekitar 1,0 cm sekarang terlihat pada Segmen ke-7. Ini diduga adalah metastase pada hati.

Melihat penyakitnya yang sangat progresif, Yee melakukan 28 kali terapi radiasi mulai dari 13 Oktober 2008 sampai 1 Desember 2008, dan dalam waktu bersamaan tetap meneruskan minum obat Tykerb.

Pada 17 Desember 2008, Yee menderita sakit kepala sampai tidak dapat tidur. Hasil CT-Scan yang dilakukan 19 Desember 2008 memperlihatkan hasil metastase multipel pada otak (multiple brain metastases).

 

Yee dan suaminya datang kepada kami mencari pertolongan pada tanggal 5 Desember 2008. Kondisi Yee sangat serius. Tangan kanannya sudah kaku. Dia tidak nafsu makan. Dia sesak nafas berat. Bahkan suplai oksigen melalui lubang hidungnya tidak menolong sama sekali. Dia memberitahu suaminya bahwa ia lebih baik meninggal. Pada awal Februari 2009, Yee masuk ke rumah sakit dan dokter menyarankannya melakukan terapi radiasi untuk otaknya. Itu tidak terjadi – ia meninggal sebelum melakukan terapi itu.

Komentar : Ini adalah kasus yang tragis. Cerita Yee mirip dengan apa yang dialami oleh Fransiska dari Indonesia. Fransiska melakukan operasi dan menjalankan kemoterapi, radioterapi, Herceptin dan Tykerb + Xeloda. Fransiska meninggal. Ia didiagnosa pada November 2004 dan meninggal Desember 2008. Yee didiagnosa menderita kanker payudara stadium II pada Oktober 2005 dan menjalani terapi yang sama dan meninggal pada Februari 2009.

Dokter-dokter, Media, dan pasien selalu mencari obat-obatan baru dan teknologi terbaru sebagai suatu harapan untuk menyembuhkan penyakitnya. Kita telah terpaku dalam pikiran bahwa sesuatu yang baru selalu lebih baik. Herceptin dan Tykerb adalah senjata baru untuk melawan kanker yang sekarang muncul di daerah lokal kami. Apakah itu lebih baik atau berbahaya?

Dari website (http://www.tykerb.com) anda dapat belajar bahwa :

1. Tidak ada obat untuk kanker payudara yang bermetastasis. Tapi itu dapat diterapi. Apa yang anda harapkan dari terapi yang tidak pasti itu? Tentu saja kita dapat melakukan apapun jika kita memiliki uang!

2. Pada beberapa wanita timbul kerusakan hati akibat mengkonsumsi Tykerb. Penyebab dari kerusakan ini tidak diketahui. Kerusakan hati mungkin dapat menjadi berat dan menyebabkan kematian.

3. Efek samping utama dari Tykerb adalah diare, mual, rasa tidak enak pada lambung, rasa lelah, kemerahan dan nyeri pada tangan dan kaki, dan timbul ruam.

4. Batuk kering atau napas yang pendek-pendek mungkin merupakan tanda dari proses radang pada paru-paru.

Apakah Herceptin dapat menyebabkan efek samping yang serius? Ya, menurut National Cancer Institute (Institusi Kanker Nasional) melalui website-nya (http://www.cancer.gov/cancertopics/factsheet/therapy/herceptin)

1. Herceptin dapat menyebabkan kerusakan otot jantung yang dapat menyebabkan gagal jantung.

2. Herceptin juga dapat mempengaruhi paru-paru menyebabkan ancaman serius masalah pernafasan yang mengancam jiwa .

3. Herceptin dapat menyebabkan reaksi alergi yang dapat menjadi berat atau membahayakan jiwa. Gejala-gejala dari reaksi tersebut antara lain penurunan mendadak tekanan darah, nafas sesak dan pendek, kemerahan dan wheezing.

4. Karena potensi efek samping yang mengancam jiwa ini, dokter-dokter DIPERINGATKAN untuk mengevaluasi pasien secara hati-hati apakah pasien memiliki kelainan pada jantung atau paru-paru –nya sebelum memulai terapi. Apakah anda berpikir mereka pernah melakukan ini? Dalam kasus ini, Yee mengalami metastase (apakah itu bukan masalah yang serius ?) pada paru-parunya. Pada keadaan ini bukankan Herceptin akan membuat keadaan menjadi lebih buruk untuknya? Ketika ia datang kepada kami ia dalam keadaan sesak nafas berat. Apakah yang kira-kira menjadi penyebabnya?

Dan satu pertanyaan yang paling penting yang pasien (dan dokter?) tidak perduli untuk bertanya : Apakah Herceptin mengobati kanker payudara ? Jawabannya adalah tentu TIDAK. Penambahan penggunaan Herceptin pada kemoterapi normal memperpanjang harapan hidup sekitar 4-6 bulan.Tidak ada di dalam website yang mengatakan Herceptin mengobati kanker payudara. Baca bagian : Possible Benefits of Herceptin (kemungkinan keuntungan dari Herceptin) (sebagai catatan, bahkan judulnya sendiri tidak menunjukkan kepercayaan diri dan harapan) pada website resmi-nya : http://www.herceptin.com/adjuvant/what-is/benefits.jsp

Dr. Ralph Moss menulis laporan berjudul : “Herceptin or Deception”. Michael Janson, M.D., mantan ketua dari American College of Advancement Medicine memberi komentar ini tentang laporan tersbut :Dr. Moss menguak kebenaran dari laporan medis tentang Herceptin, menunjukkan bahwa itu sebenarnya tidak seperti yang telah dikatakan, dan data statistik telah dimanipulasi untuk membuatnya terlihat jauh lebih baik dari yang semestinya, sementara mengesampingkan potensi resikonya.

Pada kasus Yee, seperti banyak kasus lainnya, mungkin tidak ada gunanya menanyakan pertanyaan yang sama : apakah yang salah ? Semuanya tampak sepertinya salah setiap saat. Ijinkan saya berpikir dan dengarkanlah : Bagaimana mungkin kanker payudara stadium II dapat menyebabkan kematian pasien dalam waktu empat tahun? Apakah ia akan meninggal bila ia tidak melakukan apapun?

Kanker payudara sangat sedikit ditemukan pada mereka yang berusia sekitar 30 tahun, tetapi jika terjadi pada usia lebih muda, itu akan menjadi lebih agresif dibanding pada usia tua. Kemungkinan, ini adalah benar, beberapa orang ingin kami percaya karena Yee masih muda dan terkena tipe kanker yang agresif maka seluruh perawatannya menjadi tidak efektif. Ijinkan saya mengundang anda untuk membaca kasus dari tiga orang wanita yang belum berumur 40 tahun ketika mereka divonis kanker dan mereka dapat bertahan hidup. Hal berbeda yang dilakukan mereka adalah mereka tidak buta pada dokter mereka – mereka menolak kemoterapi, radioterapi atau terapi sulih hormon.

1. Tee, seorang wanita berusia 38 tahun didiagnosa kanker pada Oktober 2005 (catatan: pada waktu yang hampir bersamaan dengan Yee) dan ia menolak kemoterapi. Tee masih hidup saat saya menulis ini (Maret 2009) sementara Yee meninggal dunia pada Febuari 2009. Anda dapat membaca kisah tentang Tee pada laporan kasus kami.

2. Sue berumur 39 tahun saat ditemukan 2 benjolan pada payudara kanan-nya pada tahun 2003. Ia melakukan operasi mastektomi. Dokter ahli kankernya memberitahunya jika ia menjalani kemoterapi maka ia akan mempunyai kesempatan hidup 5% lebih banyak. Namun ia menolak terapi medis lebih jauh, termasuk tidak mengkonsumsi Tamoxifen seperti yang disarankan oleh dokter ahli bedahnya. Sue merubah pola makan dan gaya hidupnya dan menjalani terapi herbal. Sampai saat ini sudah lewat dari 6 tahun dan Sue sedang menuju ke arah hidup yang bebas dari masalah.

3. Julia menemukan benjolan berdiameter 4 cm pada payudaranya di tahun 1995. Ia berumur 36 tahun saat itu. Ia disarankan menjalani operasi mastektomi. Ia menolak dan tidak pernah menemui dokter lagi sejak itu. Ia menolak kemoterapi, radioterapi dan terapi sulih hormon dan memutuskan untuk mencari terapi alternatif. Ayahnya adalah seorang terapis herbal dan mencarinya untuk meminta bantuan. Perjalanannya menempuh usaha penyembuhan sungguh menarik dan kadang0kadang berbahaya. Tetapi kenyataanya ia masih sangat sangat sehat dan baik-baik saja saat saya menulis ini (2009). Itu sudah 14 tahun lalu sejak ia pertama kali didiagnosa mengidap kanker. Untuk lebih jelas mengenai cerita Julia, anda dapat melihatnya dalam buku kami “The herbal option”, Bab 3.

4. Cindy berumur 34 tahun saat ia didiagnosa menderita kanker payudara pada Agustus 1994. Ia melakukan operasi pengangkatan benjolan. Karena batasnya tidak jelas, maka ia diminta untuk menjalani operasi mastektomi. Dan diikuti kemoterapi dan radioterapi. Ia menolak terapi medis lebih lanjut. Ia mengubah gaya hidup dan pola makannya, melakukan “chi kung” dan meditasi serta melakukan terapi homeopati. Sampai saat ini sudah 15 tahnu dan Cindy menjalani hidup sehat tanpa ada masalah (Bab 2 : The herbal option).

Dr. Gershom Zajicek, Professor pengobatan di The Hubert H. Humphrey Center For Experimental Medicine and Cancer Research, The Hebrew University of Jerusalem, Israel (http://www.what-is-cancer.com) menulis : Modern medicine has the best means to treat disease, yet the basic tenets of treatment are false (Ilmu pengobatan modern mempunyai sistem yang baik untuk mengobati penyakit, tetapi pemahaman dasar dari pengobatan itulah yang salah).

Dr. Frank Daudert, dari Pro Leben Klinik di Austria mengatakan : Doctors are blindly giving chemotherapy … while the cancer cells smile. Doctors give chemo, chemo, chemo. And patients die, die, die (dokter membabibuta memberikan kemoterapi … sementara sel kanker tersenyum. Dokter memberikan kemo, kemo, kemo. Dan pasien mati, mati, mati).

Dalam buku mereka : More Harm than Good, Alan Zelicoff, M.D., dan Michael Bellomo, J.D./MBA, menulis : (dokter) diajarkan bahwa tidak melakukan apa-apa hampir pasti dijamin pasien tersebut akan menderita lebih berat jika tidak diberikan pertolongan apapun. Kebenarannya adalah bahwa sebagian besar kanker – sekali menyebar – akan menetap dan tidak dapat diobati meskipun banyak tersedia obat-obat kemoterapi baru bahkan dengan cara penggunaan antibodi langsung melawan sel kanker.

Richard Deyo dan Donald Patrick, seorang professor, University of Washington, Seattle, USA, menulis di bukunya : Hope or Hype – the obsession with medical advances and the high cost of false promises: kita terlahir dengan kepercayaan buta pada kepastian medis yang memangsa ke dalam ketakutan kita yang paling dalam, sementara tampak sepertinya akan membawa kita menuju keselamatan dengan “obat ajaib.” Memang banyak kemajuan medis yang menawarkan keuntungan yang nyata, tetapi sama banyaknya dengan yang tidak, jika ada, keuntungan dan efek samping yang berbahaya …. efektifitas terbaik pada batas yang sempit – dan kadang kali benar-benar berbahaya … Itu kadang-kadang memimpin ke arah tidak berguna, berbahaya, dan terapi yang mahal dan tidak perlu. … Ketika dokter diperkenalkan produk baru, uang kadang-kadang mengesampingkan ilmu pengetahuan yang baik.

 

Lebih Baik Aku Mati Daripada Menderita

May (bukan nama sebenarnya) adalah seorang wanita berumur 55 tahun. Suaminya telah meninggal akibat serangan jantung tiga tahun lalu, pada umur 62 tahun. May didiagnosa menderita kanker payudara pada tahun 2000. Ia menjalani operasi mastektomi dan diikuti enam siklus kemoterapi. Setelah itu ia mendapat obat Tamoxifen. Tiga tahun kemudian, kanker menyebar ke sisi kanan payudaranya meskipun faktanya ia telah mendapat terapi Tamoxifen selama tahun-tahun itu. May kembali menjalani enam siklus kemoterapi diikuti dengan duapuluh sesi radioterapi pada daerah leher dan payudara. Sayangnya, kanker menyebar ke lehernya. May menjalani kembali empat siklus kemoterapi.

Dari July 2005 sampai Maret 2006, ia mengkonsumi obat oral, Femara. Lalu sejak April 2006 sampai July 2006, Ia mengkonsumsi Xeloda.

Putrinya memberitahu kami bahwa May menderita nyeri yang tidak tertahankan. Ketika ia tidak tahan dengan nyerinya, ia melepas pakaiannya dan lari mengelilingi rumah. Pada satu waktu May mencoba untuk melompat dari jendela untuk bunuh diri. Lengan dan daerah sekitar payudara dan lengannya bengkak dan mengeras. Ia merasa sangat panas dari dalam tubuhnya. Ia memutuskan untuk menyerah dari terapi medis lebih lanjut dan mencari kamu untuk pertolongan pada akhir Juli 2006. Gambar berikut ini dapat menjelaskan lebih lanjut tentangnya waktu sekarat.

Komentar : Andrew Weil (dalam tulisannya “Health and healing” (Kesehatan dan penyembuhan)) menulis : There is never ending struggle … patients are sucked into same way of thinking … finding themselves more and more dependent on the system giving one treatment after another. (Perjuangan tiada akhir … pasien terseret pada pola pikir yang sama … mereka semakin tergantung pada sistem pengobatan yang diberikan setelah pemberian pengobatan yang lain.)

Profesor Jane Plant (dalam tulisannya “in Life in your hands” (hidup di tangan anda)) menulis : This sounds like a battle between the disease and the treatments – with the patient as the battle ground …Conventional cancer treatment can process patients to the extent that they no longer understand what is really being done to them. (Ini seperti pertempuran antara penyakit dan pengobatan – dengan pasien sebagai lahan pertempurannya … Terapi kanker konvensional dapat membuat pasien tidak lagi menyadari apa yang telah dilakukan pada mereka.)

Dr. Lai Gi-ming, Komite medik Onkologi Taiwan, Institut Penelitian Nasional mengatakan : The thing that most frustrates modern doctors is that, after surgery, chemotherapy and radiotherapy, all they can do is keep chasing and chasing the cancer! (Hal yang paling membuat frustasi dokter modern adalah setelah mereka melakukan operasi, kemoterapi, radioterapi, yang dapat mereka lakukan hanyalah mengejar dan mengejar kanker itu !)

CA Care di Penang, Malaysia

CA Care, 5, Lebuhraya Glugor, 11600 Penang, Malaysia. Tel: 604-6595881

(Talipon pada masa ini saja: Senin – Jumat  9.30 pagi – 1.00 petang saja )

Fax: 604-6580422
Email : chriskhteo@gmail.com

Map-to-CA-Care-by-Google

 Click this link for Google map  https://maps.google.com.my/maps?hl=en&tab=wl 

Peginapan di Penang: Senarai Apartment-Apartment di Penang

2. Apartment Mewah Court — Ah Leng / Eng

Tel: +6012-450-7932 atau +6016-478-0504

Depan Hospital Law Wah Ee, dekat juga dari CA Care

Apartment di kawasan Pulau Tikus. Jauh sedikit dari CA Care

3. Halaman Pulau Tikus — A Keong

Tel: +6016-489-9499

4. Mutiara Gurney — Aheng / Ani

Tel: +6016-418-3866 atau +6012-8921

5. Ai Lin Ai Lin

Tel: +6016-455-2607 atau +6013-438-9968

6. Lee Tak Seng Service, Gurney Park — L.S. Lee

+6012-552-6333 atau +6016-492-0666