Bagian 1
Bagian 2
Bagian 1
Bagian 2
Apa yang dokter Anda mungkin tidak memberitahu Anda
Toksisitas keuangan
Adek adalah adik sepupu saya. Suatu saat di bulan Maret 2020 dia mengalami lepuh kecil dengan bercak putih di alis kirinya. Saat ditekan nanah bercampur darah keluar dari lepuhan. Itu menyebabkan rasa sakit yang tajam sesekali. Lesi tidak hilang. Dua bulan kemudian, Adek pergi berkonsultasi dengan dokter di rumah sakit universitas.
Pada 20 Mei 2020, Adek menjalani operasi yang berlangsung sekitar dua jam untuk mengangkat benjolan tersebut. Laporan histopatologi menegaskan itu adalah karsinoma sel skuamosa, sejenis kanker kulit.

Setelah operasi, dokter meresepkan beberapa obat dan menyarankan agar Adek menjalani radioterapi. Dia menolak rawatan radiasi tetapi minum obat.
Awalnya setelah operasi, dahi Adek mulai membengkak dan butuh waktu sekitar 10 bulan hingga bengkaknya mereda. Bekas lukanya mulai sembuh tetapi sesekali terasa gatal. Selain itu pemulihannya lancar.
Selama masa pemulihan tersebut, Adek mengalami hal-hal sebagai berikut:
1. Batuk. Ini datang dan pergi dan ini diikuti oleh keluarnya dahak putih kehijauan yang berlebihan. Keluarnya dahak terjadi setelah makan.
2. Kesulitan bernapas. Beberapa hari dalam seminggu dia mengalami kesulitan bernapas.
3. Terengah-engah. Dia merasa terengah-engah setelah berjalan agak jauh.
Adek kembali ke dokternya secara teratur untuk pemeriksaan.
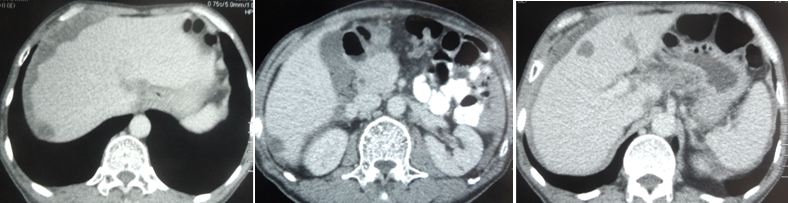
Untuk memantau perkembangannya, computed tomography dosis tinggi (CECT) dilakukan pada 14 Juli 2021. Hasilnya adalah sebagai berikut:
1. Otak: Ada penebalan jaringan lunak subkutan yang tidak teratur di daerah frontal kiri.
2. Abdomen / Panggul: Lesi hipodens kecil yang tidak membesar di bagian atas ginjal kanan, bagian atas dan sela ginjal kiri kemungkinan merupakan kista.
3. Tulang. Tidak ada lesi litik atau sklerotik yang mencurigakan.
4. Leher/Thoraks: Beberapa nodul paru terlihat bilateral seperti di bawah ini:
• Nodul subpleura kecil di segmen apikal lobus kanan atas (Gambar: 41,43).
• Nodul subpleura kecil (Gambar 64, 71) dan nodul paru pada segmen anterior lobus kanan atas (Gambar 46, 68, 69, 84).
• Nodul paru pada segmen medial lobus tengah kanan berukuran 0,4 cm x 0,3 cm (Gambar 142).
• Nodul subpleural kecil pada segmen superior lobus kanan bawah (Gambar 152, 171).
• Nodul terbesar pada fisura horizontal kanan berukuran 0,5 cm x 0,3 cm (Gambar 113).
• Nodul subpleura kecil (Gambar 60, 85) dan nodul paru pada segmen anterior lobus kiri atas (Gambar 72).
• Nodul terbesar pada segmen inferior berukuran 0,5 cm x 0,3 cm (Gambar 155).



• Perubahan bronkiektasis dengan atelektasis lempeng yang berdekatan pada segmen medial lobus tengah kanan dan segmen superior lobus kanan bawah.
• Perubahan atelektasis lempeng pada segmen lingular inferior.
• Tidak ada efusi pleura bilateral.
Catatan:
Perubahan bronkiektasis: Bronkiektasis adalah kondisi jangka panjang di mana saluran udara paru-paru melebar, menyebabkan penumpukan lendir berlebih yang dapat membuat paru-paru lebih rentan terhadap infeksi. Gejala bronkiektasis yang paling umum meliputi:
• batuk terus-menerus
• biasanya mengeluarkan dahak (dahak)
• sesak napas.
Perubahan atelektasis. Atelektasis adalah kolaps total atau sebagian dari seluruh paru-paru atau area (lobus) paru-paru. Itu terjadi ketika kantung udara kecil (alveoli) di dalam paru-paru menjadi kempis atau mungkin terisi cairan alveolar. Ini mengakibatkan kegagalan paru-paru untuk mengembang (mengembang) sepenuhnya. Kadang-kadang disebut sebagai paru-paru kolaps. Area atelektasis yang luas dapat mengancam nyawa. Paru-paru yang kolaps biasanya mengembang kembali secara perlahan jika sumbatan jalan napas telah dihilangkan. Tapi bekas luka atau kerusakan mungkin tetap ada.
Dokter menyarankan agar Adek menjalani kemoterapi. Adek langsung menolaknya. Dan pada saat itulah Adek menelepon saya untuk meminta bantuan.
Saya kemudian memberinya ramuan berikut:
• A, C & D, M.
• Teh herbal – Lung 1 + PLM dan Lung 2 + SAP.
Selain minum herbal, Adek disuruh menjaga pola makannya. Tanpa gula, tanpa produk susu, tanpa gorengan, tanpa daging (atau apapun yang berjalan!).
Dia mengikuti saran saya dan menolak perawatan medis lebih lanjut. Dokternya tidak marah ketika Adek menolak menjalani kemoterapi atau radioterapi. Dia memberi tahu dokter bahwa dia meminum ramuan herbal kami.

(Anda terlihat sehat dan cantik! Terima kasih atas memberi izin untuk menggunakan foto Anda tanpa harus menutup wajah Anda!)
Apakah herbal membantunya? YA, sangat dan Adek senang.
1. Dia merasa jauh lebih sehat daripada sebelum dia menderita kanker.
2. Karena perubahan pola makan, berat badannya turun banyak – dari 76 kg menjadi 60 kg. Saya mengatakan kepadanya bahwa dia terlihat jauh lebih cantik sekarang!
3. Sejak mengkonsumsi herbal, dia tidak mengalami masalah apapun – tidak ada lagi batuk, tidak ada lagi dahak dan tidak ada lagi kesulitan bernafas.
4. Dia bisa hidup normal tanpa rasa sakit, nafsu makan baik, tidur nyenyak dan bisa jalan-jalan mengunjungi anggota keluarga.
Selama pemeriksaan rutin dengan dokternya, Adek diberi resep obat-obatan berikut.
• Wincardia – obat untuk pencegahan serangan jantung yang ia tidak diminumnya.
• Pil kolesterol yang juga ia tidak diminumnya.
• Mecovit – vitamin B12, dimaksudkan untuk kekurangan vitamin B12 pada penderita anemia dan nyeri saraf di tangan.
• Hovasc – pengobatan untuk mengobati tekanan darah tinggi dan penyakit kardiovaskular.
Komentar
1. Kanker kulit jarang terjadi di Malaysia. Kanker kulit seperti karsinoma sel basal, karsinoma sel skuamosa, dan melanoma jarang terjadi di bagian dunia ini meskipun merupakan jenis kanker yang paling umum di dunia Barat.
Ternyata karsinoma sel skuamosa yang dialami Adek adalah kasus pertama yang saya temui. Selama 27 tahun saya membantu pasien kanker, saya hanya menemui 3 pasien melanoma. Meskipun pengalaman saya terbatas, saya belajar dari pengalaman saya bahwa terapi herbal efektif dan membantu pasien kanker kulit.
Dari literatur medis kita tahu bahwa karsinoma sel skuamosa (SCC) dan karsinoma sel basal (BCC) tidak berbahaya seperti melanoma. Ketika pembedahan mengangkat angka kesembuhan untuk SCC dan BCC adalah sekitar 95%.
Namun, kekambuhan SCC agak umum, dengan tingkat kekambuhan kumulatif sekitar 29% dalam 1 tahun pengobatan.
Dilaporkan juga bahwa sekitar 2% SCC pada akhirnya akan menyebar ke bagian tubuh lain, seperti paru-paru (21%), tulang (18%), sistem saraf pusat (6%) dan hati (4%). Metastasis jauh tentu saja berhubungan dengan prognosis yang buruk.
2. Hidup untuk melawan kanker Anda? Adek kini berusia 76 tahun. Dia menjalani operasi 2 jam yang membantunya. Prosedurnya tidak membawa banyak risiko. Bagi saya, dia melakukan hal yang benar dengan menyetujui operasi pengangkatan benjolan kanker di alisnya.
Sayangnya setahun kemudian, CT scan menunjukkan kanker telah menyebar ke paru-parunya. Ini biasanya terjadi pada sebagian besar pasien. Satu-satunya pilihan yang dapat ditawarkan dokter adalah radioterapi dan/atau kemoterapi. Dengan kata yang lebih kasar – ini untuk menyatakan perang terhadap kankernya. Lawan sel kanker sampai habis dengan obat-obatan beracun dan radiasi. Adek menolak modalitas ini yang menurut saya banyak orang anggap sebagai keputusan bodoh – karena tidak melawan dan membunuh sel kanker.
Saya mengajukan pertanyaan ini kepada Adek.
• Apakah Anda bersedia menjalani radioterapi yang diarahkan ke alis Anda? Dugaan saya adalah Anda bisa atau mungkin menjadi buta karena radiasi. Apakah siap menerima hasil itu? Jawabannya adalah TIDAK.
Saya telah melihat pasien yang menjalani operasi untuk kanker otak mereka. Ini diikuti oleh radioterapi. Mereka akhirnya buta total setelah perawatan.
• Adek telah melihat apa yang dilakukan kemo pada pasien kanker. Tidak, dia tidak mau menerima efek sampingnya. Di usianya yang ke-76, apa yang akan dilakukan kemoterapi terhadap kualitas hidupnya? Sulit ditebak, tetapi pasti tidak akan seperti jalan-jalan yang menyenangkan di taman. Ambil jeda dan renungkan kutipan berikut:

- Seseorang yang menjalani cukup kemo untuk membunuh semua sel kanker di dalam tubuhnya akan mati karena toksisitas kemo sebelum sel kanker dihancurkan.
- Kemo tidak menghentikan penyebaran kanker. Kemo hanya bisa memperlambat dan mengecilkan tumor kanker.
- Sementara itu menghancurkan sistem kekebalan pasien, membuat masalah kanker menjadi lebih buruk … Sistem kekebalan yang lemah memungkinkan kanker untuk tumbuh.

- Percaya atau tidak kebanyakan orang Amerika saat ini percaya bahwa kemoterapi itu aman… bersama dengan radiasi, adalah satu-satunya pengobatan kanker yang terbukti.
- Jangan tertipu, radiasi kemoterapi dan pembedahan tidak dapat menyembuhkan Anda – meskipun pembedahan terkadang mutlak diperlukan.
3. Belajar untuk hidup dengan kanker Anda! Anda suka perang? Di bagian dunia ini, kami orang Asia tidak suka perang. Lihatlah apa yang terjadi pada Vietnam, Irak, dan sekarang Ukraina. Orang-orang biasa sangat menderita dan Anda melihat kehancuran di mana-mana! Satu-satunya orang yang senang adalah pabrik senjata!
Sejak 27 tahun terakhir, di CA Care, kami mengajari pasien kami untuk belajar bagaimana hidup dengan kanker mereka. Janganlah kita melawan tetapi marilah kita mengambil pendekatan holistik untuk menyembuhkan kanker kita. Inilah yang kami lakukan dalam kasus Adek.
1. Mari kita hadapi kenyataan bahwa kita semua harus mati suatu hari nanti. Jadi kematian bukanlah sesuatu yang harus kita takuti. Namun yang terpenting adalah saat kita masih hidup, marilah kita hidup bahagia bebas dari penderitaan. Jangan menderita karena pengobatan dan kemudian mati! Itu tidak ada artinya.
2. Ketahui perasaan batin Anda. Jika Anda ingin mengikuti “jalan alternatif” penyembuhan, Anda harus percaya pada apa yang akan Anda lakukan dan berkomitmen penuh pada jalan itu. Tidak ada setengah-setengah di sini.
3. Jaga pola makan Anda. Makan sehat dan benar.
4. Jalani hidup bebas stres. Ubah sikap mental dan gaya hidup lama Anda.
5. Carilah bantuan Spiritualitas. Berdoa.
6. Minum teh herbal untuk membantu tubuh memulihkan keharmonisan di dalam dan menyembuhkan dirinya sendiri.
Sudah lebih dari setahun sekarang dan Adek baik-baik saja. Setiap hari dia bisa bergerak atau bepergian tanpa masalah. Tidak ada rasa sakit. Dia tidak terengah-engah. Dia makan dan tidur dengan baik. Dia tidak menderita efek samping apapun dari mengkonsumsi herbal setiap hari. Jadi bagi Adek, hidup itu baik.
Apa lagi yang kamu mau?
Izinkan saya mengakhiri dengan membagikan satu kasus melanoma (yang lebih serius) yang saya temui bertahun-tahun yang lalu.
Guat adalah seorang wanita berusia 53 tahun. Pada Oktober 2007, dia didiagnosis menderita kanker kulit yang telah menyebar ke paru-parunya. Dokter memberi tahu Guat bahwa ini adalah penyakit serius dan dalam pengalamanya selama 15 tahun, ini adalah satu-satunya kasus yang dia temui.
Guat memiliki perasaan yang membara di dadanya hampir setiap hari. Dia sakit kepala dan tidak bisa tidur. Dia merasa sesak napas saat berjalan.
Dokter menyarankan agar Guat segera memulai pengobatan dengan radiasi. Tanpa radioterapi, kanker bisa menyebar ke otaknya. Guat menolak radioterapi dan datang untuk mencari bantuan kami pada tanggal 2 November 2007. Dia memulai terapi kami.
Catatan: Menurut literatur medis, kelangsungan hidup 5 tahun untuk kanker jenis ini adalah 2% sampai 3%. Dengan metastasis paru, kelangsungan hidup medial adalah 11 bulan.
Setelah Satu Tahun Mengikuti Terapi Kami
Chris: Sudah lebih dari setahun sejak Anda pertama kali datang.
Guat: Sekarang sekitar satu tahun. Selalu ada ketakutan ini. Apakah saya perlu pergi dan melakukan pemindaian?
C: Tidak, tidak perlu. Apa intinya? Jika tumornya lebih kecil, Anda masih perlu terus mengonsumsi herbal. Jika lebih besar, apa yang ingin Anda lakukan? Masih terus minum herbal juga. Yang penting adalah ini. Bagaimana perasaan Anda sekarang dibandingkan dengan satu tahun yang lalu ketika Anda datang menemui saya?
G: Lebih baik.
Lima Tahun Kemudian: 9 Agustus 2013
Guat: Lebih dari 5 tahun sekarang. Saya baik-baik saja. Teman-teman saya bertanya mengapa saya belum mati!
Sepuluh Tahun Kemudian: Desember 2017
Seorang pria masuk ke pusat kami suatu pagi di bulan Desember 2017. Saya tidak dapat mengenalinya. Dia mengingatkan saya bahwa dia adalah suami Guat. Dia memberi tahu saya bahwa Guat baik-baik saja. Terakhir kali saya bertemu Guat adalah 4 tahun yang lalu – pada Agustus 2013. Setelah itu Guat keluar dari radar kami, tidak sampai pagi ini suaminya tiba-tiba muncul!
Chris: Sudah berapa tahun?
Suami: Sejak, 2007. Sudah 10 tahun.
C: Aiyo, kamu sangat beruntung – sangat beruntung, ha, ha.
Harry (bukan nama sebenarnya) merasa sesak napas sekitar Mei 2021. Pemeriksaan dokter di rumah sakit swasta menunjukkan tiga pembuluh darah jantung tersumbat. Pada Juni 2021, Harry menjalani angioplasti koroner – yaitu prosedur menggunakan kateter balon kecil yang dimasukkan ke dalam pembuluh darah yang tersumbat untuk membantu melebarkannya dan meningkatkan aliran darah ke jantung.
Selama di rumah sakit Harry juga mengalami perubahan kebiasaan buang air besar dan pendarahan dubur. Kolonoskopi dilakukan dan menunjukkan tumor kolon transversal (fleksi hati) dan wasir).
Harry menjalani hemikolektomi kanan dan omentektomi pada 28 Juni 2022.

Laporan histologi mengkonfirmasi:
• Adenokarsinoma lendir usus besar dengan adenoma tubulo-vili di tepinya.
• Invasi lemak mesokolik, tumor pT3.
• Tiga kelenjar getah bening dari 8 terlibat oleh tumor metastatik, pN1.
• Satu fokus mikroskopis adenoma bergerigi ditemukan di ujung apendiks.
Kesimpulan: Kombinasi adenokarsinoma lendir, tumor di usus besar kanan dan adanya adenoma bergerigi di usus buntu jarang terjadi.
Tahap 3B – T3N1M0
Harry disarankan menjalani kemoterapi di rumah sakit yang sama tempat dia menjalani operasi. Namun, dia tidak senang dengan apa yang telah terjadi di rumah sakit itu dan memutuskan untuk istirahat dan menanyakan berbagai pendapat. Dua bulan kemudian, dia memutuskan untuk menjalani kemoterapi di rumah sakit lain.
Sebelum memulai kemoterapi, pemindaian PET dilakukan. Laporan pemindaian PET tanggal 9 September 2021 menunjukkan:
• Akumulasi pelacak fokus terlihat di anterior bagian ketiga duodenum (0,8 x 1,0 x 0,9 cm). Kelenjar getah bening avid FDG ini kemungkinan mewakili metastasis.
• Ground glass opacity terlihat di lobus kiri bawah paru.
• Tidak ada bukti metastasis ke otak, kelenjar getah bening, leher, toraks, mediastinum, panggul, tiroid, paru, lambung, hati, pankreas, limpa, adrenal, dan tulang.
Harry menjalani 8 siklus kemoterapi.
Dia tidak menderita efek samping yang parah kecuali sedikit mati rasa di tangannya.
Perawatan kemo selesai pada April 2020. Pemindaian PET yang dilakukan pada 7 April 2022 menunjukkan:
• Dibandingkan dengan pemindaian yang dilakukan pada 9 September 2021, pemindaian saat ini menunjukkan respons metabolik yang lengkap terhadap pengobatan. Masalah terpecahkan!
• Patchy ground glass opacity yang terlihat pada lobus kiri bawah paru tampak tidak berubah.
• Tidak ada bukti lesi avid FDG terlihat di bagian lain dari tubuh.
Enam bulan kemudian, Harry melakukan pemindaian PET lagi. Laporan PET scan tanggal 13 Oktober 2022 menunjukkan:
• Patchy ground glass/consolidative opacity terlihat di lobus kiri bawah paru membesar.
• Opasitas nodular tambal sulam baru terlihat di segmen anterior lobus kanan atas.
Harry disarankan menjalani 8 siklus kemoterapi lagi menggunakan rejimen – TS 1, Irinotel + Avastin. Perkiraan biaya kemoterapi putaran kedua ini sekitar RM 66.000 seperti yang diuraikan di bawah ini (catatan diberikan oleh rumah sakit

Harry menolak untuk menjalani kemoterapi lebih lanjut.

Chris: Mengapa Anda tidak ingin menjalani kemoterapi lagi?
Harry: Saya telah melakukan itu sebelumnya dan tidak berhasil!
C: Ketika Anda melakukan putaran pertama dari 8 siklus kemo, pernahkah Anda bertanya kepada dokter apakah pengobatan tersebut akan menyembuhkan Anda?
H: Tidak. Saya tidak tahu apa-apa. Saya hanya mengikuti apa yang disuruh.
C: Secara keseluruhan, termasuk operasi jantung Anda, berapa banyak yang telah Anda habiskan?
H: Kira-kira sekitar RM200,000.
Komentar
Satu pelajaran besar yang dapat kita pelajari dari kasus ini adalah bahwa operasi dan kemo tidak menyembuhkan kanker usus besar Tahap 3B yang diderita Harry.
Setelah kemoterapi selesai, Harry menjalani pemindaian PET yang menunjukkan semuanya jelas – tidak ada lagi kanker! Jadi pengobatannya efektif. Tapi itu hanya ……… (masukkan kata apa pun yang Anda suka)!
Sekitar 6 bulan kemudian, pemindaian PET lainnya menunjukkan bahwa kanker telah kambuh. Harry diminta untuk melakukan lebih banyak kemo.
Ajukan pertanyaan-pertanyaan ini:
1. Apa gunanya melakukan PET scan jika hasilnya sangat singkat. Sebuah “sukses” telah berubah menjadi “kekecewaan” dalam waktu 6 bulan.
2. Harry diminta untuk menjalani 8 siklus kemo lagi yang akan menelan biaya setidaknya RM66.000 lagi. Apakah itu akan menjadi investasi yang bagus untuknya?
Bagian 1: Bencana – dua puluh bulan setelah operasi.
Bagian 2: Kemoterapi menyelamatkannya.
Bagian 3: Setelah kemoterapi dia memilih Terapi CA Care.
Karena metastasis seperti yang ditunjukkan pada pemindaian PET yang dilakukan pada 10 Desember 2021, Lucy tidak punya pilihan selain melanjutkan kemoterapi. Memang kanker telah menyebar luas.

Lucy menulis:
1. Pada 11 Desember 2021, saya menerima kemoterapi siklus pertama. Regimen yang digunakan adalah: Daxotel (taxotere), Endoxan (cyclophosphamide) dan Herceptin.
2. Dokter naturopath saya menyarankan bahwa diet saya perlu memasukkan ikan, daging, melon, sayuran, garam laut, gula merah, minyak yang baik!
3. Pada tanggal 31 Desember 2021, saya menjalani kemoterapi siklus ke-2.
4. Pada 21 Januari 2022, saya menjalani kemoterapi siklus ke-3.
5. Pada 11 Februari 2022, saya menjalani kemoterapi siklus ke-4.
6. Pada tanggal 4 Maret 2022, saya menjalani kemoterapi siklus ke-5. Saya menderita retensi air.
7. Pada tanggal 25 Maret 2022, saya menjalani kemoterapi siklus terakhir atau ke-6. Retensi air lebih parah.
8. Pemindaian PET pada 14 April 2022 memang menunjukkan respon yang baik.

Sebelum kemo ———– setelah 6 siklus kemo
Kesimpulan:
1. Temuan scan menunjukkan respon metabolik lengkap pada kekambuhan dinding dada, metastasis nodal dan penyebaran jauh.
2. Perubahan atelektasis baru pada dasar paru kiri dengan efusi pleura kiri ringan mungkin disebabkan oleh infeksi baru-baru ini.
Komentar.
1. Hasil kemoterapi yang luar biasa.
Bandingkan ketiga gambar ini :

Kiri: Setelah operasi Lucy menjalani terapi alternatif, menolak kemoterapi. Hasilnya adalah metastasis luas (tengah).
Kanan: Lucy tidak punya pilihan selain menjalani kemoterapi. Hasil dari 6 siklus kemoterapi sungguh luar biasa! Selama lebih dari 25 tahun saya berurusan dengan pasien kanker, saya belum pernah melihat hasil kemoterapi yang luar biasa seperti ini. Salut dengan ahli onkologi! Anda menyelamatkan Lucy!
Faktanya, hasil chemo ini sangat sulit dipercaya sehingga orang tergoda untuk bertanya apakah itu asli dan bukan palsu? Jawaban saya TIDAK, studi detail hasil PET scan di bawah ini adalah nyata! Kaji gambar berikut dengan cermat – sebelum dan sesudah kemoterapi.



]



Satu pelajaran yang saya pelajari dari kasus ini adalah bahwa sementara kemoterapi telah mendapatkan reputasi buruk, ada kalanya kemoterapi memang membantu dan dapat menyelamatkan hidup Anda. Jadi mari kita berpikiran terbuka. Tidak ada satu aturan yang benar untuk mengobati kanker.
2. Apakah Lucy sembuh dari kankernya? Meskipun pemindaian PET menunjukkan respons lengkap terhadap pengobatan, apakah itu berarti Lucy sembuh? Sayangnya, jawabannya TIDAK. Kanker dapat kembali setelah jangka waktu tertentu.
Di bawah ini adalah hasil tes darah selama periode waktu tertentu. Ini memang paling membingungkan. Bahkan ketika dia didiagnosis menderita kanker payudara, CEA dan CA15.3-nya (ini adalah penanda tumor normal untuk kanker payudara) masih tetap dalam kisaran normal.
Ketika Lucy menderita metastasis luas, pembacaan CA15.3-nya juga normal sementara CEA naik menjadi 8,3 (nilai normalnya adalah 5,0).
Setelah 6 siklus kemoterapi, CEA-nya turun menjadi kurang dari 0,5 dan CA15,3 turun menjadi 10,8.
Namun 3 bulan kemudian, pada Juli 2022, CEA meningkat menjadi 2,5, sementara CA15,3 turun lebih jauh menjadi 9,2.
Memang bacaan seperti ini membingungkan.

3. Nancy masih perlu perawatan lagi. Karena tidak ada yang bisa memprediksi apakah kanker bisa kambuh atau tidak, sebagai tindakan pencegahan, ahli onkologi mengatakan Lucy harus menjalani pengobatan dengan Herceptin seumur hidup! Perawatan ini akan menghabiskan banyak uang!
Nancy berkata, Karena saya telah menggunakan semua asuransi kesehatan saya, saya menolak perawatan lebih lanjut darinya.
Ahli onkologi (dari rumah sakit swasta) kemudian merujuk Nancy ke rumah sakit kanker pemerintah untuk perawatan lebih lanjut karena kendala keuangan ini.
Nancy menulis:
1. Pada 19 April 2022, saya mulai menggunakan obat oral Letrozole. Ini diresepkan oleh ahli onkologi dari rumah sakit pemerintah.
2. Pada 9 Mei 2022, dokter di rumah sakit pemerintah mengatakan penggunaan Herceptin adalah opsional. Jika saya ingin menggunakannya saya harus membeli dari apotek. Harganya RM1.500 per dosis.
3. Pada 2 Juni 2022, saya mulai menggunakan Zometa untuk metastasis tulang. Biayanya RM200 per dosis setiap 3 bulan.
4. Pada tanggal 25 Agustus 2022, saya mendapat dosis kedua Zometa. Janji temu saya berikutnya adalah pada November 2022.
Mendokumentasikan Pengalaman Kemo 21-Harinya
Pada 25 Maret 2022, saya menerima email ini.
Dokter, saya butuh bantuan Anda. Putra saya yang berusia 15 tahun menderita limfoma, stadium 4. Didiagnosis tahun lalu Oktober (2021). Saya TIDAK mengirimnya untuk kemo atau radioterapi di rumah sakit. Tidak sama sekali.
Saat ini ia sedang mengonsumsi beberapa produk anti kanker. Awalnya berhasil. Namun dalam dua bulan terakhir, kondisi putra saya semakin memburuk.
• Wajahnya bengkak, mulai 3 bulan yang lalu.
• Ada banyak tumor di dalam mulut.
• Gusi bengkak dan nyeri.
• Giginya goyang, dan dia tidak bisa menggigit makanan.
• Dia hanya bisa menelan makanan cair selama dua bulan.
• Beberapa hari ini mata kanannya mulai membengkak.
• Telinganya tidak bisa mendengar dengan jelas.
Saya dari Pulau Pinang. Anak saya sekarang di rumah. Tolong beri tahu saya, apa yang harus saya lakukan untuk membantunya.
Saya memberitahu ibu pasien bahwa pilihan terbaik untuk merawat pembengkakan adalah menjalani kemoterapi. Dia dengan tegas menolak kemoterapi.
Herbal kami tidak bisa menyembuhkan limfoma anaknya. Namun, karena dia masih ingin mencoba terapi kami, saya meresepkan herbal selama dua minggu dan kami akan memantau perkembangannya. Jika herbal tidak membantu putranya, maka dia harus berhenti minum herbal kami dan pergi ke ahli onkologi untuk meminta bantuan.
Pasien minum herbal kami selama sekitar 3 bulan. Masalah-masalahnya tidak hilang.
16 Juni 2022
19:20. Ibu (M): Dia ingin pergi ke Rumah Sakit. Sekarang di Rumah Sakit Umum
Chris: Oke, biarkan dia memutuskan. Dokter akan melakukan kemoterapi dan ukuran benjolan bisa mengecil.
20:23. G: Mudah-mudahan, terima kasih dokter.
17 Juni 2020
C: Apa yang dokter katakan atau lakukan?
13:23. M: Di rumah sakit, dirawat sejak kemarin. Dokter masih memeriksa, kemungkinan besar melakukan kemo, dosis tinggi.
18:46. M: Dokter bilang limfoma stadium 4. Menyebar ke otak, sinus dan paru-paru. Bagian tubuh lain tidak yakin, perlu pemeriksaan lebih lanjut.
C: Sudah lama pergi ke paru-paru. Otak? Sesuatu yang baru. Biasanya ia akan mengalami sakit kepala bahkan muntah di pagi hari jika terkena kanker otak.
21:36. M: Pernah muntah sekali, setiap hari sakit kepala. Kata dokter menyebar ke otak di belakang mata kanannya. Dia tidak bisa membuka matanya.
21:52. C: Mereka belum memulai kemoterapi?
21:56. M: Minggu ini mulai. Hari ini mulai pengobatan oral untuk kemo – Prednisolon.
18 Juni 2022 (Sabtu)
C: Obat itu adalah steroid — mencoba mengurangi pembengkakan
11:29. M: Tadi malam hanya dokter yang memberi tahu saya bahwa anak saya akan menjalani kemoterapi besok. Dosis kedua akan diberi seminggu kemudian. Mereka mengatakan lebih baik tinggal di rumah sakit sampai dosis ke-2. Setelah itu dia akan menjalani kemo setiap 3 kali suntikan mingguan.
C: Di bangsal ada banyak orang yang menginap?
11:30 PAGI. M: Ya, penuh pasien kemo, semua anak-anak. Ini adalah bangsal kanker anak-anak.
19 Juni 2022 (Minggu)
C: Bagaimana kemoterapinya? Bisakah dia menerimanya? Berapa lama waktu yang dibutuhkan untuk menyelesaikan kemo? Anda tahu kombinasi obat apa?
15:16. M: Viscristine 20ML /30 menit.
Mesna 100mg
Siklofosfermida 100ML/1 jam
Dia merasa mati rasa – tangan dan kaki kiri. Sakit dada.
Mendapat suntikan kemo lagi di sisi punggungnya.
16:32: Sekarang sedang menetes. Natrium klorida selama 24 jam.
20 Juni 2022 (Senin)
11:19. M: Dokter, kemo pertama biasanya ok. Kata temanku biasanya setelah kemo ke-2 banyak efek sampingnya. Apa yang harus saya lakukan?
Dokter datang untuk menjelaskan perlunya mengambil darah sumsum tulang untuk diperiksa apakah otak terkena kanker atau tidak dan mengatakankan suntikan kemo di belakang untuk melindungi otak.
C: Baik jika mereka mengizinkan Anda untuk tinggal di rumah sakit. Dalam keadaan darurat, mereka tahu apa yang harus dilakukan. Apakah kondisi di rumah sakit baik-baik saja?
11:55. M: Ya, rumah sakit ok.
21 Juni 2022 (Selasa)
C: Bagaimana dia hari ini? Apakah Anda melihat apakah benjolan itu mengecil?
15:12. G: Puasa pagi ini. Dokter menyuntikkan kemo ke tulang punggungnya. Sekarang tidak enak badan.
C: Anda tahu obat apa yang mereka gunakan?
15:49. M: MTX (Metotreksat).
C: Apakah Anda melihat apakah pembengkakannya lebih kecil atau tidak?
15:51: M: Agak kecil.
22 Juni 2022 (Rabu)
C: Apakah dia baik-baik saja? Ada rasa sakit di mana saja? Kemo membantunya atau tidak?
19:08. M: Pinggangnya sakit, karena disuntik kemo dari tulang punggungnya. Wajahnya yang bengkak – ukurannya lebih kecil.
C: Bagaimana dengan bagian dalam mulutnya?
19:19. M: Lebih kecil sedikit.
C: Bisa melihat lebih baik, bisa mendengar dengan jelas?
19:22. M: Tidak bisa melihat lebih baik, tidak bisa mendengar dengan jelas.
23 Juni 2022 (Kamis)
C: Bagaimana dia hari ini?
16:33. M: Injeksi IT lainnya.
Wajah bengkak berkurang banyak.
Dia nak muntah.
Pemandangan mata masih kurang ok.
Dokter mengatakan minggu depan akan memberikan dosis kemo yang lebih tinggi.
Akan menderita.
24 Juni 2022 (Jumat)
14:56. M: Dr menyebutkan nanti melakukan imunoterapi – Rituximab. Obat untuk meningkatkan kekebalannya sendiri untuk melawan sel kankernya.
C: Hari ini bagaimana dengan benjolannya — lebih kecil? bagaimana dengan bagian dalam mulutnya?
5:30 sore. M: Kecil sedikit, di dalam mulut juga lebih kecil.
20:43. M: Kemo sudah 5 jam.
21:11. M: Kata dokter GH setelah satu bulan, mau dioperasi untuk pasang kemo pot. Saat ini tidak bisa dioperasi karena hidung anak saya tersumbat, tidak bisa bernafas.
C: Port kemo memudahkannya, tapi bahayanya adalah INFEKSI.
21:13. G: Ya, banyak yang terinfeksi. Ya, kata dokter banyak yang meninggal karena infeksi dan demam.
GH bilang anakku harus tinggal sampai 4 Juli 22. 10 hari lagi.
Hari ini dia merasa sangat lemah
26 Juni 2022 (Minggu)
12: PM. M: Suntikan IT ke punggungnya. Besok jam 2 pagi mulai puasa. 4 sore kemoterapi ke-2
Kemarin dia muntah, sakit perut, tidak bisa makan banyak
19:39. M: 2 hari terakhir sudah sakit perut.
Anak teman istri saya….kena masalah kulit. Sekarang dokter juga memberikan MTX
27 Juni 2022 (Senin)
13:03. M: Memperbaiki jalur PICC untuk kemoterapi sore ini.
C: Untuk kemo pertama juga seperti itu? PICC?
14:35. M: Kemo pertama tidak seperti ini.
Dr mengatakan minggu lalu mereka melakukan pemeriksaan dan menemukan kanker sudah menyebar ke otak, ginjal dan paru-paru (paru-paru terlihat 2 benjolan besar di dalam.).
C: Sekarang obat apa yang mereka berikan padanya?
17:10. M: Vinkristin -20ml.
Rituximab – 420ml.
Metotreksat – 500ml.
28 Juni 2022 (Selasa)
09:43. M: Tadi pagi dia diare 2 kali.
Lelah
Pembengkakan lebih kecil — di luar dan di dalam. Kedua sisi.
16:15. M: Kemo lagi Siklofosfamid – 100ml
Doksorubisin – 50ml.
17:01. M: Dokter mengatakan akan melakukannya pada hari Rabu dan Jumat. Minggu depan senin baru bisa pulang.
C: Sekarang mereka memberinya R-CHOP, kemo normal untuk limfoma. R-CHOP adalah singkatan dari R-rituximab. C-siklofosfamid. H – doxorubicin (hydroxydaunomycin) O – vincristine (oncovin).
8:00 malam. M: Diare, muntah.
C: Omong-omong, Senin minggu depan, dia sudah bisa pulang. Kita lihat apa yang terjadi dalam beberapa hari ke depan.
20:10. M: Terima kasih Dokter
29 Juni 2022 (Rabu)
13:12. M: Tadi pagi puasa, muncrat, diare takberhenti-henti (nonstop). Sekarang sangat lemah.
Dokter mengatakan akan melakukan tes darah apakah racun kemo terlalu tinggi di tubuhnya atau tidak.
asam urinnya.
14:57. M: Sekarang dia demam.
Baru selesai injeksi IV.
Kemo IV — Methotrexate + cytarabine + hydrocorp
15:30. Oke. Sudah tidak demam.
Perutnya sangat sakit.
20:28. Dokter mengatakan dia diare karena keracunan metotreksat.
Sekarang menyuntikkan obat untuk mengurangi toksisitas.
22:24. Sudah tidak lagi lao sai (mencret), Bubur nasi + air kurma merah benar-benar manjur. Dokter memberi obat juga membantu.
C: Apa yang Anda siapkan bubur nasi dan kurma merah — dibawa ke rumah sakit?
22:56. M: Bibi saya memasak.
C: Sangat bagus. Saya harap dia tidak terlalu menderita.
22:57. M: Oke, terima kasih banyak
Badan anak saya terasa agak panas.
Bagaimana cara mencegah muntah?
C: Aya. Demam agak sulit. Saya punya teh untuk Appetite & Fever … juga enak … tapi agak berantakan. Bagaimana cara minum di rumah sakit? Kalau di rumah oke.
30 Juni 2022 (Kamis)
16:41. M: Sekarang mulai kemoterapi Cyclophosphamide – 100ml selama 1 jam
Hari ini dia merasa baik-baik saja
Dokter mengatakan Senin ini akan melakukan CT scan untuk membandingkan dengan CT scan pertama. Ukuran tumor wajahnya berkurang 68,7%. Ukuran tumor paru-parunya lebih kecil dari hari itu. Tumor ginjal lebih kecil dari hari itu. Hasil tes darah – semuanya normal. Tapi masih perlu mengambil sumsum tulang untuk memeriksa kapan dia baik-baik saja
C: Sangat bagus. Kami menunggu dan melihat CT scan lagi.
17.25. M: Anak saya sakit tenggorokan, kemo malam ini ditunda.
20:57. Setelah kemoterapi dengan cyclophosphamide – 100ml selama 1 jam, diare nonstop lagi.
C: Ya, tidak baik. Minum air beras lagi!
1Juli 2022 (Jumat)
10:04. M: Sepanjang malam lao sai (diare) nonstop sampai sekarang
C: Semoga lao sai-nya membaik?
21:20. M: Tidak, sangat serius.
Hari ini seharian nonstop, dan sakit tenggorokan, maag
C: Apakah Anda memberinya air beras?
21:23. M: Memberi. Tidak bisa membantu.
2 Juli 2022 (Sabtu)
15:34. M: Hari ini setiap jam lao sai, sariawan
C: Dokter tidak bisa membantu? Apa yang mereka katakan?
18:30. M : Tunggu hasil fesesnya
C: Apakah lau sai meningkat dibandingkan kemarin?
18:30.M: Lebih serius.
C: Saya harap dia bisa mengatasi masalah ini.
23:44. M: Semoga.
3 Juli 2022 (Minggu)
12:04. M: Dokter memberinya morfin untuk mengurangi rasa sakitnya.
Dia demam.
Dokter memberi antibiotik.
Sel darah putihnya turun menjadi 0,5.
Dokter memberikan antibiotik yang lebih kuat.
12.20 Disuntikkan antibiotik terkuat.
Suntikkan obat anti muntah.
Suntikkan obat untuk meningkatkan sel darah putih.
12.45. Berikan oksigen.
12:52. Tekanan darah turun menjadi 77/42.
13:39. Pergi ke ICU, menunggu tempat tidur di ICU.
C: Apakah dia pergi ke ICU? Kondisinya semakin parah?
15:19. M: Ya.
Detak jantungnya terlalu tinggi.
Tekanan darah terlalu rendah.
Sel darah putih 0.
Tiap jam diare. Sebab itu dikirim ke ICU.
C: Oke, lebih baik di ICU. Jika Anda memiliki kesempatan untuk berbicara dengan perawat yang ramah, tanyakan apa yang mereka katakan tentang ini?
15:24. M: Mereka bilang jangan khawatir. Di ICU 1 perawat merawat 1 pasien.
21:27. Baru saja dokter menyuntikkan 3 dosis untuk meningkatkan detak jantungnya. Tekanan darahnya tiba-tiba turun setelah diare.
4 Juli 2022 (Senin)
11:25. M: Tadi malam dokter menelepon untuk mengatakan ini kritis. Detak jantungnya berhenti. Dokter melakukan CPR selama hampir 5 menit. Sekarang masih di ICU.
C: Apakah dia sembuh? Apakah dia sadar?
19:28. M: Tidak. Tidak sadar.
Butuh bantuan
Kondisinya sangat serius.
5 Juli 2022 (Selasa)
C: Apakah dia pulih dan sadar?
13:20. M: Tidak.
Diare berhenti.
Sekarang dia membutuhkan dukungan oksigen.
Membutuhkan dukungan obat jantung.
Membutuhkan dukungan darah.
C: Apa kata dokter/perawat? Anak Anda bisa sembuh atau tidak?
20:21. M: Jantungnya sudah melemah. Tidak ada tenaga atau tidak mampu berkontraksi dan mengembang penuh untuk memompa darah guna menopang tekanan darah. Saat ini menggunakan obat untuk memaksa jantung memompa pada frekuensi tinggi 167/menit,. Akan mencoba obat lain beberapa hari ini. Dokter menyebutkan satu-satunya kesempatan adalah mencoba.
6 Juli 2022 (Rabu)
Apakah dia membaik hari ini? Lebih baik dari kemarin?
13:03. M: Matanya menjadi kuning. Hatinya sudah bermasalah
Dokter mengatakan denyut nadinya berhenti beberapa hari yang lalu tentu saja hatinya tidak bisa berfungsi dengan baik.
C: Apakah mereka memberinya perawatan?
16:20. M: Belum.
Mereka menggunakan nutrisi menggunakan infus langsung ke darahnya.
Perut kosong.
Tidak sadar.
Tidak bisa menggerakkan tangan atau kakinya.
Tidak bisa membuka matanya sama sekali.
C: Saya minta maaf. Bagaimana dengan pembengkakan di wajahnya — apakah sudah mengecil?
16:37. M: Ya, lebih kecil.
7 Juli 2022 (Kamis)
C: Bagaimana dia hari ini? Ada perbaikan?
16:20. M: Masih butuh semua dukungan. Sedikit perbaikan.
8 Juli 2022 (Jumat)
14:12. M: Organ internalnya melemah.
Mendapat pendarahan.
Mereka menambahkan darah.
9 Juli 2022 (Sabtu)
14:44. M: Anak saya meninggal siang hari ini.
C: Saya amat menyesal dan sedih mengetahui berita ini.
Putranya meninggal setelah 4 siklus kemo untuk limfomanya
Ani (bukan nama sebenarnya) adalah seorang Indonesia berusia 79 tahun. Sekitar 4 tahun yang lalu dia merasakan benjolan di payudara kanannya dan tidak melakukan apa-apa. Ini tidak memberinya masalah.
Pada awal Maret 2021, Ani mendapatkan dosis pertama vaksin Sinovac. Tiba-tiba sekali sekala dia merasa sakit, tetapi dia tidak menganggapnya sebagai masalah serius.
Enam bulan kemudian dia mendapat dosis kedua vaksin Sinovac. Dia merasa sakit seperti dulu dan benjolan dipayudaranya tumbuh lebih besar dan menjadi lebih keras. Dia juga merasa sakit di bawah ketiak kanannya.
Meski mengalami kendala, Ani tetap bisa berolahraga secara rutin. Tapi dia merasa lebih sakit. Hal ini mendorongnya untuk pergi ke rumah sakit swasta di Surabaya untuk pemeriksaan. Laporan USG yang dilakukan pada tanggal 29 Maret 2022 menyatakan :
• Massa di payudara kanan, ukuran 7,2 x 6,8 x 4,6 cm.
• Sangat mencuriga tumor ganas.
• Payudara kiri dalam batas normal.
• Tidak ada limfadenopati spesifik di kedua aksila.
• Hati, paraaorta, dan kedua supraklavikula dalam batas normal.
Tidak puas Ani pergi ke rumah sakit swasta di Singapura untuk konsultasi lebih lanjut. Dokter sarankan Ani melakukan PET scan dan biopsi. Ani menolak.
Ani dan putrinya datang ke rumah sakit swasta di Penang pada 19 April 2022 (dan tinggal sampai 23 Mei 2022) dan memutus untuk berobat di sini.
Tes darah pada 20 April 2022:
CEA = 11,0 (tinggi)
CA 15,3 = 49 (tinggi)
Gambaran darah lengkap = Normal dengan jumlah trombosit = 362 (masih dalam kisaran).
Tes fungsi hati = Normal.
USG kedua payudara menunjukkan:
• Lesi hipoekoik lobulus payudara kanan. Fitur yang sugestif dari karsinoma yang mendasari.
• Kista dipayudara kiri.
• Kelenjar getah bening aksila kanan yang membesar dan berlobus, dicurigai adanya metastasis kelenjar getah bening.
Mammogram kedua payudara menunjukkan hasil yang sama seperti USG di atas.
Rontgen dada tidak menunjukkan lesi paru yang terlihat.
USG abdomen tidak menunjukkan lesi fokal hati, konfigurasi normal organ abdomen atas lainnya.
Biopsi benjolan payudara kanan mengkonfirmasi karsinoma duktal infiltrasi.
Ani menjalani mastektomi kanan dan tinggal di rumah sakit selama 3 hari.

Laporan laboratorium menunjukkan:
• Karsinoma invasif tanpa tipe khusus (NST).
• Tumor berukuran 4,8 cm dalam dimensi terbesar.
• Satu dari 17 kelenjar yang diperiksa menunjukkan deposit tumor.
• Setidaknya Tahap 2B, pT2 pN1a pMx.
• Tumor negatif untuk reseptor estrogen, positif untuk reseptor progestron dan negatif untuk c-erbB-2.
Total biaya perawatan medisnya di rumah sakit swasta terkenal ini mencapai sekitar RM20.000. Putrinya berkata bahwa mereka menyewa sebuah apartemen dan biayanya RM5.000 untuk seluruh masa mereka tinggal di Penang.
Setelah operasi, ahli bedah merujuk Ani ke ahli onkologi di rumah sakit yang sama. Ahli onkologi meminta Ani untuk melakukan hal berikut:
1. Pemindaian PET.
2. Biopsi dan aspirasi Sumsum Tulang.
3. Untuk mengambil obat oral.
4. Ahli onkologi tidak menyebutkan radioterapi.
Konsultasi dengan ahli onkologi biaya RM300. Ani tidak senang dengan ahli onkologi ini.
Ahli bedah kemudian merujuk Ani ke ahli onkologi lain di rumah sakit kanker lain. Ani berkonsultasi dengan ahli onkologi kedua ini dan diberitahu bahwa dia harus:
1. Menjalani radioterapi selama 5 minggu – mungkin 30 kali.
2. Minum obat oral.
Total biaya perawatan akan mencapai RM20.000 hingga RM30.000.
Ani menolak perawatan yang disarankan. Kemudian salah satu anaknya yang tinggal di Jakarta mengenal CA Care.
Saya kemudian menerima email dari putrinya di bawah ini:
Mr. Teo yang terhormat,
Nama saya X. Saya menulis atas nama ibu saya. Saya ingin membuat janji bertemu dengan Pak Teo. Ibu menderita kanker payudara dan kankernya sudah diangkat. Dia hanya mau pengobatan kanker menggunakan herbal. Kami mendapat rekomendasi dari teman-teman di Jakarta. Agar Pak Teo bisa melakukan terapi dengan menggunakan herbal.
Kami belum melakukan kemoterapi. Kami hanya pergi menemui dokter onkologi untuk mendengar apa yang mereka tawarkan. Tapi ibuku sepertinya percaya pada herbal dan dia ingin bertemu dengan Pak. Apakah mungkin Pak Teo bertemu dengan kami besok atau Jumat.

Saya mengobrol panjang dengan Ani dan putrinya. Ani adalah wanita 79 tahun yang sehat. Dia sedikit rasa sakit di lokasi operasi. Dia bisa tidur nyenyak dan nafsu makannya baik. Dia bisa berjalan dengan normal tetapi merasa lelah dan punggungnya sakit jika dia berjalan terlalu banyak.
Ada 3 pelajaran yang bisa kita petik dari kasus Ani.
1. Terdapat tumor berukuran 7,2 x 6,8 x 4,6 cm di payudaranya. Dia berkonsultasi dengan tiga dokter dan semuanya menunjukkan bahwa itu adalah kanker. Ani setuju untuk menjalani operasi pengangkatan seluruh payudara kanannya. Bravo – itu adalah hal yang benar untuk dilakukan. Sayangnya tidak semua wanita sebijak Ani. Beberapa wanita memilih untuk tidak melakukan apa pun dengan benjolan kanker sampai benjolan itu pecah! Kebanyakan dari mereka meninggal karena “kebodohan” seperti itu.
2. Setelah operasi payudaranya, Ani tegas tidak mau minum obat medis atau menjalani radioterapi atau kemoterapi. Saya ingin tahu mengapa dia begitu tegas dalam hal ini. Yah, kita bisa setuju bahwa itu mungkin karena usianya – 79 apa yang harus diperjuangkan lagi?
Apakah dia tahu sesuatu tentang kemo atau radioterapi? Ya! Putrinya berkata:
• Dia tahu karena abang saya telah menjalani kemoterapi untuk limfomanya di Singapura. Dia meninggal setelah siklus ke-4. Ibu saya melihat dengan mata kepala sendiri apa yang terjadi dan bagaimana penderitaan abang saya akibat pengobatan tersebut. Abang saya baru berusia 36 tahun saat itu. Ini memang trauma besar bagi ibu saya – melihat putranya meninggal. Peristiwa tragis ini terjadi pada tahun 2011.
3. Pertanyaan saya berikutnya – Saya sekarang menginjak masalah yang sangat sensitif!
Mari kita ingat kembali. Ani memiliki tumor di payudaranya dan dia tidak melakukan apa-apa. Selama 4 tahun dia hidup dengan itu dan itu tidak memberinya masalah. Kemudian pada Maret 2021 dia mendapatkan dosis vaksin Covid-19 pertamanya. Dia mulai merasakan sakit di lengannya dan masalah ini semakin parah setelah dosis kedua vaksin Covid-19 enam bulan kemudian. Kemudian menurut Ani, ia merasakan benjolan itu semakin membesar. Inilah sebabnya Ani pergi ke rumah sakit untuk meminta bantuan.
Sekarang Anda tahu apa yang terjadi. Sebuah pertanyaan logis untuk ditanyakan adalah: Mengapa? Saya tidak akan memberikan komentar atau pendapat pribadi saya. Saya pikir ada cukup komentar tentang ini di media medis alternatif di tempat lain.
Biarkan saya mereproduksi (di bawah) apa yang saya dapatkan dari internet yang dikeluarkan oleh media medis.
Apakah normal nyeri di ketiak atau payudara setelah vaksinCovid-19?

Limfadenopati aksila setelah vaksinasi Covid-19 pada wanita dengan kanker payudara

Limfadenopati setelah vaksin Covid-19 ketiga

Efek samping vaksin Covid-19 dapat disalahartikan sebagai kanker payudara pada mammogram

Sebuah rumah dijual untuk membayar biaya pengobatan. Harapan terakhir – CA Care!
Salam Sehat Dr. Chris,
Saya DT mau konsultasi mengenai mama saya, umur 71 tahun dari Indonesia. Awal riwayat mama saya:
1. Ditahun 2007 kena kanker getah bening. Biopsi dibuat dan hasilnya kanker. Katanya stadium 2. Rawatan di Hospital Nombor1 di Singapura oleh Dr.No1,ahli ongkologi yang terkenal.
Laporan medis semua di tempat dokter Singapura – kita tidak ada lagi. Sebelum kemo di pasang kayak selang di dalam tubuh,jadi setiap kali mau kemo langsung infus.
Mam di kemo hampir 10 kali. Nama obat kemo kita nga tau. Setelah kemo rambut rontok sama tidak ada selera makan.
2. Ditahun 2012 mama PET scan rutin di Singapura, dan hasil menyatakan mama kena kanker payudara Stadium 1.
Mama di radiasi 5 kali serta operasi nga ambil daging payudara. Rawatan di lakukan di hospital yang sama (Hospital Nomobor1).
3. Setelah itu mama minum obat kanker (tamoxifen) sekitar 5 tahun.
4. Setiap 3/6 bulan rutin cek di Singapura dan PET scan setiap tahun.
5.Di tahun 2020 mama saya PET scan di Singapura dan dokter menyatakan mama saya kena kanker getah bening lagi.
Kita ganti dokter di Singapura karena kami tidak mampu untuk menjalani kemo lagi dengan Dr.No.1.
6. Kami pergi berobat dengan Dr.No.2 di Hospital Nombor 2 di Singapura. Dr.No.2 juga menyarankan kita mesti kemolagi.
Setelah runding, Dr.No.2 anjurkan kita kemo dengan biaya bisa bayar angsur / cicil.
Dr.No.2 juga menyarankan mama saya menjalani kemo di Indonesia dengan protokol kemo berikut:
Mama menjalani kemo mengguna obat Gemcitabine dan Carboplatin mulai akhirJanuari 2021 hingga 4 April 2021.
Rawatan ini dijalani di klinik di Indonesia sesuai anjuran Dr.No.2. Total rawatan kemo 10 siklus.
7. Waktu menjalani kemo diatas kondisi mama jadi lemah dan sering perlu transfusi darah karena trombosit sering turun.
Belakangan ini kondisi mama merasa pusing dan jalan pas jalan merasa melayang akibat reaksi obat kemo.
8. Hasil PET scan pada 2 Sept 2021 yang dibuat di RS Siloam Jakarta.



9. Dr.No. 2 menyatakan kanker getah beningnya masih ada dan minta kita terus kemo lagi dengan ganti obat kemo lain.
Ini obat baru untuk spesial buat kanker getah bening kambuh. Dan harganya jauh lebih tinggi dari pada obat-obat yang di guna pada awalnya.
Dr.No. 2 saran mengguna Brentuximab 100 mg atau Adcetris. Harga untuk setiap siklus adalah 100 juta rupiah (RM30,000).
10. Mama menjalani rawatan lagi dengan Adcetris dari 19 September 2021 hingga 14 November 2021. Total rawatan sebanyak 4 kali. Seperti awalnya, rawatan ini dilakukan di Indonesia. ‘
11. Pada tanggal 15 Desember 2021 dokter minta kami CT scan lagi. Hasil perwatan tidak memuas kan. Masih ada nimbul kelenjar baru.

12. Sekarang kalo menjalani protocol baru ini kami merasa berat biayanya.
Kita merasa berat dengan biaya yang segede ini. Kami juga kurang mampu sampai kami sudah jual rumah untuk mengobati mama.
Demikian cerita penjelasan singkat riwayat kesehatan mama saya. Dan jikalau mama saya ingin menjalani herbal dari Dr. Chris, menurut Bapak harus gimanaya?
Best Regards / God Bless You All
Jawaban Kami
Tolong kamu baca berikut dahulu. Selepas itu tanya apakah mau buat sekarang? Bisakah patuhi saran kami atau tidak?
1. KANKER TIDAK BISA SEMBUH SECARA TOTAL
a) Sebagian besar pasien yang datang ke sini telah menjalani perawatan medis dan mereka masih belum bahagia. Bagi beberapa pasien, perawatan gagal – tidak menyembuhkanNya.
b) Jadi, jika Anda datang ke sini mengharapkan saya menyembuhkan Anda, ketahuilah bahwa saya juga tidak bisa menyembuhkan kanker Anda. Dari pengalaman saya, tidak seorang pun di bumi yang bisa menyembuhkan kanker –kanker bisa kambuh kembali.
c) Tetapi jika Anda ingin saya membantu Anda — untuk memberi Anda pilihan lain, untuk memiliki kualitas hidup yang lebih baik — mungkin itu bisa. Tapi itu semua tergantung pada Anda sendiri, karena kesehatan Anda adalah tanggung jawab Anda. Apakah Anda bersedia membantu diri Anda sendiri? Apakah Anda bersedia mengubah gaya hidup, pola makanan, dll?
2. HERBAL PAHIT DAN RASA TIDAK SEDAP, BAU TIDAK ENAK.
a) Selain rasa dan bau yang tidak enak, Anda perlu merebus ramuan obat beberapa kali sehari – itu banyak pekerjaan!
b) Anda perlu mengambil dua, tiga atau empat jenis teh herbal setiap hari.
3. ANDA HARUS PANTANG, TUKAR POLA MAKANAN
a) Anda tidak bias makan apa yang berjalan / ada kaki – artinya, tidak bisa makan daging, telur, susu, dll.
b) Jangan makan gula (gula adalah makanan untuk kanker).
c) Jangan makan minyak atau gorengan, garam meja.
4. CUBA DULU TERAPI KAMI UNTUK 2 sampai 4 MINGGU
a) Untuk satu atau dua minggu pertama setelah minum herbal, Anda mungkin merasa lebih sakit, lebih capek, dll. Ini mungkin karena krisis penyembuhan, jadi jangan berhenti minum herbal itu.
b) Setelah itu Anda mungkin merasa jauh lebih baik.
c) Jika kondisi Anda tidak membaik setelah 4 minggu, maka jangan mengikuti terapi kami lagi. Carilah orang lain untuk membantu Anda. Jika Anda merasa lebih baik, maka lanjutkan terapi ini.
Mama Saya Sanggup Ikuti Terapi Dr. Chris
Selamat Malam & Salam Sehat Dr.Chris,
Disini saya pertama mengucapkan ribuan terima kasih kepada Dr.Chris yang telah membalas email saya.
Kami sekeluarga setelah runding mau ikuti semuahal yg Dr.Chris sarankan sesuai email yg dikirim. Dan mama saya juga sudah siap mengikutinya sesuai langkah- langkah yg di email Dr.Chris.
Jadi kira-kira kapan mama saya bisa mengikuti terapi ini? Sekarang kondisi mama saya lagi kwatir kelenjar baru yang nimbul. Jadi pingin cepat menjalani terapi dari Dr.Chris.
Best Regards. GBU All.
Komentar
Setelah pasien diberitahu bahwa mereka menderita kanker, satu-satunya metode ilmiah dan terbukti untuk “menyembuhkan” atau “melawan” kanker adalah dengan menjalani operasi, kemoterapi dan/atau radioterapi. Akhir-akhir ini pasien disarankan menjalani terapi target, imunoterapi, dll.
Dalam studi kasus ini, wanita berusia 71 tahun ini mempercayai dokternya. Jadi dia pergi ke dokter terbaik di rumah sakit terbaik di Singapura. Dia menerima sekitar 24 siklus kemoterapi menggunakan obat yang terbukti secara ilmiah. Perawatannya gagal. Kanker itu tidak hilang. Lebih banyak tumor tumbuh.
Apa katamu sekarang?
Beberapa orang akan berkata:
Wah, jangan bias, ini adalah kegagalan yang luar biasa atau jarang terjadi. Ada banyak orang lain yang sembuh dengan pengobatan seperti itu. Dia hanya kurang beruntung.
Tidak perlu bagi saya untuk berdebat jika Anda telah mendarah daging dengan persepsi ini. Bagaimanapun, dalam hal ini – kegagalan adalah kegagalan. Dan studi kasus ini adalah kisah nyata, yang ditulis oleh putri pasien. Tidak ada alasan baginya untuk berbohong dengan menceritakan kisah ini
Dari cerita tersebut kita dapat belajar tiga hal:
1. Kemoterapi tidak menyembuhkan pasien.
2. Perawatan membuat hidup pasien lebih menderita – menderita efek samping dari kemoterapi itu.
3. Perawatan yang terbukti dan ilmiah ini menghabiskan banyak uang (tetapi tidak berhasil). Keluarga itu harus menjual rumahnya untuk membayar tagihan medis.
Apakah kesimpulan ini benar? Kamu putuskan.
Izinkan saya akhiri dengan menyajikan kepada Anda beberapa kutipan untuk direnungkan.
Tidak semua obat kemo efektif!

Perusahaan obat menjatuhkan bom.
Obat untuk kanker hanya efektif pada 25% pasien ~ Allen Rose, wakil presiden Glaxo-SmithKline.
Glaxo-SmithKline adalah salah satu perusahaan biofarma dunia. Ajukan pertanyaan ini: Apa yang membuat wakil presiden Glaxo-SmithKline membuat pernyataan yang merusak seperti itu?

Kontribusi keseluruhan kemoterapi sitotoksik untuk kelangsungan hidup 5 tahun pada orang dewasa diperkirakan 2,3% di Australia dan 2,1% di Amerika Serikat.
Manfaat kemoterapi telah dijual berlebihan

Dr Azra Raza adalah seorang ahli onkologi di Universitas Kolombia, AS. Suaminya juga seorang ahli onkologi. Dia meninggal setelah menerima perawatan untuk limfomanya. Dalam bukunya Dr. Azra Raza menulis:
Seberapa ilmiahkah kemoterapi? Bagaimana dengan efek sampingnya?
Dr. Warner adalah seorang ahli onkologi yang luar biasa. Baca apa yang dia tulis:

Kita memiliki industri multi-miliar dolar yang membunuh orang, kanan dan kiri, hanya untuk keuntungan finansial.
Ide penelitian adalah untuk melihat apakah dua dosis racun ini lebih baik daripada tiga dosis racun itu.

Baca apa yang ditulis oleh Dr. Cynthia Foster, seorang dokter medis dalam bukunya:

Biaya perawatan medis untuk kanker

Khawatir dengan tagihan rumah sakit?
Orang pepatah tua di Singapura: Anda bisa mati tetapi tidak boleh jatuh sakit karena ini akan membutuhkan biaya yang besar untuk sembuh

Mahalnya jatuh sakit di Malaysia
Mereka yang menderita kanker, berusia 40 hingga 50 tahun
Untuk wanita biayanya: RM85.000 hingga RM 224.082
Untuk pria: RM 73.569 hingga RM 346.000
Izinkan saya mengakhiri artikel ini dengan kutipan ini:

Tapi jauhi ahli onkologi yang terlalu ambisius, dan berhenti membuang miliaran untuk mencoba menyembuhkan kanker, yang berpotensi membuat kita mati dengan kematian yang jauh lebih mengerikan.
Dr. Richard Smith adalah editor British Medical Journal hingga 2004.
Suatu pagi di bulan November 2019.
Dua orang dari Indonesia datang mencari bantuan kami. Salah satunya dari Medan dan yang lain dari Jakarta. Keduanya menderita kanker usus besar. Mereka menjalani operasi diikuti dengan kemoterapi. Perawatan tidak menyembuhkan mereka. Mari kita periksa setiap kasus secara terperinci. Saya berharap kita dapat belajar sesuatu dari pengalaman mereka.
Kasus 1: SPW berusia 53 tahun. Dia dari Jakarta. Sekitar delapan bulan lalu, kotorannya berdarah semasa membuang air besar. Kolonoskopi menunjukkan tumor di usus besarnya.

CT scan yang dilakukan pada 20 Maret 2019 menunjukkan ada juga batu empedu, selain tumor di usus besar. SPW menjalani operasi untuk mengangkat massa di usus besar dan batu kandung empedu.
Laporan patologi mengonfirmasi kanker, adenokarsinoma, pT3NxMx.
Setelah operasi, SPW pulang ke rumah tanpa perawatan lebih lanjut.
Sekitar dua bulan kemudian (Juni 2019), pemindaian PET dilakukan. Hasilnya menunjukkan kanker telah kambuh di lokasi operasi sebelumnya. TIDAK ada penyebaran ke hati, paru-paru, kelenjar getah bening atau tulang.

SPW menjalani 6 siklus kemoterapi, di rumah sakit swasta di Jakarta. Kemo diberikan setiap dua minggu. Regimen yang digunakan adalah FOLFOX-4, terdiri dari Eloxatin (atau oxaliplatin) + 5-FU + Leucovorin (asid folinik).
Sekitar lima bulan kemudian, pada November 2019, PET lain dilakukan. Hasilnya mengecewakan.

1. Dokter mencurigai kanker telah menyebar ke hati.
2. Aktivitas metabolisme massa di usus besar yang awalnya sudahpun kurang intens tetapi kanker itu tidak hilang.
3. PET scan menunjukkan kelenjar getah bening reaktif.
Ahli onkologi meminta SPW untuk menjalani lebih banyak kemoterapi tetapi dia menolak perawatan lebih lanjut. Mengapa? SPW mengatakan dia menderita efek samping yang parah selama menjalani kemoterapi.
• Dia kehilangan 15 kg berat badan dalam beberapa bulan semasa perawatan.
• Dia mengalami depresi.
• Dia lemas.
• Dia kehilangan nafsu makan.
• Dia tidak bisa tidur di malam hari, dan harus minum obat tidur.
• Jari-jarinya kebas.
• Dia mengalami kesulitan berjalan.
Kondisi saat ini: Dia harus buang air kecil empat kali setiap malam.
Kasus 2: Wongso berusia 67 tahun dari Medan. Pada bulan Maret 2018 kotorannya berdarah semasa membuang air besar. Kolonoskopi dilakukan di rumah sakit di Medan. Ada massa di usus besarnya.

Wongso menjalani operasi untuk mengangkat tumor di usus besarnya pada April 2018. Laporan patologi mengkonfirmasi kanker – adenokarsinoma, pT4N1Mx.
Salah satu dari dua kelenjar getah bening dipengaruhi kanker. CT scan pada 9 Mei 2018, menunjukkan kanker telah menyebar ke hatinya.
Wongso menjalani kemoterapi di rumah sakit kanker pemerintah di Jakarta. Dia menerima 6 siklus kemoterapi. Regimen yang digunakan adalah FOLFOX-4, yang terdiri dari oksaliplatin, asid folinik dan 5-FU.
CT scan pada 5 September 2018 menunjukkan bahwa tumor di hatinya telah menyusut dari 2,49 cm menjadi 2,06 cm. Tapi itu tidak hilang.
Wongso diresepkan obat oral – Xeloda. Dia minum pil selama dua minggu diikuti dengan istirahat seminggu. Ini merupakan suatu siklus. Wongso mengambil total 12 siklus Xeloda. CEA-nya awalnya di 2,6 tetapi ini meningkat menjadi 79,8 pada November 2019.
CT scan pada 29 Oktober 2019 menunjukkan:
• Asites ringan di sekitar hati.
• Kista multipel di kedua lobus hati.
• Kompresi fraktur pada vertebra L4.

Walaupun perawatan medis nampaknya gagal, ahli onkologi masih bersikeras bahwa Wongso terus mengambil Xeloda.
Wongso masih menggunakan Xeloda ketika dia datang untuk mencari bantuan kami.
Keluhannya adalah: sakit perut, mungkin karena “angin”. BABnya 3 sampai 4 kali sehari. Dia harus buang air kecil 3 hingga 4 kali setiap malam.
Komentar
Resep pengobatan standar untuk kanker usus besar adalah: pembedahan, kemoterapi dan obat oral seperti Xeloda. Kadang-kadang pasien juga diminta untuk menjalani radioterapi sebelum operasi. Ini adalah untuk kasus di mana tumornya terlalu besar.
Jika Anda menderita kanker, Anda harus menjalani perawatan ini di mana pun Anda berada – di rumah sakit paling terkenal dan termahal atau di rumah sakit kanker biasa. Ya, Anda harus menjalani metode pengobatan yang dikatakan “sudah terbukti” ini.
Tetapi, pertanyaan yang perlu Anda tanyakan adalah: Apakah metode perawatan yang terbukti dan ilmiah ini cocok untuk Anda? Saya tidak bisa menjawab pertanyaan itu!
Tetapi jika Anda datang untuk bantuan kami setelah didiagnosis dengan kanker usus besar, satu-satunya saran saya adalah Anda harus menjalani operasi untuk mengangkat tumor itu, yaitu jika kanker belum menyebar secara luas di tempat lain. Jika ada metastasis luas, nilai operasi dipertanyakan. Jadi, sejauh itu saja yang akan saya lakukan.
Bahkan, setelah saya bertemu dengan dua pasien di atas, pada hari berikutnya, ada satu lagi orang dari Indonesia yang juga menderita kanker usus besar. Dia belum menjalani perawatan apa pun. Saran saya kepadanya adalah: Pergi dan angkat tumornya. Pergi ke dokter bedah X ini di Rumah Sakit Y di Kuala Lumpur. Dia adalah dokter yang baik. Saya pikir dia akan dapat membantu Anda.
Melihat ke belakang selama lebih dari dua puluh lebih tahun terakhir dalam usaha membantu pasien kanker usus besar, saya dapat mengingat banyak pengalaman yang amat menyedihkan. Pada tahun-tahun awal, saya memiliki beberapa pasien yang menjalani kemoterapi dengan 5-FU setelah operasi. Pada saat itu satu-satunya obat yang dianggap efektif adalah 5-FU. Satu pasien pergi ke Sydney (Australia) untuk mendapat perawatan 5-FUnya. Dia meninggal saat menjalani perawatan. Lalu ada kontraktor bangunan ini. Dia juga menderita kanker usus besar dan menjalani kemoterapi setelah operasi. Perawatan gagal. Sebelum dia meninggal, dia memberi tahu putrinya untuk tidak melupakan CA Care dan dia pesan putrinya untuk harus berusaha membantu CA Care kapan pun kita perlu melakukan pekerjaan renovasi. Selama bertahun-tahun, saya kehilangan banyak teman baik.
Sekarang, rejimen kemo untuk kanker usus besar telah “diperbarui.” Dalam kasus SPW dan Wongso, ahli onkologi merawat kanker usus besar mereka dengan menggunakan rejimen FOLFOX-4, yang terdiri dari kombinasi fluorouracil (5-FU), leucovorin, dan oxaliplatin.
Bahkan, selain FOLFOX, ada variasi lain seperti:
• FOLFIRI – terdiri dari asid folinik, 5-FU dan irinotecan.
• CAPOX – terdiri dari capecitabine atau Xeloda dan oxaliplatin.
• XELOX – terdiri dari Xeloda (nama dagang) dan oxaliplatin.
Jika Anda mempelajari di atas dengan hati-hati, ini hanyalah kombinasi yang berbeda dari lima obat yang sama berikut:
• 5-FU.
• Asid folinik atau Leucovorin.
• Oxaliplatin.
• Irinotecan.
• Capecitabine atau Xeloda.
Satu persoalan penting yang harus pasien tanya adalah: Dapatkah kemoterapi menyembuhkan kanker usus besar? Atau Bagaimana tingkat keberhasilan kemoterapi untuk kanker usus besar. Saya mencoba mencari jawaban dari internet dan inilah yang saya dapatkan.
• Kemoterapi digunakan setelah operasi pada banyak kanker usus besar yang merupakan stadium 2, 3, dan 4. Telah terbukti kemo bisa meningkatkan tingkat kelangsungan hidup. Ini bukan untuk kasus kanker stadium I, dan karena itu kemoterapi jarang digunakan dalam keadaan ini (kanker stadium 1). Sebagian besar kanker stadium I disembuhkan dengan operasi saja.
• Meskipun uji klinis telah menunjukkan bahwa kemoterapi meningkatkan ketahanan hidup untuk kanker usus besar stadium-3, manfaatnya tetap kontroversial untuk kanker stadium-2. Pasien kanker usus besar stadium-2 menerima kemoterapi tambahan meskipun manfaatnya tidak pasti.
• Pembedahan adalah modalitas kuratif primer pada 70-80% pasien kanker usus besar yang datang dengan penyakit non-metastasis (yang belum menyebar). Namun, rekurensi (kambuhan) sering terjadi dan terlihat pada hampir 30% kasus stadium 3 setelah 5 tahun.
• Hampir seperempat dari semua kasus kanker usus besar adalah stadium 3 saat didiagnosis.
• Kemoterapi tidak menyembuhkan kanker kolorektal metastatik (yang sudah menyebar), tetapi dapat memperbaiki gejala dan memperpanjang hidup.
• Setelah didiagnosis, 20% pasien kanker kolorektal yang baru didiagnosis adalah sudah metastasis (ia itu sudah stadium 4) yang tidak bisa disembuh dengan kemoterapi pada saat ini.
• Kelangsungan hidup relatif lima tahun keseluruhan dari pasien kanker kolorektal di AS adalah 64% dan di Inggris (England) 50,7%.
• Di bawah ini adalah tingkat kelangsungan hidup di Inggris, berdasarkan pada tahap penyakit saat didiagnosis.
| Stadium kanker semasa diagnosa | Peratusan hidup selama 5 tahun |
| Dukes A / Stadium 1 | 93,2 |
| Dukes B / Stadium 2 | 77,0 |
| Dukes C / Stadium 3 | 47,7 |
| Dukes D / Stadium 4 | 6,6 |
• Data di atas diperoleh dengan pasien di AS dan Inggris. Kita perlu mencatat bahwa tingkat kelangsungan hidup BUKAN berarti penyembuhan. Sayangnya banyak pasien diberitahu bahwa jika mereka dapat hidup lima tahun dan lebih, mereka dianggap “SEMBUH”. Sayangnya ini adalah saran yang salah.
• Perhatikan juga bahwa hasil di atas tidak berlaku untuk Anda. Anda dapat merespons secara berbeda dari orang-orang ini. Hasil di atas harus diperlakukan hanya sebagai indikator dari apa yang dapat terjadi pada Anda.
• Singkatnya, jika Anda didiagnosis menderita kanker stadium lanjut atau stadium 4, peluang Anda untuk bertahan hidup mungkin 10% hingga 15%, apa pun yang Anda lakukan. Di sisi lain, jika Anda memiliki kanker stadium 1, Anda tidak perlu menjalani kemoterapi sama sekali setelah operasi. Bahkan untuk kanker stadium 2, manfaat kemoterapi adalah amat diragukan.
• Secara keseluruhan, data itu memberi tahu bahwa untuk kanker usus besar, Anda memiliki peluang 50:50 dengan kemoterapi jika kanker Anda adalah pada stadium 3.
Kebanyakan pasien percaya bahwa pembedahan dan kemoterapi dapat menyembuhkan kanker mereka. Sayangnya hal ini sering tidak terjadi. Dalam kasus SPW dan Wongso, apakah mereka pernah dibertahu dengan sebenarnya tentang peluang mereka? Sayangnya, mereka harus belajar dengan cara yang sulit.
SH adalah warga negara Singapura berusia 62 tahun. Bertahun-tahun yang lalu, ayahnya menderita kanker paru-paru. Dia menjalani perawatan medis dan menurut istri SH, “hasilnya sangat cepat, dalam setahun dia meninggal. Dia menjalani kemoterapi.”
Maju cepat ke awal 2018. SH mengalami kesulitan BAB (buang air besar) yang menyebabkan rasa sakit di perut dan kehilangan nafsu makan. Masalahnya bertahan selama enam bulan.
Suatu waktu di bulan Juni 2018, SH pergi ke rumah sakit pemerintah dan melakukan kolonoskopi. Didapati beberapa polip. USG menunjukkan “gelembung udara” di usus. Tidak ada yang dilakukan dan SH diminta pulang. Tidak puas hati, SH pergi ke rumah sakit swasta “terkenal” (di Singapura). CT scan dilakukan, diikuti dengan biopsi.
SH diberitahu bahwa dia menderita kanker pankreas, Stadium 3. Kanker itu mungkin telah menyebar ke usus kecil.
Pada 1 Juli 2018, SH mengirimi saya email berikut:
Dr. Chris,
Saya SH dari Singapura. Saya ingin menanyakan bagaimana saya bisa datang berkonsultasi dengan Anda di Penang?
Saya telah melakukan CT scan dan ditemukan memiliki “perut / panggul: massa di leher pankreas, melanggar vena portal yang menyebabkan obstruksi portal dengan pembentukan kavermosum. Juga berbatasan dengan arteri hepatik dan SMA ”.
Bolehkah saya tahu cara membuat janji bertemu dengan Anda? Saya menantikan balasan Anda.
Balasan saya: Pergi dan temui dokter dulu dan cari tahu apa yang bisa mereka lakukan untuk Anda.
Dr. CHRIS yang terhormat,
Terima kasih atas saran Anda. Saya akan berdiskusi dengan dokter saya terlebih dahulu. Saya memahami bahwa ia akan sarankan kemo diikuti dengan operasi. Saya akan kembali kepada Anda setelah saya menjalani perawatan dan menilai kondisi kesehatan saya.
Dari 11 Juli 2018 hingga 9 Juli 2019, SH menjalani kemoterapi. Ini dilakukan di klinik “onkologis Singapura yang amat terkenal”.
Secara total, SH menerima 11 siklus kemoterapi menggunakan obat Gemcitabine + Abraxane. Ini adalah resep standar yang digunakan untuk mengobati kanker pankreas stadium lanjut.
Perawatan ini dihentikan setelah 11 siklus karena menurut SH, kemoterapi itu tidak efektif. Biaya total kemoterapi ini adalah kurang lebih SGD100.000.
Pada November 2018, SH menjalani perawatan dengan HIFU – ultrasound terfokus frekuensi tinggi.
Kemudian dari akhir Juli 2019 hingga akhir Agustus 2019, SH menjalani 28 siklus radioterapi. Perawatan ini menelan biaya SGD20.000.
Pada 19 Januari 2019, saya menerima email dari SH:
Yth. Dr. Chris Teo,
Saya SH dari Singapura. Saya menghubungi Anda pada Juli 2018. Anda meminta saya untuk menemui dokter ahli kanker terlebih dahulu. Saya melakukan itu. Saya ingin mengunjungi Anda untuk mencari pengobatan herbal alternatif. Saya telah menyelesaikan 13 siklus kemo untuk pengobatan kanker pankreas saya. Mohon saran bagaimana membuat janji bertemu dengan Anda?
Pada 4 November 2019, SH kembali menulis:
Chris Teo yang terhormat,
Bisakah saya datang menemui Anda di bulan November (tanggal untuk dikonfirmasikan)? Perawatan kemo saya tidak efektif untuk saya. Saya tidak akan menganggap Anda bertanggung jawab. Saya nekat mencari pengobatan alternatif. Bisakah Anda setuju untuk menemui saya? Terima kasih.
Ketika SH datang untuk meminta bantuan kami pada November 2019, dia mengatakan bahawa dia telah belajar dari pengalaman pahit ayahnya tentang kemoterapi. Sejak awal dia tidak senang menjalani kemoterapi tetapi dia tidak punya pilihan. Pada akhirnya, dia memutuskan untuk menghentikan kemoterapi karena efek samping yang parah.
Apakah perawatan kemo dan radiasi ini menyembuhkan kankernya?
Lihatlah nilai-nilai CA19.9 selama perawatannya:

Faktanya SH diberitahu bahwa jika dia ingin melanjutkan kemoterapi, obat yang digunakan akan diubah menjadi: 5-FU + irinotecan atau 5-FU + irinotecan + oxaliplatin.
Atau, SH dapat memilih terapi bertarget menggunakan Olaprarib.
Jika Anda membaca dari internet, Olaprarib adalah obat yang digunakan untuk mengobati kanker ovarium dan payudara !!!!!!!
Berapa biaya Olaparib? Di AS, biaya olaparib diperkirakan mencapai USD3.000 per bulan!
Hasil tes darah SH pada 5 November 2019 adalah sebagai berikut:
| RBC | 3.14 rendah |
| HGB | 9.3 rendah |
| Platelet | 86 rendah |
| eGFR | Lebih dari 60 tinggi |
| Alk phos | 55 |
| AST | 32 |
| ALT | 24 |
| GGT | 50 |
Berikut adalah hasil pemindaian PET yang dilakukan pada 1 Oktober 2019 (baris atas) dibandingkan dengan yang dilakukan pada 15 Juli 2019 (baris bawah). Jelas bahwa kanker tidak hilang meskipun perawatan yang diberikan.


Komentar saya
Saya bertanya pada SH (dan istrinya). Sebelum Anda menjalani kemoterapi, apakah Anda pernah bertanya kepada ahli onkologi apakah perawatan itu akan menyembuhkan Anda? Ya, SH menanyakan soalan itu. Dan jawabannya adalah, “Kemo tidak bisa menyembuhkan.Perawatan itu hanya untuk memperpanjangkan hidup atau meningkatkan kualitas hidup.”
Apakah itu yang diinginkan pasien — tidak bisa sembuh total tetapi memperpanjang umur? Ajukan pertanyaan ini – memperpanjang umur untuk berapa lama? Apa pula dari segi hal penderitaan karena efek samping atau biaya / uang?
Pikir sendiri – bagaimanakah kemoterapi meningkatkan kualitas hidup? Jangan bercanda! SH berkata, “membelanjakan uang tidak apa-apa” tetapi penderitaan yang tidak bisa dia tahan.
Pada akhirnya, tanyakan pada diri sendiri, Apakah itu sepadan? Saya tidak bisa menjawab pertanyaan itu – hanya pasien yang menderita konsekuensinya yang akan tahu lebih baik.
Saya selalu memberi tahu pasien, pahami bahwa penurunan penanda tumor (dalam kasus ini, itu adalah CA19.9) tidak ada artinya! Tetapi banyak pasien tidak ingin memahami hal ini. Bagi mereka jika penanda tumor turun, itu berarti perawatannya efektif! Jadi pasien suka menjalani tes darah atau melakukan CT scan segera setelah perawatan. Beberapa bahkan melakukan hal yang paling tak masuk akal – melakukan pemindaian PET setiap bulan!
Mari kita lihat kasus SH.
1. Pada 5 Juli 2018 sebelum kemoterapi, CA19.9-nya adalah 5.248. Itu tinggi! Oke, setelah suntikan kemoterapi, CA19.9-nya turun menjadi 1.658. Hore, kemo berhasil! Itulah yang dipikirkan SH dan itu juga yang dipikirkan oleh onkologisnya dan dia ingin agar SH percaya – kemo itu sangat efektif!
Jadi lakukan kemo lebih banyak kali lagi – lebih baik, bukan?
2. Pada 28 Februari 2019, CA19.9 SH turun ke tahap yang terendah sekali, ia itu 206. Prestasi luar biasa!
Tetapi apakah itu benar-benar luar biasa? Jangan tertipu. Jika Anda memiliki pengalaman yang cukup atau jika Anda cukup jeli, ketahuilah bahwa penurunan penanda tumor ini mungkin tidak bertahan lama. Ini bisa merupakan bantuan sementara saja – membuat pasien bersemangat dan menghabiskan uang mereka tetapi itu mungkin tidak bertahan lama. Saya telah melihat ini terjadi dalam cukup banyak kasus.
3. Lihat, CA19.9 terendah adalah 206 pada Februari 2019. Setelah itu CA19.9nya mulai meningkat. Pada bulan Juli CA19.9 meningkat menjadi 500 hingga 600. Itu hanya dalam waktu lima bulan.
Pada titik inilah dokter memberi tahu SH bahwa ramuan Gemcitabine + Abraxane tidak efektif lagi!
SH perlu diberi ramuan “ajaib” lain – dengan mengguna Oxaliplatin + 5-FU (atau + irinotecan).
4. Pada bulan Oktober dan November 2019, bahkan dengan “obat racun” baru, CA19.9 SH meningkat sehingga menjadi 4.329. Ingat sebelum SH dimulai menjalani kemo pada Juli 2018, CA19.9-nya berada pada 5.2438. Setelah menghabiskan lebih dari SGD120.000 untuk perawatan, ia kembali ke titik awal – itu hanya 15 bulan kemudian.
5. SH menderita efek samping yang parah. Tetapi ahli onkologi belum mau menyerah. Jika SH sudah mengembangkan fobia untuk jarum, ia bisa menjalani “perawatan nama canggih yang disebut Terapi Targeted”, dengan menggunakan obat oral yang disebut Olaprarib. Ini adalah pertama kalinya saya tahu tentang obat ini. Jadi saya mencari tahu lebih banyak tentang ini dari internet. Saya menbaca obat ini mahal – USD3.000 per bulan di AS?!? Saya tidak tahu berapa biaya ini di Singapura atau Malaysia.
Tetapi yang paling membingungkan tentang obat ini adalah bahwa Olaprarib ini adalah untuk mengobati kanker ovarium atau payudara !!!! Apakah kita telah lupa bahwa SH menderita kanker pankreas? Karena itu, apakah obat baru itu bagus untuk SH?
Mari kita kembali ke judul tulisan ini — Bisakah kemo menyembuhkan Anda? Bisakah perawatan membunuh Anda? Atau bisakah perawatan itu membuat Anda bangkrut? Saya tidak ada jawaban untuk pertanyaan itu. Anda sebagai pasien, harus tahu dan bisa menjawab pertanyaan itu!











