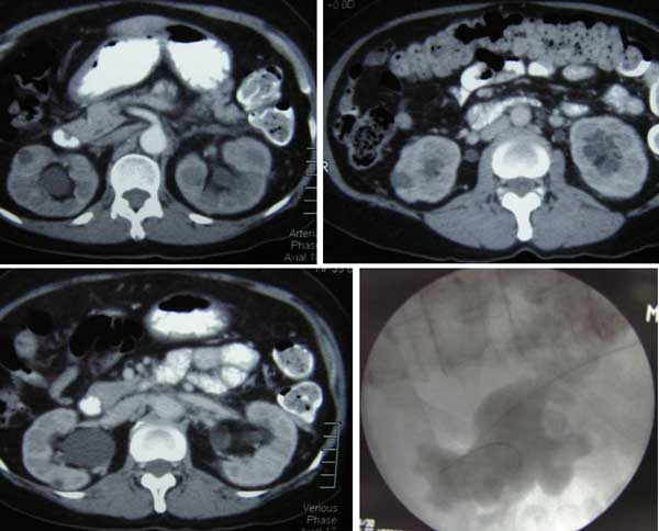
Pasien adalah seorang warnita berusia 56 tahun dari Medan, Indonesia. Pada Maret-April 2012, dia sakit perut diikuti dengan pendarahan. Dia mual dengan perutnya kembung. Dokter di Medan mendiagnosanya sebagai kanker serviks (leher rahim). Pasien datang ke rumah sakit swasta di Penang karena dia tidak bisa buang air kecil. Dia diberi tahu ini disebabkan karena pembengkakan ginjal nya. Sebuah kateter dipasang. Dia kemudian dirujuk ke dokter kandungan yang mengatakan bahwa kankernya telah menyebar ke kandung kemihnya.
Biopsi dilakukan. Laporan histopathologi mengatakan non keratinising squamous sel karsinoma. Pasien kemudian dirujuk ke onkolog. Dokter Onkologi menyarankan radioterapi. Pasien dan keluarganya menolak pengobatan dan kembali ke Medan. Pasien disuruh kembali ke Penang lagi setelah tiga bulan. Namun, setelah sebulan dan seminggu di rumah, pasien tidak bisa buang air kecil lagi. Masalah itu diselesaikan setelah kateter yang dipasang sebelumnya diganti. Namun demikian, pasien mengalami nyeri, mual dan muntah. Dia tidak bisa buah air besar selama lima hari terakhir dan kemudian buang air kecil nya diblokir lagi. Dokter harus ganti kateter untuk menyelesaikan masalahnya.
1. Menemukan CA Care
Anak-anaknya baca cari bantuan di internet dan menemukan CA Care. Mereka menulis e-mail berikut.
9 Juni 2012: Kepada Yang terhomat, Dr. Chris K.H. Teo.
Dengan hormat,
Pada kesempatan ini saya memohon kepada Dr.Chris K.H. Teo agar dapat membantu mengobati ibu saya. Saya telah melampirkan formulir yang berisikan sejumlah informasi identitas dan yang telah dialami oleh ibu saya. Saya sangat berharap kepada Dr.C hris K.H. Teo segera memberitahukan apa yang harus segera saya lakukan untuk menolong ibu saya. Saya dan keluarga selalu berdoa untuk kesembuhan ibu, dan sangat bersyukur telah diperkenalkan kepada Dr.Chris K.H. Teo.
Atas perhatian yang diberikan saya ucapkan terima kasih. Hormat saya, AZ.
Jawapan: Dari Sumatera Utara? Harus datang jumpa saya di Penang, dan bawa semua laporan medis / gambar yang telah dibuat. Juga baca http://cacare.org/about/
13 Juni 2012: Kepada Yang Terhormat, Dr. Chris K.H. Teo
Dengan Hormat,
Melalui email ini saya beritahukan bahwa ibu saya kondisinya sedang lemah sehingga belum bisa berangkat ke penang untuk bertemu dengan Dokter Chris. Namun begitu, kami sekeluarga mengutus ayah saya (Nama:Darwin) untuk menemui Dr. Chris di Penang. Besok (Kamis) ayah saya berangkat ke penang dengan membawa laporan medis/gambar serta formulir yang telah ditanda tangani oleh ibu saya. Kami sekeluarga sangat memohon kepada Dr.Chris dapat membantu ibu saya.
Atas perhatian yang diberikan saya ucapkan terima kasih.
Hormat saya, AZ.
15 Juni 2012: Suami pasien datang ke CA Care Penang.
Pasien diresipkan herbal: Capsule A, Cervical 1 and Cervical 2 teas, Constipation tea, Bladder tea and Stomach Function tea.
19 Juni 2012: Kepada Yang Terhormat, Dr.Chris K.H. Teo,
Dengan Hormat,
Melalui email ini saya beritahukan bahwa, Setelah makan/minum obat yang Dr. Chris berikan:
1. Ibu saya (S196) terkadang mengalami Demam (panas-dingin) bahkan mengigil.
2. Kalau berdiri tidak kuat, bahkan hari ini jatuh waktu berjalan.
3. Air kencing berwarna merah seperti darah dan ada sedikit gumpalan-gumpalan kecil seperti darah beku.
4.Bagian perut terasa panas dan seluruh tubuh terasa sakit.
Demikianlah kondisi ibu saya setelah minum obat dari Dr.Chris (17juni2012 s/d hari ini). Kami mohon informasi dari Dr.Chris mengenai perkembangan proses pengobatan herbal ini. Demikianlah informasi ini saya berikan, besar harapan kami menunggu tanggapan dari Dr.Chris. Atas perhatian yang diberikan kami ucapkan terima kasih. Hormat saya, AZ.
Jawapan: Baru minum 2-3 hari, sudah nak baik? Macam mana? Tak harus.
24 Juni 2012: Dr. Chris yang terhormat.
Saya ingin memberikan laporan tentang ibu saya:
1. Sejak minum obat dari tanggal 17 juni s/d 21 juni 2012 ibu merasakan:
- Panas didaerah perut
- Mengigil
- Seluruh tulang sakit seperti ditusuk-tusuk, sehingga perlu bantuan untuk duduk dan berdiri serta jalan.
- Kencing lancar tapi banyak gumpalan kecil sperti lumut berwarna putih – BAB Lancar.
Pada tanggal 22 juni 2012 s/d hari ini, ibu saya sudah bisa duduk dan berjalan sendiri karena rasa sakit ditulang, panas diperut dan mengigil sudah tidak ada. Tapi berganti dengan rasa melilit di perut (bawah pusar) & nyeri pinggul yang datang dan pergi. serta sering muntah walau sudah minum teh herbal mual & muntah.
Kami mohon petunjuk & saran dari Dr. Chris.
Jawapan: Sakit yang mula-mula itu adalah krisis peyembuhan — itulah yang saya kata jangan jangan mengharapkan hasil segera. Minum herbal untuk selama dua minggu baru tahu.
29 Juni 2012: Dear Dr. Chris,
Terima kasih atas petunjuk yang Dr.Chris berikan. Saya juga menginformasikan kepada Dr. Chris bahwa ibu saya masih minum obat yang Dr.Chris berikan dan mulai tanggal 26 juni 2012 s/d dengan sekarang ibu saya telah merasa mulai baik, nafsu makan sudah ada, rasa sakit juga sudah hilang, air kencing juga sudah jernih walaupun sesekali masih ada gumpalan putih (seperti lumut) juga ikut keluar melalui selang keteter. Semoga kondisi fisik ibu kami segera baik sehingga dapat mengambil obat berikutnya dan bertemu dengan Dr.Chris. Kami sekeluarga mengucapkan banyak terima kasih kepada Dr. Chris & Keluarga.
Hormat saya, AZ.
11 Juli 2012: Dear Dr. Crhis K.H. Teo,
Saya memberikan kabar bahwa, besok (Kamis) pagi Ayah saya berangkat ke Penang untuk mendapatkan obat dari Dr. Chris (obat herbal lanjutan untuk ibu saya). Apakah Ayah saya diperkenankan jumpa dengan Dr. Crhis jam 10.30 pagi Hari Jum’at? (seperti pengambilan obat herbal yang pertama).
Atas perhatian yang diberikan saya ucapkan terima kasih, AZ.
Suami pasien datang ke CA Care pada kali kedua dan melapurkan perkembangan dan kondisi isterinya.
2. Penyembuhan Krisis
3. Kesihatan Dipulih
4. Waspada – Kanker Bisa Kembuh Kembali
31 Juli 2012: Dear Dr. Chris,
Setelah melalui krisis penyembuhan, ibu saya (S196) sangat merasa lebih baik. sudah bisa tidur, enak makan, kencing lancar dan bab nya lancar. Sampai dengan hari Ibu saya selalu mengikuti petunjuk yang Dr.Chris berikan.
Tetapi beberapa hari ini (kira-kira 13 hari s/d hari ini) ibu saya mearasakan sakit dibagian rahim dan hari ini rasa sakit itu pun pindah dibagian bawah rahim. Setiap hari ibu saya mengeluarkan cairan seperti nanah. Setiap hari rasa sakit itu kadang datang dan kadang pergi (sebentar-sebentar).
Rasa sakit yang sangat kuat, biasanya muncul pada saat malam hari setelah minum teh herbal cervix 2, untuk meredahkan rasa sakit itu ibu saya minum pain teh yang Dr. Chris berikan.
Kami mohon petunjuk dari Dr. Chris tentang apa yang dialami ibu saya? Apakah ini krisis penyembuhan juga? Atas perhatian yang Dr. Chris berikan kami ucapkan terima kasih. AZ.
Jawapan: Sabarlah. Semua ini tidak akan hilang cepat!
Ya Dr.Chris. Kami sekeluarga selalu menyarankan ibu untuk tetap bersabar. Kami ucapkan Terima Kasih banyak atas petunjuk yang Dr.Chris berikan. Pertama kali minum pain teh, sakitnya hilang segera. tetapi sekarang 2 kali minum baru bisa hilang. Ayah saya menggunakan 3 sendok pain teh untuk 2 kali perebusan. (minum rebusan yang kedua ini baru sakitnya hilang).


