Adek adalah adik sepupu saya. Suatu saat di bulan Maret 2020 dia mengalami lepuh kecil dengan bercak putih di alis kirinya. Saat ditekan nanah bercampur darah keluar dari lepuhan. Itu menyebabkan rasa sakit yang tajam sesekali. Lesi tidak hilang. Dua bulan kemudian, Adek pergi berkonsultasi dengan dokter di rumah sakit universitas.
Pada 20 Mei 2020, Adek menjalani operasi yang berlangsung sekitar dua jam untuk mengangkat benjolan tersebut. Laporan histopatologi menegaskan itu adalah karsinoma sel skuamosa, sejenis kanker kulit.

Setelah operasi, dokter meresepkan beberapa obat dan menyarankan agar Adek menjalani radioterapi. Dia menolak rawatan radiasi tetapi minum obat.
Awalnya setelah operasi, dahi Adek mulai membengkak dan butuh waktu sekitar 10 bulan hingga bengkaknya mereda. Bekas lukanya mulai sembuh tetapi sesekali terasa gatal. Selain itu pemulihannya lancar.
Selama masa pemulihan tersebut, Adek mengalami hal-hal sebagai berikut:
1. Batuk. Ini datang dan pergi dan ini diikuti oleh keluarnya dahak putih kehijauan yang berlebihan. Keluarnya dahak terjadi setelah makan.
2. Kesulitan bernapas. Beberapa hari dalam seminggu dia mengalami kesulitan bernapas.
3. Terengah-engah. Dia merasa terengah-engah setelah berjalan agak jauh.
Adek kembali ke dokternya secara teratur untuk pemeriksaan.
Untuk memantau perkembangannya, computed tomography dosis tinggi (CECT) dilakukan pada 14 Juli 2021. Hasilnya adalah sebagai berikut:
1. Otak: Ada penebalan jaringan lunak subkutan yang tidak teratur di daerah frontal kiri.
2. Abdomen / Panggul: Lesi hipodens kecil yang tidak membesar di bagian atas ginjal kanan, bagian atas dan sela ginjal kiri kemungkinan merupakan kista.
3. Tulang. Tidak ada lesi litik atau sklerotik yang mencurigakan.
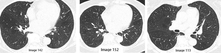
4. Leher/Thoraks: Beberapa nodul paru terlihat bilateral seperti di bawah ini:
• Nodul subpleura kecil di segmen apikal lobus kanan atas (Gambar: 41,43).
• Nodul subpleura kecil (Gambar 64, 71) dan nodul paru pada segmen anterior lobus kanan atas (Gambar 46, 68, 69, 84).
• Nodul paru pada segmen medial lobus tengah kanan berukuran 0,4 cm x 0,3 cm (Gambar 142).
• Nodul subpleural kecil pada segmen superior lobus kanan bawah (Gambar 152, 171).
• Nodul terbesar pada fisura horizontal kanan berukuran 0,5 cm x 0,3 cm (Gambar 113).
• Nodul subpleura kecil (Gambar 60, 85) dan nodul paru pada segmen anterior lobus kiri atas (Gambar 72).
• Nodul terbesar pada segmen inferior berukuran 0,5 cm x 0,3 cm (Gambar 155).



• Perubahan bronkiektasis dengan atelektasis lempeng yang berdekatan pada segmen medial lobus tengah kanan dan segmen superior lobus kanan bawah.
• Perubahan atelektasis lempeng pada segmen lingular inferior.
• Tidak ada efusi pleura bilateral.
Catatan:
Perubahan bronkiektasis: Bronkiektasis adalah kondisi jangka panjang di mana saluran udara paru-paru melebar, menyebabkan penumpukan lendir berlebih yang dapat membuat paru-paru lebih rentan terhadap infeksi. Gejala bronkiektasis yang paling umum meliputi:
• batuk terus-menerus
• biasanya mengeluarkan dahak (dahak)
• sesak napas.
Perubahan atelektasis. Atelektasis adalah kolaps total atau sebagian dari seluruh paru-paru atau area (lobus) paru-paru. Itu terjadi ketika kantung udara kecil (alveoli) di dalam paru-paru menjadi kempis atau mungkin terisi cairan alveolar. Ini mengakibatkan kegagalan paru-paru untuk mengembang (mengembang) sepenuhnya. Kadang-kadang disebut sebagai paru-paru kolaps. Area atelektasis yang luas dapat mengancam nyawa. Paru-paru yang kolaps biasanya mengembang kembali secara perlahan jika sumbatan jalan napas telah dihilangkan. Tapi bekas luka atau kerusakan mungkin tetap ada.
Dokter menyarankan agar Adek menjalani kemoterapi. Adek langsung menolaknya. Dan pada saat itulah Adek menelepon saya untuk meminta bantuan.
Saya kemudian memberinya ramuan berikut:
• A, C & D, M.
• Teh herbal – Lung 1 + PLM dan Lung 2 + SAP.
Selain minum herbal, Adek disuruh menjaga pola makannya. Tanpa gula, tanpa produk susu, tanpa gorengan, tanpa daging (atau apapun yang berjalan!).
Dia mengikuti saran saya dan menolak perawatan medis lebih lanjut. Dokternya tidak marah ketika Adek menolak menjalani kemoterapi atau radioterapi. Dia memberi tahu dokter bahwa dia meminum ramuan herbal kami.

(Anda terlihat sehat dan cantik! Terima kasih atas memberi izin untuk menggunakan foto Anda tanpa harus menutup wajah Anda!)
Apakah herbal membantunya? YA, sangat dan Adek senang.
1. Dia merasa jauh lebih sehat daripada sebelum dia menderita kanker.
2. Karena perubahan pola makan, berat badannya turun banyak – dari 76 kg menjadi 60 kg. Saya mengatakan kepadanya bahwa dia terlihat jauh lebih cantik sekarang!
3. Sejak mengkonsumsi herbal, dia tidak mengalami masalah apapun – tidak ada lagi batuk, tidak ada lagi dahak dan tidak ada lagi kesulitan bernafas.
4. Dia bisa hidup normal tanpa rasa sakit, nafsu makan baik, tidur nyenyak dan bisa jalan-jalan mengunjungi anggota keluarga.
Selama pemeriksaan rutin dengan dokternya, Adek diberi resep obat-obatan berikut.
• Wincardia – obat untuk pencegahan serangan jantung yang ia tidak diminumnya.
• Pil kolesterol yang juga ia tidak diminumnya.
• Mecovit – vitamin B12, dimaksudkan untuk kekurangan vitamin B12 pada penderita anemia dan nyeri saraf di tangan.
• Hovasc – pengobatan untuk mengobati tekanan darah tinggi dan penyakit kardiovaskular.
Komentar
1. Kanker kulit jarang terjadi di Malaysia. Kanker kulit seperti karsinoma sel basal, karsinoma sel skuamosa, dan melanoma jarang terjadi di bagian dunia ini meskipun merupakan jenis kanker yang paling umum di dunia Barat.
Ternyata karsinoma sel skuamosa yang dialami Adek adalah kasus pertama yang saya temui. Selama 27 tahun saya membantu pasien kanker, saya hanya menemui 3 pasien melanoma. Meskipun pengalaman saya terbatas, saya belajar dari pengalaman saya bahwa terapi herbal efektif dan membantu pasien kanker kulit.
Dari literatur medis kita tahu bahwa karsinoma sel skuamosa (SCC) dan karsinoma sel basal (BCC) tidak berbahaya seperti melanoma. Ketika pembedahan mengangkat angka kesembuhan untuk SCC dan BCC adalah sekitar 95%.
Namun, kekambuhan SCC agak umum, dengan tingkat kekambuhan kumulatif sekitar 29% dalam 1 tahun pengobatan.
Dilaporkan juga bahwa sekitar 2% SCC pada akhirnya akan menyebar ke bagian tubuh lain, seperti paru-paru (21%), tulang (18%), sistem saraf pusat (6%) dan hati (4%). Metastasis jauh tentu saja berhubungan dengan prognosis yang buruk.
2. Hidup untuk melawan kanker Anda? Adek kini berusia 76 tahun. Dia menjalani operasi 2 jam yang membantunya. Prosedurnya tidak membawa banyak risiko. Bagi saya, dia melakukan hal yang benar dengan menyetujui operasi pengangkatan benjolan kanker di alisnya.
Sayangnya setahun kemudian, CT scan menunjukkan kanker telah menyebar ke paru-parunya. Ini biasanya terjadi pada sebagian besar pasien. Satu-satunya pilihan yang dapat ditawarkan dokter adalah radioterapi dan/atau kemoterapi. Dengan kata yang lebih kasar – ini untuk menyatakan perang terhadap kankernya. Lawan sel kanker sampai habis dengan obat-obatan beracun dan radiasi. Adek menolak modalitas ini yang menurut saya banyak orang anggap sebagai keputusan bodoh – karena tidak melawan dan membunuh sel kanker.
Saya mengajukan pertanyaan ini kepada Adek.
• Apakah Anda bersedia menjalani radioterapi yang diarahkan ke alis Anda? Dugaan saya adalah Anda bisa atau mungkin menjadi buta karena radiasi. Apakah siap menerima hasil itu? Jawabannya adalah TIDAK.
Saya telah melihat pasien yang menjalani operasi untuk kanker otak mereka. Ini diikuti oleh radioterapi. Mereka akhirnya buta total setelah perawatan.
• Adek telah melihat apa yang dilakukan kemo pada pasien kanker. Tidak, dia tidak mau menerima efek sampingnya. Di usianya yang ke-76, apa yang akan dilakukan kemoterapi terhadap kualitas hidupnya? Sulit ditebak, tetapi pasti tidak akan seperti jalan-jalan yang menyenangkan di taman. Ambil jeda dan renungkan kutipan berikut:

- Seseorang yang menjalani cukup kemo untuk membunuh semua sel kanker di dalam tubuhnya akan mati karena toksisitas kemo sebelum sel kanker dihancurkan.
- Kemo tidak menghentikan penyebaran kanker. Kemo hanya bisa memperlambat dan mengecilkan tumor kanker.
- Sementara itu menghancurkan sistem kekebalan pasien, membuat masalah kanker menjadi lebih buruk … Sistem kekebalan yang lemah memungkinkan kanker untuk tumbuh.

- Percaya atau tidak kebanyakan orang Amerika saat ini percaya bahwa kemoterapi itu aman… bersama dengan radiasi, adalah satu-satunya pengobatan kanker yang terbukti.
- Jangan tertipu, radiasi kemoterapi dan pembedahan tidak dapat menyembuhkan Anda – meskipun pembedahan terkadang mutlak diperlukan.
3. Belajar untuk hidup dengan kanker Anda! Anda suka perang? Di bagian dunia ini, kami orang Asia tidak suka perang. Lihatlah apa yang terjadi pada Vietnam, Irak, dan sekarang Ukraina. Orang-orang biasa sangat menderita dan Anda melihat kehancuran di mana-mana! Satu-satunya orang yang senang adalah pabrik senjata!
Sejak 27 tahun terakhir, di CA Care, kami mengajari pasien kami untuk belajar bagaimana hidup dengan kanker mereka. Janganlah kita melawan tetapi marilah kita mengambil pendekatan holistik untuk menyembuhkan kanker kita. Inilah yang kami lakukan dalam kasus Adek.
1. Mari kita hadapi kenyataan bahwa kita semua harus mati suatu hari nanti. Jadi kematian bukanlah sesuatu yang harus kita takuti. Namun yang terpenting adalah saat kita masih hidup, marilah kita hidup bahagia bebas dari penderitaan. Jangan menderita karena pengobatan dan kemudian mati! Itu tidak ada artinya.
2. Ketahui perasaan batin Anda. Jika Anda ingin mengikuti “jalan alternatif” penyembuhan, Anda harus percaya pada apa yang akan Anda lakukan dan berkomitmen penuh pada jalan itu. Tidak ada setengah-setengah di sini.
3. Jaga pola makan Anda. Makan sehat dan benar.
4. Jalani hidup bebas stres. Ubah sikap mental dan gaya hidup lama Anda.
5. Carilah bantuan Spiritualitas. Berdoa.
6. Minum teh herbal untuk membantu tubuh memulihkan keharmonisan di dalam dan menyembuhkan dirinya sendiri.
Sudah lebih dari setahun sekarang dan Adek baik-baik saja. Setiap hari dia bisa bergerak atau bepergian tanpa masalah. Tidak ada rasa sakit. Dia tidak terengah-engah. Dia makan dan tidur dengan baik. Dia tidak menderita efek samping apapun dari mengkonsumsi herbal setiap hari. Jadi bagi Adek, hidup itu baik.
Apa lagi yang kamu mau?
Izinkan saya mengakhiri dengan membagikan satu kasus melanoma (yang lebih serius) yang saya temui bertahun-tahun yang lalu.
Guat adalah seorang wanita berusia 53 tahun. Pada Oktober 2007, dia didiagnosis menderita kanker kulit yang telah menyebar ke paru-parunya. Dokter memberi tahu Guat bahwa ini adalah penyakit serius dan dalam pengalamanya selama 15 tahun, ini adalah satu-satunya kasus yang dia temui.
Guat memiliki perasaan yang membara di dadanya hampir setiap hari. Dia sakit kepala dan tidak bisa tidur. Dia merasa sesak napas saat berjalan.
Dokter menyarankan agar Guat segera memulai pengobatan dengan radiasi. Tanpa radioterapi, kanker bisa menyebar ke otaknya. Guat menolak radioterapi dan datang untuk mencari bantuan kami pada tanggal 2 November 2007. Dia memulai terapi kami.
Catatan: Menurut literatur medis, kelangsungan hidup 5 tahun untuk kanker jenis ini adalah 2% sampai 3%. Dengan metastasis paru, kelangsungan hidup medial adalah 11 bulan.
Setelah Satu Tahun Mengikuti Terapi Kami
Chris: Sudah lebih dari setahun sejak Anda pertama kali datang.
Guat: Sekarang sekitar satu tahun. Selalu ada ketakutan ini. Apakah saya perlu pergi dan melakukan pemindaian?
C: Tidak, tidak perlu. Apa intinya? Jika tumornya lebih kecil, Anda masih perlu terus mengonsumsi herbal. Jika lebih besar, apa yang ingin Anda lakukan? Masih terus minum herbal juga. Yang penting adalah ini. Bagaimana perasaan Anda sekarang dibandingkan dengan satu tahun yang lalu ketika Anda datang menemui saya?
G: Lebih baik.
Lima Tahun Kemudian: 9 Agustus 2013
Guat: Lebih dari 5 tahun sekarang. Saya baik-baik saja. Teman-teman saya bertanya mengapa saya belum mati!
Sepuluh Tahun Kemudian: Desember 2017
Seorang pria masuk ke pusat kami suatu pagi di bulan Desember 2017. Saya tidak dapat mengenalinya. Dia mengingatkan saya bahwa dia adalah suami Guat. Dia memberi tahu saya bahwa Guat baik-baik saja. Terakhir kali saya bertemu Guat adalah 4 tahun yang lalu – pada Agustus 2013. Setelah itu Guat keluar dari radar kami, tidak sampai pagi ini suaminya tiba-tiba muncul!
Chris: Sudah berapa tahun?
Suami: Sejak, 2007. Sudah 10 tahun.
C: Aiyo, kamu sangat beruntung – sangat beruntung, ha, ha.





