Keluhan saat berjalan, Kaki yang sensitif dan Leher Kaku Mendapat Kemajuan Yang Semakin Baik Setelah menjalani e-Terapi

CR adalah seorang wanita berusia 73 tahun dari Indonesia. Dia adalah pasien kanker payudara dan selama ini dia telah mengkonsumsi herbal kami selama berbulan-bulan .Pada akhir Maret 2012, ia dan keluarganya kembali ke Penang untuk melakukan check up rutin. Semuanya baik-baik saja. Namun, dia memiliki masalah yang sudah lama mengganggu.Sekitar tiga tahun lalu, dia menjalani operasi untuk pinggul dan penggantian sendi bahu. Setelah operasi ini ia memiliki masalah berikut:

  1. Kaki kirinya terasa berat saat berjalan
  2. Setiap kali ujung jari kaki kirinya tersentuh atau pada saat  telapak kaki kirinya menginjak sesuatu, rasanya seperti kesetrum
  3. Kaki kiri bagian bawah terasa mati rasa ( kebas ).

Dokter bedah tak sanggup untuk membantu mengatasi masalah tersebut – yah itulah yang terjadi ! Jika tidak, CR bisa menjalani operasi lain untuk mengatasi masalahnya !

Sekitar sebulan lalu, CR merasakan keluhan  leher kaku.

Kami menyarankan CR untuk menjalani e-Terapi karena dia memiliki sekitar empat hari di Penang. Dalam hal ini suatu kepuasan yang besar untuk dicatat bahwa

e-Terapi telah membantunya dengan hasil yang sangat baik.

Sila tonton video ini.

Kanker Pankreas: Gatal Parah Hilang dan Kesehatan Meningkatan Setelah Herbal dan e-Terapi

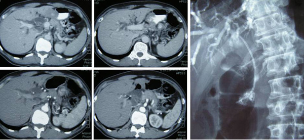
Bak (M952) adalah seorang pria 56 tahun dari Indonesia. Sekitar November 2010, ia mengeluh gatal tapi dia tidak buat apa-apa pun. Pada bulan April 2011, ia pergi buat pemeriksaan di sebuah rumah sakit di Aceh, Sumatera Utara. Dia diberitahu ada tumor di saluran empedu Nya. Pada tanggal 8 April 2011, ia datang kePenanguntuk pemeriksaan lebih lanjut. CT scan perut dan panggul menunjukkan berikut:

  • • Sebuah luka hipodens bulat berukuran 10,5 x 21,3 mm terlihat di pertengahan kolon melintang. Dokter tidak yakin apa polip itu?
    • Kepala pancreas dan proses uncinate karsinoma dengan distal (duktus bilier umum) obstruksi CBD.
    • Hernia inguinoscrotal Kiri.

Hasil fungsi hati-Nya pada tanggal 8 April 2011 dan 5 Oktober 2011 adalah seperti berikut:

Parameters

8 April 2011

5 October 2011

Total protein

79  H

76

Albumin

26  L

34

Globulin

53  H

42

A/G ratio

0.5  L

0.8  L

Total bilirubin

284.4  H

62

Direct bilirubin

212.2  H

Indirect bilirubin

72.2    H

Alanine transaminase

90   H

44

Alkaline phosphatase

222 H

62

GGT

67   H

68  H

AST

110 H

46  H

Alpha-fetoprotein

4.62

CEA

3.5

CA 19.9

1569.55

7.9

Bak disarankan operasi untuk kanker pankreas Nya. Dia menolak, tapi memilih ERCP (endoscopic retrograde cholangiopancreatography). Ini adalah teknik khusus untuk membersihkan penyumbatan saluran empedu. Tiga stent plastik (tabung) dipasang untuk membantu aliran empedu. Total biaya rawat sekitar RM 4300.

Setelah prosedur ini, Bak disarankan kemoterapi. Dia menolak. Sebaliknya, pada tanggal 10 April 2011, Bak datang mencari bantuan kami. Kelehannya  seperti berikut:

• gatal parah seluruh tubuh
• Tidak ada nafsu makan
• Demam, tidak bisa tidur
• Diare
• Air kencing berwarna kuning

Untuk membantu masalah gatal Bak, kami tidak punya pilihan selain bahkan meberi Bak e-Terapi. Setelah satu kali  e-Terapi, gatal sudah berkurang. Setelah dua kali, gatal-gatal itu dikatakannya berkurang 50 persen. Sesudah empat kali e-Terapi semua gatal telah hilang. Bak demam. Kami memberikan Nya  herbal teh Appetite & Fever. Setelah  minum segelas teh tersebut, demam Nya hilang. Lalu ia pulang ke Aceh.

Pada tanggal 7 Juli 2011, Bak kembali menemui kami. Dia kata selama dua minggu terakhir ini, ia mulai rasa gatal lagi. GatalNya datang sekali-sekala pada telapak tangan, siku dan kaki. Bak tidak diberi e-terapi karena beliau harus pulang hari berikutnya.

Pada tanggal 5 Oktober 2011, Bak datang  di pusat kami sekali lagi. Kali ini ia datang khusus untuk menjalani e-Terapi. Bak beritahu kami bahwa sejak mengkonsumsi herbal pada bulan April 2011, kesehatannya bertambah baik. Dia rasa lebih nyaman, tidur lebih lena dan dia lebih bertenaga. Sebelumnya dia harus bangun 4 hingga 5 kali semalam karena buang air kecil. Setelah mengambil teh A-Kid-6, kekerapan buang air kecil telah berkurang menjadi hanya sekali semalam. Dia mulai gatal, tapi tidak seserius sebelum e-Terapi. Sebelum e-Terapi seluruh tubuh Nya gatal dan dia terpaksa menggaruk sampai kulit berdarah. Sekarang gatalNya terbatas hanya pada siku dan kaki saja.

Ujian darah dilakukan pada tanggal 5 Oktober 2011. Hasil kajian darah menunjukkan perkembangan baik bagi GGT, AST dan CA 19,9 (Tabel, Kolom 3). Bak terus menjalani e-Terapi dari 5 hingga 11 Oktober 2011. Sesudah dua kali, gatalNya berkurang sekitar 50 persen.  Pada 10 Oktober 2011, sesudah enam hari buat e-Terapi, gatal-gatalNya hampir hilang seratus per sen. Masih ada seditkit-dikit gatal pada ujung jariNya.

Setelah minum herbal selama enam bulan, kesehatannya bertambah baik, tidurnya lebih nyenyak dan nafsu makanNya pun bertambah. E-Terapi telah memberi bantuan yang tidak terhingga bagi masalah rasa gatal nya.

Klip video di bawah mendokumentasikan kemajuannya dengan e-Terapi.

Kanker Payudara: Herbal dan e-Terapi Pulihkan Kesejahteraan Nya Setelah 106 kali Perawatan Radiasi Bagian 6: Penyembuhan Empat Hari Saya Setelah Perawatan di CA Care

Penghargaan: Izin untuk menggunakan video ini tanpa harus menyembunyikan identitas dirinya diberikan oleh pasien.

Ini adalah kisah pahit-manis Le, seorang perempuan 37 tahun dariIndonesia. Dia datang mengunjungi kami pada tanggal 14 Oktober 2011 setelah didiagnosis dengan kanker payudara yang mungkin telah menyebar ke paru-parunya. Dia datang dengan keluhan sakit nyeri di seluruh tubuhnya, terutama di sendi-sendi. Dia tidak bisa menekuk jari-jarinya. Dia tidak bisa tidur nyenyak dan batuk.

Setelah empat hari di sini, bagaimana Anda rasa sekarang? Le: Sehat. Saya rasa lebih baik.

Bila Anda datang pada Jumat lalu (empat hari lalu), dibandingkan dengan hari ini, adakah Anda rasa lebih baik? Le: Ya. Saya bisa berjalan lebih cepat sekarang. Saya lebih banyak bertenaga. Seperti  sebelum saya menderita kanker. Waktu saya datang ke sini saya lelah dan lesu. Tapi kemarin saya bisa berjalan kaki dari apartmen ke pasar. Suami saya mengambil jalan salah waktu kami ke pasar. Kami berjalan ke sinisana, merata-rata. Tapi saaya baik-baik saja. Saya tidak punya masalah berjalan. Dan saya juga berjalan cepat. Sebelum ini, saya menyeret kakiku ketika berjalan dan saya membongkok.

Bagaimana dengan tidur Anda? Sebelum saya datang ke sini, saya bangun lima kali semalam untuk buang air kecil. Saya terbatuk-batuk. Jadi tidur saya tidak nyenyak dan terganggu. Saya sering mimpi orang-orang yang saya cintai yang telah meninggal. Mereka datang untuk mengundang saya “pulang”. Setelah saya mengambil ramuan herbal dan menjalani e-Terapi,  saya bisa tidur nyenyak. Aku tidak punya mimpi lagi.

Dalam hal gerakan tubuh, adakah Anda lebih tangkas? Saya sedar pada hari pertama Anda di sini, anda sulit bergerak tangan, dll Le: Saya sudah seperti normal sekarang. Saya boleh buat semua ini  (menunjukkan semua tindakan):

1. Angkat lengan saya tinggi dan lurus ke atas.

2. Meletakkan tangan saya di belakang kepala saya dan boleh ikat rambutku. Sebelum ini rambut saya panjang. Putriku ikat rambut saya.

3. Saya bisa memegang sapu dan menyapu lantai. Saya bisa mengayunkan lengan saya.

4. Saya bisa membuat tempat tidur, angkat dan lipat selimut.

5. Saya bisa membongkok dan telapak tanganku sentuh ke lantai.

6. Saya bisa menekuk pergelangan tangan saya.

7. Saya bisa melepaskan butang, mengeluarkan pakaian dan memakai bra dengan sendiri.

8. Saya dapat melipat kaki saya dan memotong kuku.

9. Aku bisa merangkak ke tempat tidur.

10. Aku bisa melipat tangan dan menggunakan jari kelingking saya untuk membersihkan telinga saya.

11. Saya bisa bertepuk tangan – tidak ada rasa sakit.

12. Saya bisa gunakan tangan menampar nyamuk – tidak ada rasa sakit. Sebelum ini, sangat sakit untuk menyentuh kulit.

13. Saya bisa menjentikkan jari dan membuat bunyi klik.

14. Saya dapat memegang benda dan menekuk jari saya.

15. Ketika saya menyedut nafas panjang, dada saya tidak sesak lagi.

16. Pagi ini saya berjalan lebih cepat daripada suami saya.

Sekarang nampaknya gerakan dan kualitas hidup Anda sudah kembali seperti biasa. Adakah Anda rasa bahagia? Le: Ya. Memang inilah saya harapankan. Ketika  saya tak mampu berjalan saya beritahu pendeta saya bahwa saya ingin mati. Saya telah kehilangan semua harapan. Ini karena:

• Gerakan begitu sulit.
• Saya tidak bisa menggaruk punggung saya ketika gatal. Suami saya membantu saya mengaruk.
• Saya tidak bisa tombol celana saya – suami saya harus buat ini untuk saya.

Sekarang lihatlah. Saya bisa memutar tubuh saya ke kanan dan ke kiri tanpa rasa sakit. Saya bisa berdiri atas satu kaki dan saya bisa makan nasi dengan tangan.

Sekarang Anda masih mau mati? Le: Tidak, tidak lagi.

Saya benar-benar tidak tahu mengapa says melakukan apa yang saya lakukan pada hari Jumat itu (empat hari yang lalu). Biasanya saya hanya akan meminta pasien minum herbal dahulu untuk beberapa minggu sebelum disarankan e-Terapi. Namun, malam itu saya rasa kamu mengalami banyak kesulitan, maka kami buat keputusan memulakan e-Terapi dengan segera. Mungkin itu Tuhan yang membantu kamu!

Oke, empat hari menjalani terapi CA Care. Apakah kamu rasa baik? Le: Baik sekali.

Apakah kamy yakin sekarang? Le:  Yakin sekali. Ketika saya datang ke sini, saya tahu bahwa ini adalah jawaban Tuhan atas doa saya.

Apabila Anda pulang ke Surabaya, teruskan minum herbal seperti yang diajar. Anda harus jaga diet Anda seperti yang telah diajarkan. Berolehraga. Jangan berpikir terlalu banyak – rileks dan santai. Jangan terlalu banyak stres sendiri. Yang penting,  coba hidup normal. Le: Penampilan wajah saya kelihatan bagus sekarang. Lebih “berseri”.

Oke, saya sangat senang dan berhati-hati bila Anda pulang. Ingat apa yang kami telah katakan. Jangan lakukan apa yang salah. Dan penting sekali, ingatlah bahwa penyembuhan mengambil masa. Bersabarlah.

Baca cerita Le yang lengkap:

Bagian 1: Kesejahteraan  Pulih Setelah Dua Hari Minum Herbal dan e-Terapi

Bagian 2: Terapi Alternatif – Pengobatan Suplemen Dua puluh-Satu-Juta-Rupiah Se Bulan

Bagian 3: Mengapa Saya Menolak Kemoterapi / Pengobatan Medis

Bagian 4: Radiasi Membantu Tapi Tidak Menyembuhkan, Tamoxifen Bawa Bencana.

Bagian 5: Mimpi Saya dan Pengalaman Dekat Maut

Bagian 6: Penyembuhan Empat Hari Saya Setelah Perawatan di CA Care

Bagian 7: Perjalanan Saya Yang Kurang Pengetahuan

Kanker Payudara: Herbal dan e-Terapi Pulihkan Kesejahteraan Nya Setelah 106 kali Perawatan Radiasi Bagian 1: Kesejahteraan Nya Pulih Setelah Dua Hari Minum Herbal dan e-Terapi

Penghargaan: Izin untuk menggunakan video ini tanpa harus menyembunyikan identitas dirinya diberikan oleh pasien.

Itu semua mulai dengan benjolan kecil di payudara kiri saya. Saya mengabaikannya. Beberapa tahun kemudian, saya pergi untuk menemui onkologi. Dia meminta saya untuk menjalani biopsi dan kemudian beroperasi. Saya menolak. Saya memilih terapi alternatif. Saya mengambil berbagai jenis suplemen (Lihat Bagian 2: Terapi Alternatif –  Pengobatan Suplemen Saya Dua-puluh-Satu-Juta-Rupiah Per Bulan).

Benjolan bertambah besar dan akhirnya pecah. Waktu itulah saya pergi berjumpa ahli radiologi dan menjalani radioterapi. Perawatan radiasi pertama saya pada bulan November 2009. Saya menerima 25 rawatan radiasi untuk payudara kiri saya. Tumor mengecil dan akhirnya menghilang.

Tiga bulan kemudian, benjolan lain tumbuh tepat di bawah leher saya. Benjolan ini kian membesar. Saya lagi menerima 25 perawatan radiasi. Benjolan juga menghilang setelah radiasi.

Empat bulan kemudian, dua lagi tumor muncul, satu masing-masing di setiap payudara saya. Saya kembali menerima 25 perawatan radiasi untuk setiap  payudara kiri dan kanan.

Saya juga menerima 6 kali perawatan radiasi untuk indung telur saya.

Waktu menjalani radioterapi, benjolan lain muncul tepat di bawah tulang selangka kiri saya tapi ini akhirnya hilang setelah saya selesai rawatan radiasi untuk dua payudara. Namun, sekarang ada satu benjolan di perut saya.

Sementara menjalani radioterapi tahap berikutnya, saya minum tamoxifen. Setelah dua minggu minum Tamoxifen jari-jari saya menjadi kaku dan sulit dan menyakitkan untuk membengkokkannya. Setelah satu bulan pada tamoxifen saya tak mampu berjalan. Juga, otot leher saya menjadi kaku. Sebelum tamoxifen itu saya lincah dan tidak memiliki masalah mobilitas. Saya bisa berolihraga. Saya berhenti minum tamoxifen setelah satu bulan. Dokter saya mengatakan kanker telah pergi ke tulang saya.

Awal bulan ini, seorang teman baik di Makassar menelepon saya. Dia menyarankan bahwa saya memiliki terlalu banyak radiasi sudah dan tubuh saya tidak akan mampu menerimanya lagi. Saya harus mencari pengobatan alternatif lainnya. Tapi semua sementara ini, saya telah menjalani pengobatan alternatif. Saya mengambil semua jenis suplemen. Teman saya menyarankan agar saya pergi ke Penang dan memenuhi Chris Teo.

Di atas adalah kisah tragis dari Le, seorang perempuan 37 tahun dari Indonesia.Dia datang kepada kami pada tanggal 14 Oktober 2011 setelah telah didiagnosis dengan kanker payudara yang mungkin telah menyebar ke paru-parunya. Dia disajikan dengan sakit dan nyeri di seluruh tubuhnya, terutama sendi. Dia tidak bisa menekuk jari-jarinya. Dia tidak bisa tidur nyenyak dan ia batuk.

Le diresepkan Kapsul A,  Breast L dan Breast M teh, Pain teh, Lung 1 dan Lung 2 teh selain Cough # 10. Dia menjalani e-Terapi dengan Detox # 2 pada Jumat malam. Pada Minggu malam (dua hari kemudian), Le datang kembali dan dilaporkan sebagai berikut.

Saya kembali ke apartemen dan tidur sepanjang malam, 19:00-6:00. Saya terbangun hanya untuk makan dan minum teh herbal dan kemudian kembali tidur lagi.

Sebelum terapi ini, apakah Anda bisa tidur? Le: Sulit.

Pada Sabtu (e-Terapi tetapi hanya tentang herbal) apakah Anda tidur sepanjang hari? Le: Ya. Saya tidur, bangun untuk makan dan kemudian kembali tidur lagi. Saya makan jagung dan buah-buahan.

Ketika Anda berada di rumah (Surabaya), bisa Anda tidur seperti ini? Le: Tidak Di rumah ketika saya bangun dari tidur, saya akan merasa sakit. Sekarang, saya tidak sakit lagi. Saya bisa tidur dalam posisi atau postur tubuh, saya sakit. Saya tidak dapat melakukan hal seperti itu ketika berada di rumah.

Apakah Anda benar-benar tidur nyenyak – nyenyak? Le: Ya. Saya juga pingsan banyak “gas” … boot, boot. Saya berjalan ke sana kemari dari apartemen Kenny ke pasar. Saya tidak punya masalah berjalan. Saya tidak bisa melakukan hal seperti di rumah. Saya akan menjadi terengah-engah jika saya berjalan seperti itu.

Sekarang, ketika Anda berjalan, apakah Anda menjadi sesak napas? Le: Tidak Sekarang, saya juga dapat memegang sapu dan menyapu lantai. Saya sekarang dapat membuat tempat tidur dan lipat selimut. Saya tidak bisa melakukan itu sebelumnya. Saya bahkan tidak bisa mengangkat selimut apalagi lipat. Pagi ini, saya bahkan “memukul” bantal.

Sekarang, apa lagi keluluhan Anda? Le: Batuk. Sebelumnya, saya tidak dapat memutar tubuh saya di sekitar – ke kanan atau kiri. Saya akan menarik otot atau kram. Sekarang, tidak lebih kram. Setelah mengkonsumsi obat herbal selama dua hari, ada nyeri tubuh tidak lebih.

Tidak ada rasa sakit lagi di manapun? Le: Tidak lebih.

Jadi, selama dua hari terakhir, apakah Anda benar-benar merasa baik? Le: Ya.Kuat (mengambil napas dalam-dalam).

Apakah Anda ada masalah lain? Le: Hanya batuk sekarang.

Baca cerita Le yang lengkap:

Bagian 1: Kesejahteraan  Pulih Setelah Dua Hari Minum Herbal dan e-Terapi

Bagian 2: Terapi Alternatif – Pengobatan Suplemen Dua puluh-Satu-Juta-Rupiah Se Bulan

Bagian 3: Mengapa Saya Menolak Kemoterapi / Pengobatan Medis

Bagian 4: Radiasi Membantu Tapi Tidak Menyembuhkan, Tamoxifen Bawa Bencana.

Bagian 5: Mimpi Saya dan Pengalaman Dekat Maut

Bagian 6: Penyembuhan Empat Hari Saya Setelah Perawatan di CA Care

Bagian 7: Perjalanan Saya Yang Kurang Pengetahuan

Kanker Payudara: Dari Keputusasaan Menuju Harapan Dalam Lima Hari

Video 1: Penyembuhan Dalam Lima Hari

Video 2: Kisah Tragisnya

Penghargaan: Izin untuk merekam dan memutar video klip tanpa harus menutup wajah pasien diberikan oleh keluarganya.

Inti dari pembicaraan kami:

1. Benjolan payudara sepuluh tahun yang lalu dan dia tidak melakukan apa pun tentang hal itu

Dia menemukan benjolan di payudaranya lebih dari sepuluh tahun yang lalu, tetapi tidak melakukan apa-apa tentang hal itu. Benjolannya bertambah besar. Kemudian pada tahun 2008, dia pergi ke Kuching, Malaysia untuk melakukan check up tubuh secara lengkap. Pada saat itu dia tidak mengalami ketidaknyamanan yang serius. Namun, dari hasil pemeriksaan menyatakan bahwa dia mengidap kanker payudara stadium 4 dan kemungkinan  telah menyebar ke beberapa bagian dari tulangnya.
Apakah dia menderita sakit sebelum pemeriksaan? Ya, dia merasa sakit di sekitar tulang belikat. Setelah dipijat rasa sakitnya menghilang.

2. Ke China untuk mencari peyembuhan

Dokter di Kuching menyarankan untuk menjalani kemoterapi. Tetapi dia menolak. Keluarga memutuskan untuk membawanya ke China untuk perawatan medis. Dia menerima perawatan seperti kemoterapi, cryoablasi dan particle seed radioaktif di rumah sakit China.

Dia tinggal sekitar satu sampai dua minggu di China selama setiap perjalanan ke sana. Dia kembali ke Indonesia dan merasa “baik-baik saja”  dan kemudian kembali lagi ke China untuk menjalani perawatan selanjutnya setiap tahun.

Apakah mereka mengajarkan Anda untuk mengatur dietnya? Tidak, dokternya menjelaskan bahwa dia dapat makan apa saja yang dia suka. Mereka tidak mengajarkan kita apa-apa tentang diet.

3. Jatuh

Pada bulan Januari 2011, dia mengalami jatuh ringan. Ini menyebabkan salah satu kakinya menjadi bengkak. Tetapi bahkan sebelum kejadian ini, dia selalu merasakan sakit di kakinya. Dia berkonsultasi dengan dokter di Kuching tentang masalah ini dan diberitahu bahwa tidak ada apa-apa dengan kaki nya, tapi dia mungkin menderita kanker di usus nya.

4. Operasi Kaki

Sejak Februari 2011, dia tidak bisa jalan dan hanya tinggal saja dirumah karena  tidak bisa kemana-mana .Salah satu kakinya sangat sakit dan yang sebelah lagi kakinya bengkak. Kakinya tidak bisa menapak dan dia tidak bisa berdiri karena kesakitan.

Dia pergi ke Jakarta untuk konsultasi lebih lanjut. Selanjutnya dia menjalani operasi pada kedua kakinya.

Dua bulan setelah operasi dia bisa berjalan. Kakinya tidak merasa sakit lagi ketika menginjak lantai. Tapi rasa sakit di seluruh bagian bawah  kaki nya masih belum hilang.

5. Tidak kembali ke Cina lagi

Apakah dia kembali lagi ke China setelah ini? Tidak. Kami sudah melakukan total enam perjalanan ke Cina. Pada tahun 2008, ia pergi ke Cina tiga kali, pada tahun 2009, dua kali dan pada tahun 2010 sekali. Tidak banyak membawa manfaat – pada setiap kunjungan mereka selalu meminta kami untuk melakukan PET scan, Kemoterapi, dll.  Semuanya itu telah membuatnya menjadi capek, muntah, dll

6.
 Opname – September 2011

Pada akhir September 2011, dia mulai merasa sakit di perut dan tidak mampu berjalan lagi. Dia dirawat di rumah sakit. Dokter onkologi menyarankan PET scan untuk mengetahui apa yang menjadi penyebabnya. Keluarganya menolak. Pada saat itu dia mengkonsumsi berbagai macam obat yang diresepkan oleh tiga dokter – ahli onkologi, spesialis tulang dan saraf.

7. Ke CA Care, Penang – 9 Oktober 2011

Dua orang diperlukan untuk mengangkatnya masuk kedalam pesawat. Sampai di Ca Care dia hanya bisa duduk diatas kursi rodanya. Dia tidak mampu untuk berdiri sendiri. Dia juga tidak bisa tidur dan merasakan sakit di kakinya sepanjang siang dan malam.

Setelah mendengarkan ceritanya pada tanggal 9 Oktober malam, apa yang dapat kami sampaikan kepada keluarganya adalah sebagai berikut :  Saya benar-benar tidak tahu apa yang dapat saya lakukan untuk membantu Anda. Tapi saya akan berusaha sebaik mungkin untuk melakukan apa saja.  Ini benar-benar kasus yang sudah putus harapan dan tak berdaya.

Setelah lima hari menjalani e-Terapi dan minum herbal kami, kondisinya semakin membaik. Rasa sakit di kakinya hampir hilang. Dia bisa tidur. Dan yang paling aneh sekali adalah dia mampu untuk berdiri sendiri dengan bantuan minimal.

 

Update: Pada tanggal 26 Oktober 2011, putrinya  menelepon untuk mengatakan pasien (sekarang di rumah di Jakarta) mampu berjalansendiri dengan bantuan tongkat. Pada hari ketika ia pulang, ia dapat perlahan-lahan berjalan masuk ke pesawat – tidak perlu diangkat masuk ke dalam pesawat seperti minggu sebelumnya.