Mutu (bukan nama sebenarnya, H520) adalah seorang pria berumur 48 tahun. Pada bulan November 2010 ia telah menderita batuk berdahak. Pada akhir Desember 2010 ia dirawat di rumah sakit swasta dengan keluhan nyeri pada bagian hypochondrial sebelah kanan. (yaitu, rasa sakit dibagian perut sebelah kanan di bawah tulang rusuk). Dia merasa mual tapi tidak muntah. Dia juga mengalami apa yang disebut post prandial dyspepsia (yaitu perasaan tidak enak pada bagian ulu hati yang timbul setelah makan seperti: mual, kehilangan nafsu makan atau sendawa).
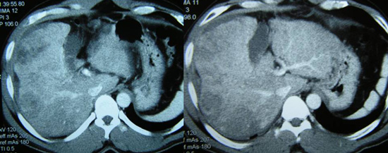
CT scan dibagian perut menunjukkan ada beberapa massa berukuran 7,3 x 5,1 cm ; 6,3 x 6,1 cm dan 7,3 x 4,5 cm, pada lobus kanan hati nya, dan diduga kanker hati yang telah menyebar atau metastasis kanker hati. Biopsi dilakukan pada tanggal 23 Desember 2010 dan dikonfirmasi sebagai kanker liver dengan sifat moderately differentiated.
Berikut ini adalah hasil test darah yang dilakukan pada tanggal 19 January 2011.
Mutu diberi resep Nexavar – yaitu obat kemo-oral yang harganya sekitar RM20, 000 per bulan. Dia diberitahu bahwa Nexavar tidak akan menyembuhkan kanker nya. Itu hanya akan mengendalikannya (apa pun artinya, lihat diskusi nanti).
Setelah minum Nexavar selama seminggu, ia menderita efek samping sebagai berikut :
1. Perut kembung
2. Otot bahu nyeri
3. Susah tidur
4. Mual dan kadang muntah
5. Pusing saat berjalan
6. Kehilangan nafsu makan karena perut kembung
7. Kram pada jari tangan dan kaki
8. Sembelit
Dengarkan percakapan kami pada tanggal 23 Januari 2011, pada hari pertama kali ia mengunjungi kami.
Komentar:
Mari kita amati beberapa poin penting dari kasus ini dalam bentuk tanya–jawab.:
1. Asumsikanlah sejenak bahwa anda adalah seorang ahli medis. Saya percaya anda telah melihat ratusan atau ribuan CT scan dan hasil tes darah. Dari pengalaman anda, apa yang dapat anda buat dari kasus ini dengan hanya melihat hasil CT-scan dan hasil tes darah? Gambaran dari hasil scan tersebut jelek dan AFP (alfa-fetoprotein) melebihi satu juta poin. Sejujurnya , apakah biopsi benar-benar diperlukan? Jadi, setelah melakukan biopsi, apa yang dapat anda tawarkan untuk ” mengobati ” pasien?
2. Kelihatannya yang dapat ditawarkan sebagai obat modern itu adalah Nexavar. Maukah anda sebagai dokter ahli menawaran obat ini kepada pasien, walaupun tahu bahwa biayanya sekitar RM 20.000 per bulan dan obat tersebut tidak akan menyembuhkan ? Saya kira anda akan mau jika pasiennya cukup kaya untuk membayarnya atau jika asuransinya mencakup biayanya.
Mungkin anda akan berkata ini adalah situasi yang menguntungkan kedua belah pihak. Bagaimanapun juga ini dapat diartikan sebagai pembelian untuk sebuah asuransi kesehatan ! Tapi tunggu dulu. Dalam hal ini bagaimana jika total biaya medis Mutu yang dijamin asuransi itu terbatas, dengan asumsi itu adalah RM 100.000 ? Itu berarti asuransi hanya akan membayar untuk pasokan Nexavar selama lima bulan saja. Apa yang terjadi setelah itu ? Dan dalam 8 sampai 11 bulan pasien meninggal ( lihat point 4 di bawah ) ?
3. Sebagai seorang dokter ahli, apakah anda akan mengaku kepada pasien anda bahwa Nexavar tidak dapat menyembuhkan kanker nya ? Ya, anda sudah mengakuinya dalam kasus ini. Anda telah melakukan suatu perbuatan yang terhormat. Jelas tidak banyak pasien yang akan mau mengeluarkan uang untuk membayar sejumlah itu jika tidak mendapat kesembuhan.
Anda membenarkan dengan mengatakan bahwa Nexavar dapat mengendalikan kankernya. Kedengarannya bagus, meyakinkan dan heroik bukan ? Apalagi jika pasien sedang putus asa dan tak berdaya. Pasien tersebut betul-betul memerlukan pertolongan. Tapi apa yang sebenarnya anda maksud dengan mengendalikan ?
4. Apakah anda sudah menelusuri website dari perusahaan obat yang menjual Nexavar ? Jika anda sudah melakukannya, Anda mungkin akan menemukan sebuah tabel yang sangat mengesankan dengan penampilan yang sama-sama mengesankan dari apa yang disebut ” data ilmiah “.
• Dalam sebuah penelitian terhadap 602 orang … Nexavar membantu memperlambat pertumbuhan sel kanker dan membantu memperpanjang hidup pasien dibandingkan dengan pasien yang tidak menerima Nexavar.
• Nexavar memperpanjang kelangsungan hidup secara keseluruhan sebesar 44%.
• Lihat diagram di bawah ini (dari:. Http://www.nexavar.com/scripts/pages/en/index.php )
Bagi mereka yang tidak biasa membaca dan menafsirkan data penelitian, berikut ini saya jelaskan lebih lanjut. Dari diagram di atas, kita tahu bahwa ada 299 pasien yang menggunakan Nexavar (n = 299) dan kelangsungan hidup secara keseluruhan rata-rata adalah 10,7 bulan. Bandingkan ini dengan 303 pasien yang tidak diberi Nexavar (kelompok yang disebut Placebo, n = 303) yang memiliki kelangsungan hidup secara keseluruhan rata-rata 7,9 bulan.
Fakta yang mencolok dari penelitian ini adalah bahwa:
• Dengan pemberian Nexavar pasien dapat hidup lebih lama 2,8 bulan. Catat bahwa mereka tidaklah sembuh sama sekali. Akhirnya pasien meninggal. Kelangsungan hidup rata-rata berkisar dari sekitar 8 sampai 11 bulan, terlepas dari apakah mereka menggunakan Nexavar atau tidak.
Jadi berdasarkan data eksperimen di atas, pertanyaan nya adalah. Apakah anda mau menghabiskan uang RM 20.000 per bulan dan untuk setiap bulannya, agar untuk bisa bertahan hidup 3 bulan lagi? Sekali lagi, perhatikan bahwa harga Nexavar bervariasi – tergantung di mana anda membelinya dan apakah anda membayar secara tunai atau membayar melalui klaim asuransi. Jelas harganya akan lebih tinggi bila asuransi anda yang membayar untuk itu.
Tentu saja, jika hal ini disampaikan secara sederhana seperti yang saya lakukan di atas, memperpanjang hidup dengan 2,8 bulan tidak mengesankan sama sekali ! Orang-orang terpelajar mengemasnnya dengan cara yang lebih baik lagi, yaitu dengan mengatakan hal-hal tersebut dengan cara yang lebih bagus, menarik tapi menipu. Cara lain untuk mengatakan nya adalah : Nexavar telah memperpanjang kelangsungan hidup secara keseluruhan sebesar 44%. Meningkatkan kelangsungan hidup sebesar 44% memang sangat mengesankan.
Mark Twain (dari AS) membuat suatu ungkapan yang terkenal : ” Ada tiga macam kebohongan: kebohongan, kebohongan yang keterlaluan, dan statistik.” Ungkapan ini sekarang digunakan untuk menggambarkan ” penggunaan statistik untuk mendukung argumen yang lemah, dan kecenderungan orang untuk meremehkan statistik yang tidak mendukung posisi mereka ” Dalam bahasa yang sederhana, para ahli statistik ( para ahli angka-angka ) telah memelintir data-data untuk membuat apa yang tampaknya jelek menjadi tampil cantik.
Perhatikan juga hal ini ” manipulasi atau me-melintir ” data adalah tidak salah – secara akademis hal tersebut sah !
Jadi percayalah kepada saya ” Memperpanjang hidup dengan 2,8 bulan ” atau ” Memperpanjang kelangsungan hidup secara keseluruhan sebesar 44% ” dua-dua nya benar dan secara akademis dapat diterima. Sayangnya saya masih belum dapat memahami bagaimana mereka mendapatkan angka 44 persen tersebut. Saya perlu sedikit waktu lagi untuk mempelajari ” seni menggelembungkan kebenaran melalui angka-angka.”
Dengan pikiran yang sederhana seperti orang biasa, saya akan menghitung sebagai berikut : 10,7 dikurangi 7,9 = 2,8. Lalu saya akan membagi 2,8 dengan 7,9 dan mengalikan dengan 100 untuk mengubahnya menjadi persentase. Jika saya melakukan ini, maka saya akan mendapatkan hasil ahirnya = 35%. Untuk menghindari penjelasan ” konsep statistic yang membingungkan ” marilah kita membebaskan para ahli dan produsen obat dari tuduhan ( manipulasi data ) dan menerima apa yang mereka katakan : Nexavar memperpanjang kelangsungan hidup secara keseluruhan sebesar 44%.
Tapi saudara sekalian marilah kita berkonsentrasi pada apa yang paling penting. Anda dapat memilih antara dua ” opsi ” di bawah ini. Tetapi ketahuilah bahwa keduanya mempunyai pengertian yang sama !
• Sebagai seorang pasien jika anda diberitahu bahwa Nexavar dapat memperpanjang kelangsungan hidup sebesar 44%, apa yang akan menjadi reaksi anda ?
• Di sisi lain, jika anda diberitahu bahwa Nexavar dapat memperpanjang hidup anda dengan hanya 2,8 bulan, apa yang akan menjadi reaksi anda?
Menyadari hal ini, bagaimana jika anda dengan jelas diberitahu bahwa perpanjangan untuk dapat bertahan hidup dengan 2,8 bulan tersebut bukanlah suatu makan siang dengan gratis. Selain harus membayar RM 20.000 per bulan, ada berbagai macam efek samping yang mungkin dapat anda alami. Dalam hal ini, Mutu mengalami delapan macam efek samping setelah mengkonsumsi Nexavar selama seminggu.
Tapi jangan salahkan perusahaan obat. Anda telah diperingatkan. Pasien yang mengkonsumsi Nexavar mungkin dapat menderita efek samping seperti berikut ini (menurut website perusahaan):
1. Penurunan aliran darah ke jantung dan serangan jantung.
2. Masalah pendarahan. Nexavar dapat meningkatkan kesempatan Anda untuk mengalami pendarahan.
3. Tekanan darah tinggi.
4. Masalah pada kulit yang disebut “ hand-foot skin reaction “. Ini menyebabkan kemerahan, rasa sakit, bengkak, atau lecet pada telapak tangan atau telapak kaki anda.
5. Perforasi usus.
6. Kemungkinan masalah pada proses penyembuhan luka. Mungkin anda dapat mengalami nya pada saat pembedahan dan perawatan gigi.
7. Lahir dalam keadaan cacat atau kematian bayi yang belum lahir.
8. Bintil-bintil pada kulit ( muka ), kemerahan, gatal, atau pengelupasan pada kulit.
9. Rambut menipis atau rambut rontok tidak merata.
10. Diare
11. Mual atau muntah
12. Seriawan pada mulut
13. Badan terasa lemah
14. Kehilangan nafsu makan
15. Mati rasa, kesemutan, atau nyeri di tangan dan kaki
16. Sakit pada bagian perut
17. Kelelahan
18. Penurunan berat badan
5. Solusi ?
Wanita itu sungguh cerdik (yang mendampingi Mutu). Dia bertanya pada saya : Lalu, itukah jalan keluarnya ? Saya harus mengakui bahwa saya tidak bisa menjamin suatu kesembuhan apapun. Kita tahu bahwa dalam hal kasus penyakit kanker, tidak ada yang namanya suatu kesembuhan (artinya,kesembuhkan nyata, bukan hanya bertahan 5 tahun).
Dalam kasus kanker hati yang sudah lanjut, kita semua tahu bahwa bertahan hidup hanyalah dalam hitungan bulan. Jadi, kita dihadapkan dengan kasus yang sulit. Ini adalah pertama kalinya seorang pasien datang dengan angka alpha-fetoprotein lebih dari satu juta. Nilai tertinggi dari yang pernah kita lihat dalam kurun waktu 14 tahun adalah sekitar setengah dari nilai tersebut.
Kami memiliki dua saran untuk Mutu.
a) Jaga pola makan Anda. Ia diberi daftar makanan yang ia boleh dan yang tidak boleh dia makan. Sayangnya daftar ini hanya dianggap sebagai suatu kesimpulan saja dibandingkan dengan rekomendasi kami.
b) Minum ramuan Herbal dan berharap untuk yang terbaik. Jika pasien tidak merasa sakit, bisa makan dan tidur – inilah yang diharapkan oleh kita semua. Berapa lama dia bisa hidup bukan kita yang menentukan.
Terserah kepada Mutu untuk memutuskan apakah dia ingin melanjutkan mengambil Nexavar dan memungut apapun manfaat (dan juga efek samping) yang terkait dengannya.
Tapi tanyakanlah hal ini: Apakah itu berharga ?
Beberapa dari anda mungkin berkata : Ah, anda penjual minyak ular – Anda dan Herbal anda juga tentang Diet hanyalah bualan – ini semua hanyalah praktek perdukunan. Semuanya itu tidak ada buktinya dan tidak ilmiah. Tunggu dulu, sebelum anda partama kali melempar batu, luangkanlah waktu untuk membaca sepuluh cerita berikut. Beritahu kami dimana kesalahan kita jika anda berpikir bahwa kita salah !



