PC, seorang wanita berumur 63 tahun, telah menderita batuk selama sekitar tiga minggu. Kemudian setelah itu dia menderita demam. Dia lalu pergi ke rumah sakit tetapi dokter tidak bisa menemukan sesuatu yang salah pada dirinya. Kemudian dia disuruh pulang dengan membawa sejumlah Panadol (parasetamol).
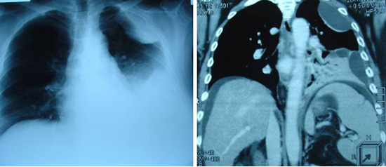
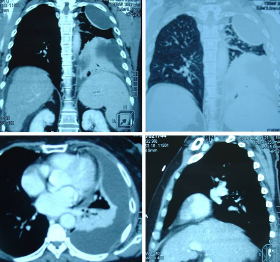
Tidak puas, PC lalu pergi ke sebuah rumah sakit swasta di Ipoh. Pada pemeriksaan X – ray didada kirinya menunjukkan adanya efusi pleura (yaitu adanya cairan di paru-paru kirinya). Cairannya disedot keluar. Sebuah ultrasonagraphy ( dibagian perut ) pada tanggal 23 September 2009 menunjukkan sebuah lesi berukuran 2,6 cm ( diperkirakan hepatoma atau kanker hati) di lobus sebelah kanan. Selain itu, pada organ hatinya sudah terjadi sirosis hati ( mengeras ) dengan hipertensi portal dan adanya ascites ( adanya cairan dibagian perut ). Organ Limpa nya membesar.
Biopsi dari lesi tersebut tidak dapat dilakukan mengingat telah terjadinya ascites, trombosit yang rendah dan keberadaan tumor yang terlalu dalam dan berdekatan dengan vena portal.
PC kemudian disuruh pulang. Tidak ada lagi pengobatan untuknya. Dia juga mengatakan bahwa ia hanya memiliki waktu dua bulan untuk hidup. Empat hari kemudian, 27 September 2009, PC datang ke CA Care untuk meminta pertolongan. Dia menceritakan masalah yang dihadapinya sebagai berikut :
• Kesulitan tidur
• Kurang nafsu makan
• Kelelahan
• Sedikit kesulitan bernafas
• Merasakan seperti ada otot yang kejang di bagian dadanya sekali-sekali.
Kanker Hati Bagian 1: Hanya Dua Bulan Untuk Hidup
PC datang menemui kami setelah diberitahu oleh salah satu pasien kami yang telah merasa kan sehat sekali setelah minum herbal kami.
Kami memberikan resep kepada PC dengan Kapsul A dan B, teh herbal untuk Paru no.1 dan teh herbal untuk Paru no.2 , teh herbal untuk Hati no.1 dan teh herbal untuk Hati no.2 .
Kami mengingatkan dia bahwa setelah meminum ramuan ini selama beberapa hari, ia mungkin akan merasa lelah, mengalami diare, dan lain-lain. Ini adalah krisis penyembuhan dan tidak ada yang perlu dikhawatirkan – lanjutkan saja minum ramuan itu.
Ini adalah herbal alami tanpa campuran aditif. Semua herbal ini harus diseduh. Rasa dan bau dari ramuan ini tidak enak. PC menjawab: “Jika saya ingin sembuh, saya harus minum semuanya ! ”
Setelah dua bulan minum herbal, PC kembali lagi dan memberitahu kami bahwa baik tidur dan nafsu makannya membaik. Demikian pula napasnya juga membaik. Tidak lagi merasakan adanya perasaan otot yang kejang di dadanya.
Satu tahun dan empat bulan kemudian, yaitu pada tanggal 14 Januari 2011, PC merasakan kondisi nya tetap baik. Berikut ini adalah rekaman video pada kunjungannya hari itu.
PC datang menemui kami setelah diberitahu oleh salah satu pasien kami yang telah merasa kan sehat sekali setelah minum herbal kami.
Kami memberikan resep kepada PC dengan Kapsul A dan B, teh herbal untuk Paru no.1 dan teh herbal untuk Paru no.2 , teh herbal untuk Hati no.1 dan teh herbal untuk Hati no.2 .
Kami mengingatkan dia bahwa setelah meminum ramuan ini selama beberapa hari, ia mungkin akan merasa lelah, mengalami diare, dan lain-lain. Ini adalah krisis penyembuhan dan tidak ada yang perlu dikhawatirkan – lanjutkan saja minum ramuan itu.
Ini adalah herbal alami tanpa campuran aditif. Semua herbal ini harus diseduh. Rasa dan bau dari ramuan ini tidak enak. PC menjawab: “Jika saya ingin sembuh, saya harus minum semuanya ! ”
Setelah dua bulan minum herbal, PC kembali lagi dan memberitahu kami bahwa baik tidur dan nafsu makannya membaik. Demikian pula napasnya juga membaik. Tidak lagi merasakan adanya perasaan otot yang kejang di dadanya.
Satu tahun dan empat bulan kemudian, yaitu pada tanggal 14 Januari 2011, PC merasakan kondisi nya tetap baik. Berikut ini adalah rekaman video pada kunjungannya hari itu.
Kanker Hati Bagian 2: Satu Setengah Tahun Masih Tetap Hidup !
Hasil pemeriksaan tes darah yang dilakukan selama satu setengah tahun terakhir :
Komentar
Setelah satu setengah tahun berlalu. PC tetap baik-baik saja, hasil tes darahnya tidak menunjukkan sesuatu keadaan yang memburuk , meskipun ada beberapa hasil tes yang nilai nya tidak baik. Trombositnya rendah dan kami menyarankan kepada PC untuk minum perasan daun pepaya selama satu atau dua bulan. Setelah itu, lakukanlah tes darah lagi. Semoga trombosit nya akan meningkat. PC tidak tertarik untuk minum perasan daun papaya ini karena rasanya pahit sekali !
Seperti pada kebanyakan pasien, saat ini mulailah PC mempunyai keinginan untuk melihat apakah dia bisa mengurangi asupan harian teh herbal-nya ! Kami dapat memahami betul bahwa hal itu benar-benar ” sulit, mengganggu atau bahkan memuakkan ” harus minum ramuan herbal yang rasanya tidak enak, tetapi kami mengatakan kepada PC bahwa dia tidak punya pilihan lain, selain terus melakukan apa yang harus ia lakukan. Lanjutkan terus, tidak ada perubahan !
Kita harus mengingatkan PC apa yang terjadi ketika ia pergi menemui dokter di bulan September 2009. Dia diberitahu bahwa tidak akan ada lagi pengobatan untuknya. Pulang saja. Dia hanya memiliki waktu dua bulan untuk hidup.
Sekarang PC telah bertahan selama satu setengah tahun tanpa masalah. Dia dapat tidur dengan nyenyak, selera makannya baik dan tidak lagi merasakan nyeri. Kehidupannya telah membaik selama ini. Apa lagi yang ia minta ?
Kami mengingatkan PC bahwa dia harus belajar untuk bersyukur dan berterimakasih atas apa dia alami sekarang. Merasakan ” pahitnya ” herbal adalah suatu pengorbanan yang tidak ada artinya untuk bisa bertahan hidup – dan juga untuk mendapatkan kehidupan yang baik !
Pesan kami ke PC dan kepada semua pasien: Berperilakulah yang baik jika anda ingin hidup lebih lama ! Dan tidak alasan untuk bisa bertahan hidup, jika anda berpikir bahwa minum teh herbal adalah tugas yang tak tertahankan. Dan di atas semua ini, belajarlah untuk berterima kasih dan bersyukur atas apa yang anda miliki dan keberadaan anda selama ini.




